神経の治療をした歯が痛い…〜#13 Apicoectomy
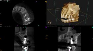
紹介患者さんの治療。 主訴は、 神経の治療をした歯が痛い… である。 歯内療法学的検査(2025.7.8) #12 Cold+2/4, Perc.(-), Palp.(-), BT(-), Perio Probe(WNL … 続きを読む 神経の治療をした歯が痛い…〜#13 Apicoectomy
埋め込むにはこの URL をコピーして WordPress サイトに貼り付けてください
埋め込むにはこのコードをコピーしてサイトに貼り付けてください