以前の治療の経過観察。
#30 M Apicoectomy, D,Radix Re-RCTから2年が経過していた。
かつて、無麻酔で再根管治療されている。
その際の体験談だ以下だ。
近心根はトランスポーテーションをしている可能性が高いだろう。
エンジンリーマーで機械的に削合してしまったのが問題だ。
その際、患者さんが痛みに耐えられず、
痛い!
というと、
はっ?神経なんてもうないんだから、痛いわけないでしょ?!と担当歯科医師に恫喝された…
そうだ。
無麻酔で治療されれば痛いに決まっている。。。
根尖部1/3だけではなく、歯牙の至る所には側枝というものが存在するという事実を知らないのだろうか?
どう考えても当たり前のことがわからない、日本の歯科医師にはもう何を言っても無駄だろう。
いずれにしても、アメリカでは考えられない低レベルの歯科医療だ。
空いた口が塞がらない。
さあ、日本の歯科医療に夜明けは来るだろうか?
右下6のApicoectomyでも難易度が大幅に低下した理由とは?〜#30 Apicoectomy 1yr recall
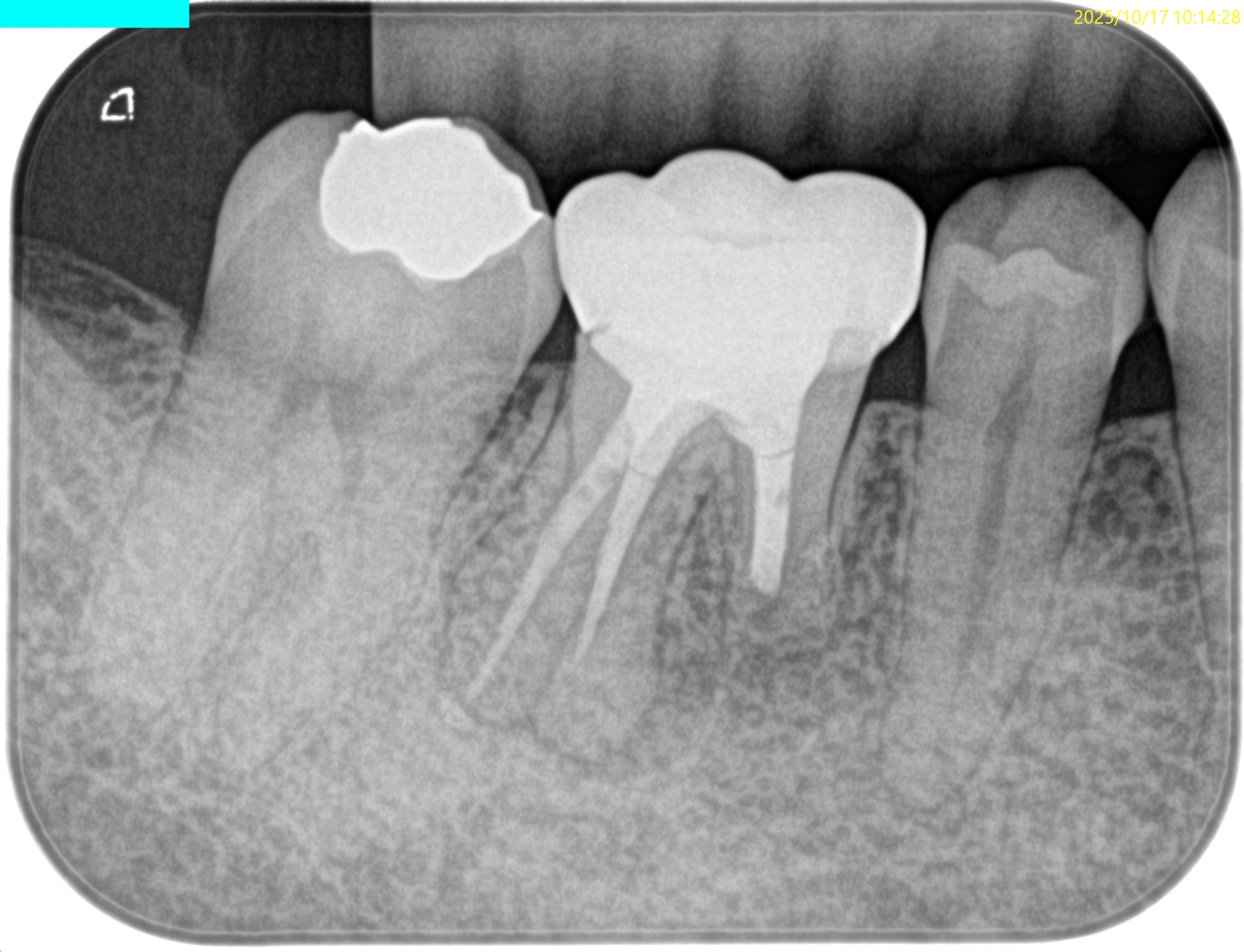
2年経過し、根尖病変はどうなっただろうか?
#30 M Apicoectomy, D+Radix Re-RCT 2yr recall(2025.10.17)



M
D
Radix

初診時、1年後と比較した。

トランスポーテーションしたMは劇的に治癒している。
Dも然りだ。
が、トランスポーテーションしているRadixはまだ治癒途中だろう。
が、患者さんに症状もないことからこの歯の状況はさらに2年後に経過を見せてもらうこととなった。
次回が、#30 M Apicoectomy, D+Radix Re-RCT 4yr recallとなる。
またその模様をお伝えしたい。


