上の前歯の被せ物の歯茎が腫れて痛い…〜#8 Apicoectomy
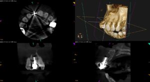
紹介患者さんの治療。 主訴は、 上の前歯の被せ物の歯茎が腫れて痛い… である。 歯内療法学的検査(2025.2.26) ☆この後、検査動画が出てきます。不快感を感じる方は視聴をSkipしてください。 患者さんは、 費用が … 続きを読む 上の前歯の被せ物の歯茎が腫れて痛い…〜#8 Apicoectomy
埋め込むにはこの URL をコピーして WordPress サイトに貼り付けてください
埋め込むにはこのコードをコピーしてサイトに貼り付けてください