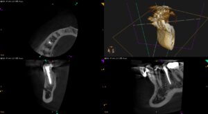
軟らかいものも噛めなかった右下小臼歯〜#29 Re-RCT 7yr recall
紹介患者さんのリコール。 治療したのは2016年だったので、実に… 7年ぶりである。 あの後、私は頭をやって倒れて一命を取り留めた。 患者さんも病気をされて入院したという。 変わらず、健康に日々を生きることがどれほどあり … 続きを読む 軟らかいものも噛めなかった右下小臼歯〜#29 Re-RCT 7yr recall
埋め込むにはこの URL をコピーして WordPress サイトに貼り付けてください
埋め込むにはこのコードをコピーしてサイトに貼り付けてください