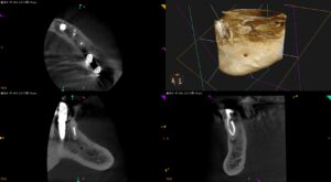
左下奥歯昨年の11月から治療を継続しているが終了しない。痛みが取れない…〜#21 Re-RCT 1回法
紹介患者さんの治療。 主訴は、 左下奥歯昨年の11月から治療を継続しているが終了しない。痛みが取れない… である。 歯内療法学的検査(2025.4.17) #21 Cold N/A, Perc.(+), Palp.(-) … 続きを読む 左下奥歯昨年の11月から治療を継続しているが終了しない。痛みが取れない…〜#21 Re-RCT 1回法
埋め込むにはこの URL をコピーして WordPress サイトに貼り付けてください
埋め込むにはこのコードをコピーしてサイトに貼り付けてください