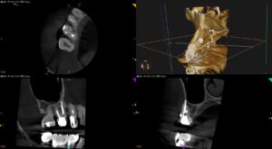
クロロホルム(C-solution)を使用するのは害悪か?+Gutta Percha Point除去のNi-Ti Rotary File, 何がベスト?!〜#3 Re-RCT
近年、Gutta Percha Pointを除去するためのNi-Ti Fileが多く紹介されている。 しかし私はその存在には従来から懐疑的だ。 理由は、 私はクロロホルム(C-solution)で古いGutta Perc … 続きを読む クロロホルム(C-solution)を使用するのは害悪か?+Gutta Percha Point除去のNi-Ti Rotary File, 何がベスト?!〜#3 Re-RCT
埋め込むにはこの URL をコピーして WordPress サイトに貼り付けてください
埋め込むにはこのコードをコピーしてサイトに貼り付けてください