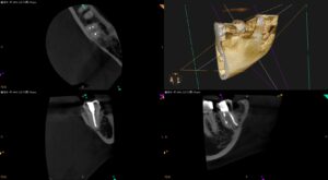
成人の歯牙に生活歯髄療法を行った歯の根管治療〜#18 RCT
紹介患者さんの治療。 主訴は、 他院で神経を保存した歯が痛む… である。 歯内療法学的検査(2025.1.6) #18 Cold NR/20, Perc.(+), Palp.(-), BT(++), Perio Prob … 続きを読む 成人の歯牙に生活歯髄療法を行った歯の根管治療〜#18 RCT
埋め込むにはこの URL をコピーして WordPress サイトに貼り付けてください
埋め込むにはこのコードをコピーしてサイトに貼り付けてください