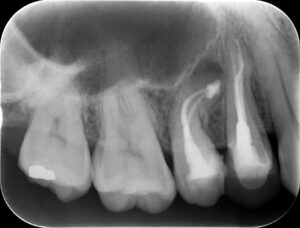
極度に湾曲した歯の治療〜ダブルカーブを攻略できるのか? #4 RCT⇨Apicoectomy
バイト先での治療。 主訴は、 右上で咬合すると痛い である。 歯内療法学的検査(2023.2.9) #3 Cold+3/3, Perc.(-), Palp.(-), BT(-), Perio probe(WNL), Mo … 続きを読む 極度に湾曲した歯の治療〜ダブルカーブを攻略できるのか? #4 RCT⇨Apicoectomy
埋め込むにはこの URL をコピーして WordPress サイトに貼り付けてください
埋め込むにはこのコードをコピーしてサイトに貼り付けてください