なぜ私の歯は痛むのか?根尖病変がないのに激痛があり,3件の歯科医院をたらい回しにされた患者さん〜#18 Re-RCTから7年経過
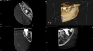
以前の記事の続報。 なぜ私の歯は痛むのか?根尖病変がないのに激痛があり,3件の歯科医院をたらい回しにされた患者さん〜#18 Re-RCTから5年経過 この時からさらに2年が経過した。 初診から振り返ろう。 主訴(2017 … 続きを読む なぜ私の歯は痛むのか?根尖病変がないのに激痛があり,3件の歯科医院をたらい回しにされた患者さん〜#18 Re-RCTから7年経過
埋め込むにはこの URL をコピーして WordPress サイトに貼り付けてください
埋め込むにはこのコードをコピーしてサイトに貼り付けてください