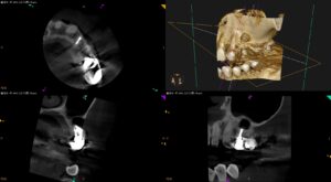
どこの歯科医院に行っても歯が折れているので抜歯と言われるが残したい…〜#12 Apicoectomy
紹介患者さんの治療。 主訴は、 どこの歯科医院に行っても歯が折れているので抜歯と言われるが残したい…何とかならないだろうか。。。 である。 歯内療法学的検査(2025.7.28) #11 Cold+1/3, Perc.( … 続きを読む どこの歯科医院に行っても歯が折れているので抜歯と言われるが残したい…〜#12 Apicoectomy
埋め込むにはこの URL をコピーして WordPress サイトに貼り付けてください
埋め込むにはこのコードをコピーしてサイトに貼り付けてください