歯茎が腫れたような感じがして熱を持って痛い。噛む時違和感もある〜#12,13 Core build up w/wo Fiber Post→Apicoectomy
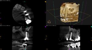
紹介患者さんの治療。 主訴は、 歯茎が腫れたような感じがして熱を持って痛い。噛む時違和感もある。 である。 歯内療法学的検査(2025.8.25) #11 Cold+2/2, Perc.(-), Palp.(-), BT … 続きを読む 歯茎が腫れたような感じがして熱を持って痛い。噛む時違和感もある〜#12,13 Core build up w/wo Fiber Post→Apicoectomy
埋め込むにはこの URL をコピーして WordPress サイトに貼り付けてください
埋め込むにはこのコードをコピーしてサイトに貼り付けてください