前歯の被せた歯が食事をすると痛い、硬いものが噛めない…〜Submarginal Flapによる #8 Apicoectomy
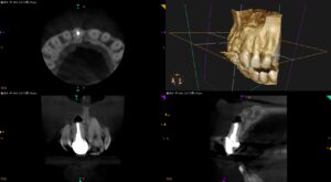
紹介患者さんの治療。 主訴は、 前歯の被せた歯が食事をすると痛い、硬いものが噛めない… であった。 初診時検査(2025.5.1) #8 Cold N/A, Perc.(+), Palp.(+), BT(-), Peri … 続きを読む 前歯の被せた歯が食事をすると痛い、硬いものが噛めない…〜Submarginal Flapによる #8 Apicoectomy
埋め込むにはこの URL をコピーして WordPress サイトに貼り付けてください
埋め込むにはこのコードをコピーしてサイトに貼り付けてください