紹介患者さんの治療。
主訴は、
歯茎が腫れたような感じがして熱を持って痛い。噛む時違和感もある。
である。
歯内療法学的検査(2025.8.25)
#11 Cold+2/2, Perc.(-), Palp.(-), BT(-), Perio Probe(WNL), Mobility(WNL)
#12 ColdN/A, Perc.(+), Palp.(-), BT(-), Perio Probe(WNL), Mobility(WNL)
#13 ColdN/A, Perc.(+), Palp.(+), BT(-), Perio Probe(WNL), Mobility(WNL)
#14 Cold+1/2, Perc.(-), Palp.(-), BT(-), Perio Probe(WNL), Mobility(WNL)
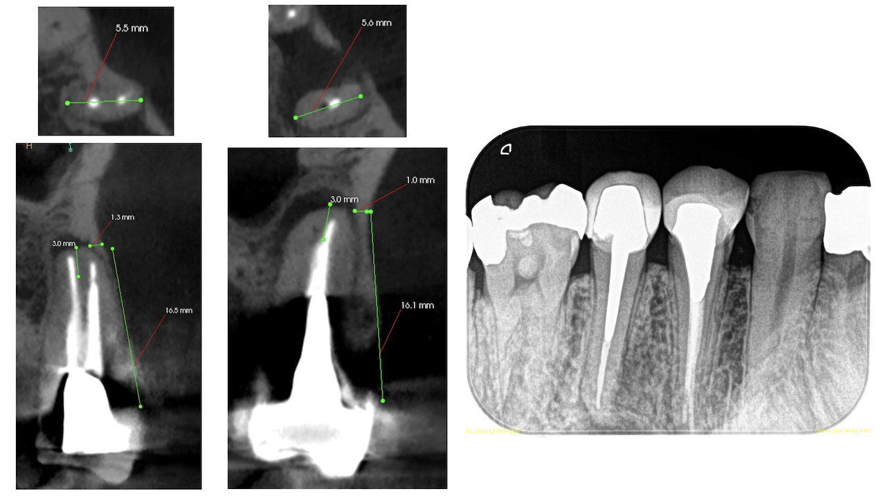
PA(2025.8.25)
#13のポストは長くテーパー型だが除去には時間を要するだろう。
OPG(2025.8.25)
CBCT(2025.8.25)
#12 B
#12 P
#13


外科治療の際は、

上記のように行う必要がある。
これは中程度の難易度だろう。
歯内療法学的診断(2025.8.25)
Pulp Dx: Previously treated
Periapical Dx:Symptomatic apical periodontitis
Recommended Tx: Core build up w/wo Fiber Post→Apicoectomy
ということで、別日に治療へ移行した。
☆この後、外科動画が出てきます。不快感を感じる方は視聴をSkipしてください。
#12,13 Core build up w/wo Fiber Post→Apicoectomy(2025.8.25)
長いポストを有する#13の除去には時間を要した。
ここから外科治療へ移行する。
#12のApexの位置を予測し、Root resectionした。
逆根管形成・逆根管充填した。
次が#13だ。ここはほぼ1根管性なので治療も容易である。
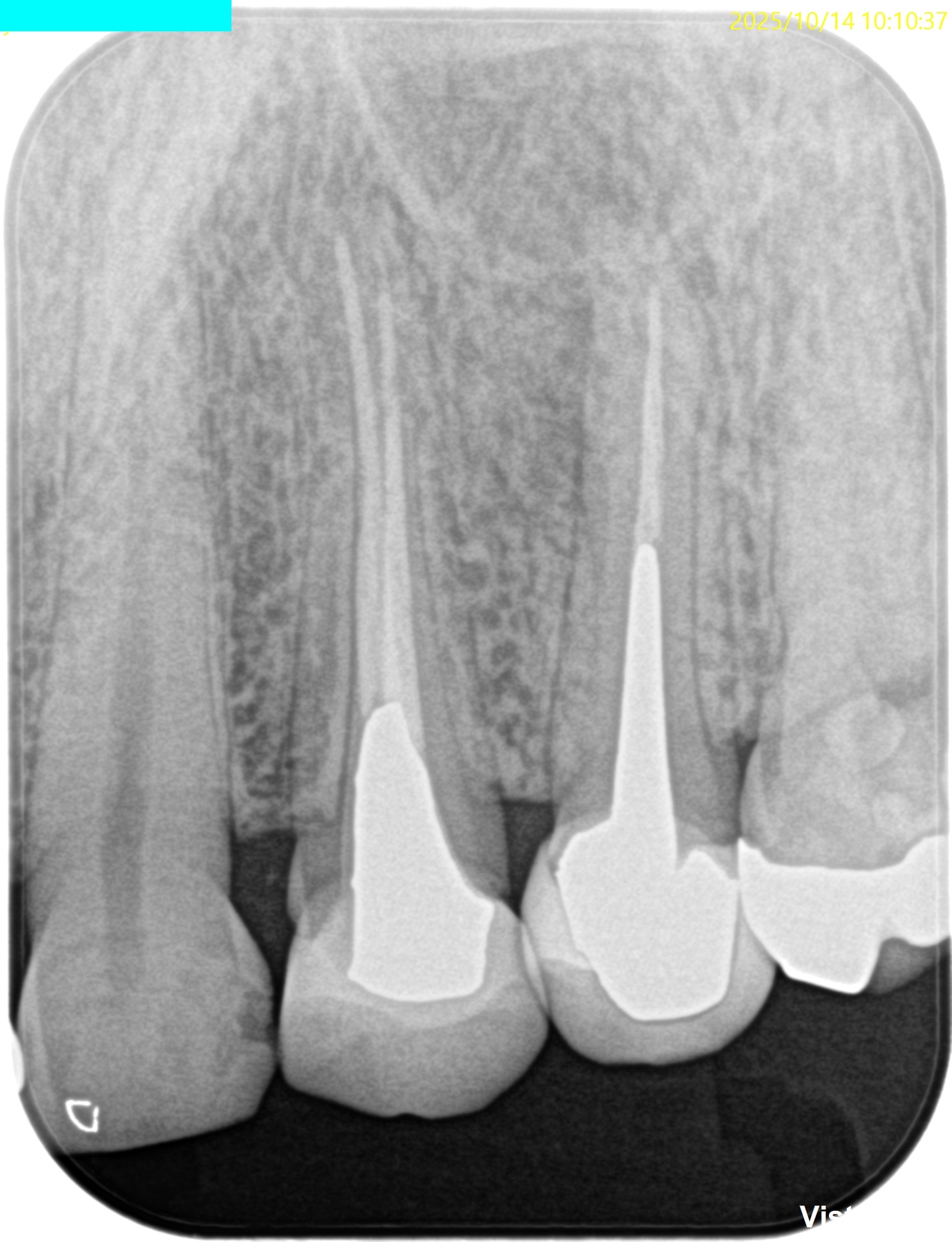
術後にPA, CBCTを撮影した。

#12
#13


縫合して終了した。
次回は半年後である。
またご報告したい。




