根尖病変掻爬のタイミングは, もしそれをするなら, Root resectionの次の段階であるという根拠は?〜#30 M Apicoectomy
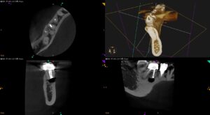
紹介先の患者さんの治療。 主訴は、 右下奥歯、被せた歯が腫れた… である。 ⭐︎この後、検査動画が出てきます。不快感を感じる方は視聴をSkipしてください。 歯内療法学的検査(2024.12.5) 患歯はSinus tr … 続きを読む 根尖病変掻爬のタイミングは, もしそれをするなら, Root resectionの次の段階であるという根拠は?〜#30 M Apicoectomy
埋め込むにはこの URL をコピーして WordPress サイトに貼り付けてください
埋め込むにはこのコードをコピーしてサイトに貼り付けてください