歯茎にできものができて腫れて痛い…〜#14 MB+DB Apicoectomy
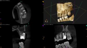
紹介患者さんの治療。 主訴は、 歯茎にできものができて腫れて痛い… である。 ☆この後、検査画像が出てきます。不快感を感じる方は視聴をSkipしてください。 歯内療法学的検査(2025.8.19) PA(2025.8.1 … 続きを読む 歯茎にできものができて腫れて痛い…〜#14 MB+DB Apicoectomy
埋め込むにはこの URL をコピーして WordPress サイトに貼り付けてください
埋め込むにはこのコードをコピーしてサイトに貼り付けてください