紹介患者さんの治療。
主訴は、
奥歯が痛くて痛み止めを飲んだがそれも効かなかった。。。
である。
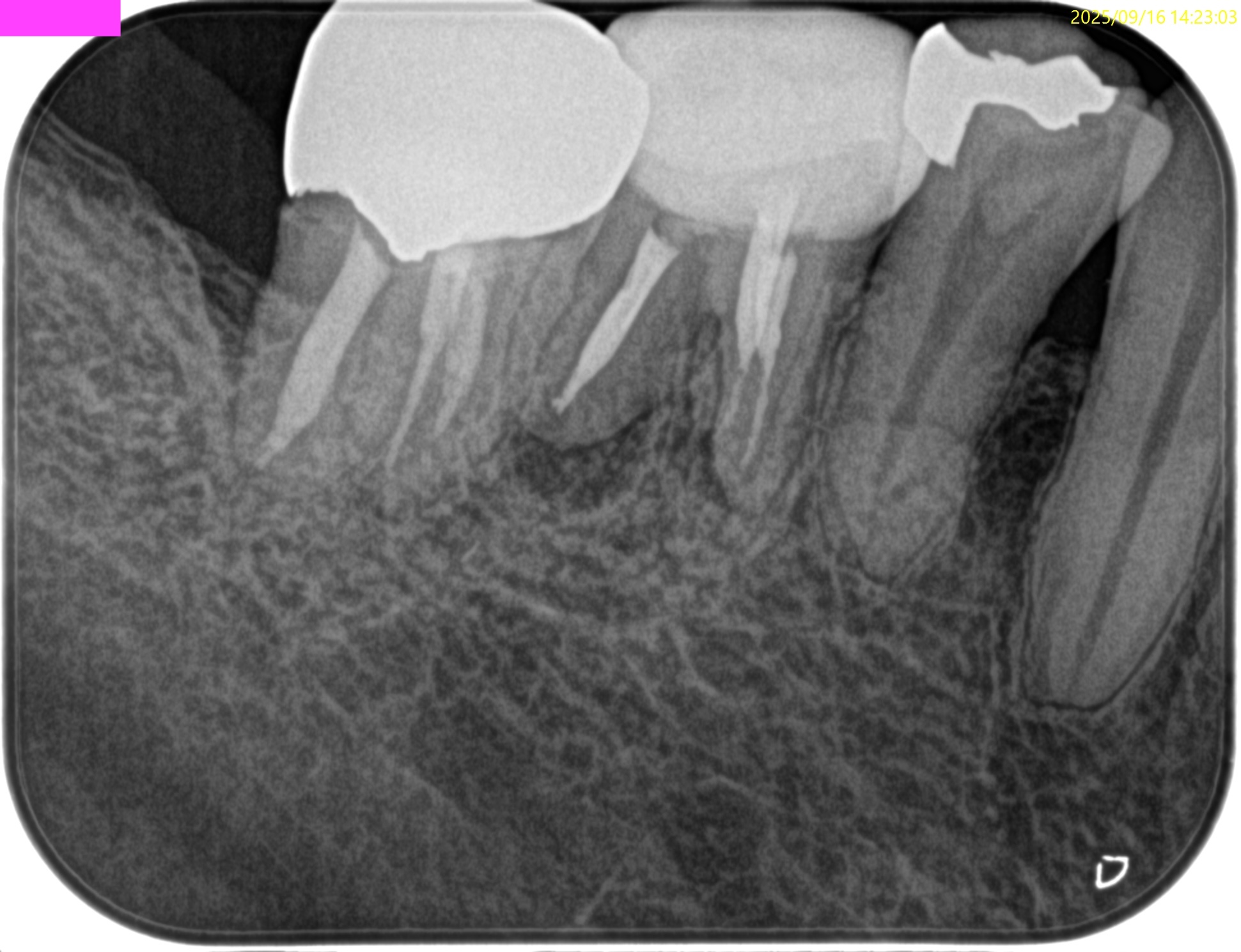
歯内療法学的検査(2025.9.16)

検査時にもまだ打診痛、咬合痛、圧痛があった。
PA(2025.9.16)


根管充填はかなり粗である。
再根管治療でマネージメントが可能そうだ。
CBCT(2025.9.16)
#30
MB
ML
D

B

頬側の皮質骨が裂開していることが圧痛の原因だろう。
が、Suns tractがないのでApicoectomy!というよりは再根管治療だろう。
ということで、別日に再根管治療へ移行することになった。
その際は、

この絵を参考に行うことができるだろう。
歯内療法学的診断(2025.9.13)
Pulp Dx: Previously treated
Periodical Dx: Symptomatic apical periodontitis
Recommended Tx: Re-RCT
⭐︎この後、治療画像が出てきます。不快感を感じる方は視聴をSkipしてください。
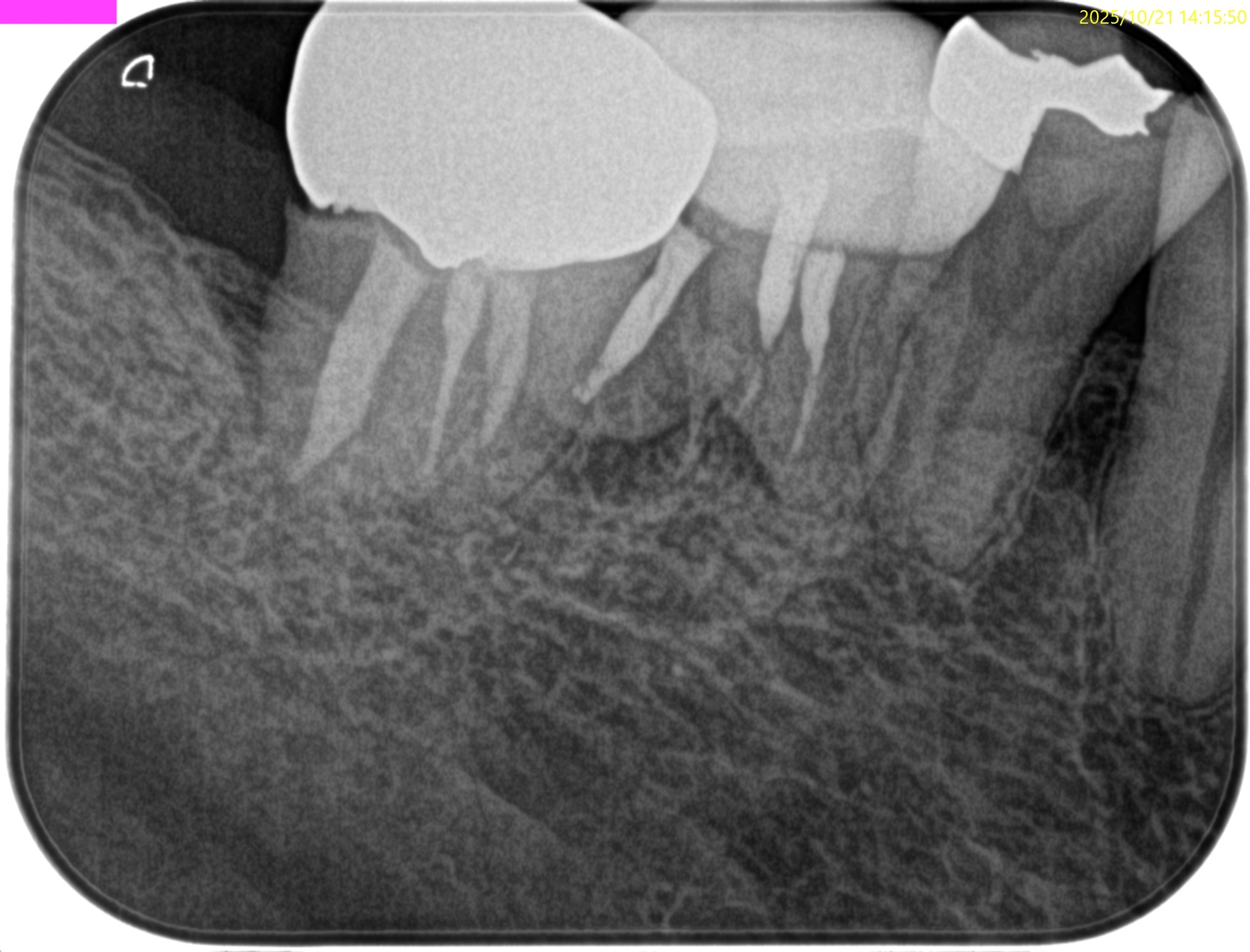
#30 Re-RCT(2025.10.21)

再治療ではGutta Percha Point除去に頭を悩ませる人が多いが、私はC-solutionをUSC時代から使用するのであまり苦になったことがない。
C-solutionを窩洞内に浸し超音波でホールをつけて引っ掛けると簡単に除去できた。
作業長を測定するが…
K#40で穿通する始末。。。

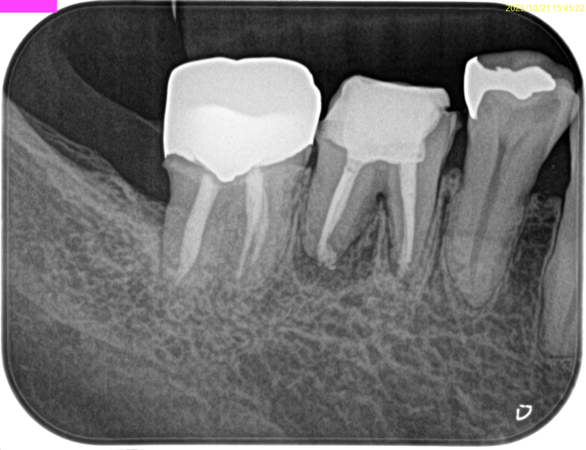
この時点でMAFはHyFlex EDM #60.02とProTaper F5である可能性が濃厚になる。
が、
HyFlex EDM #60.02も

ProTaper F5も

根管に挿入しただけで作業長までファイルがすっぽりと挿入できた。
これが意味することは、
再根管形成は一切、D根にはできない
という臨床的事実である。
となれば、残された手段は洗浄しかない。
ヒポクロを根管に入れて超音波洗浄した。
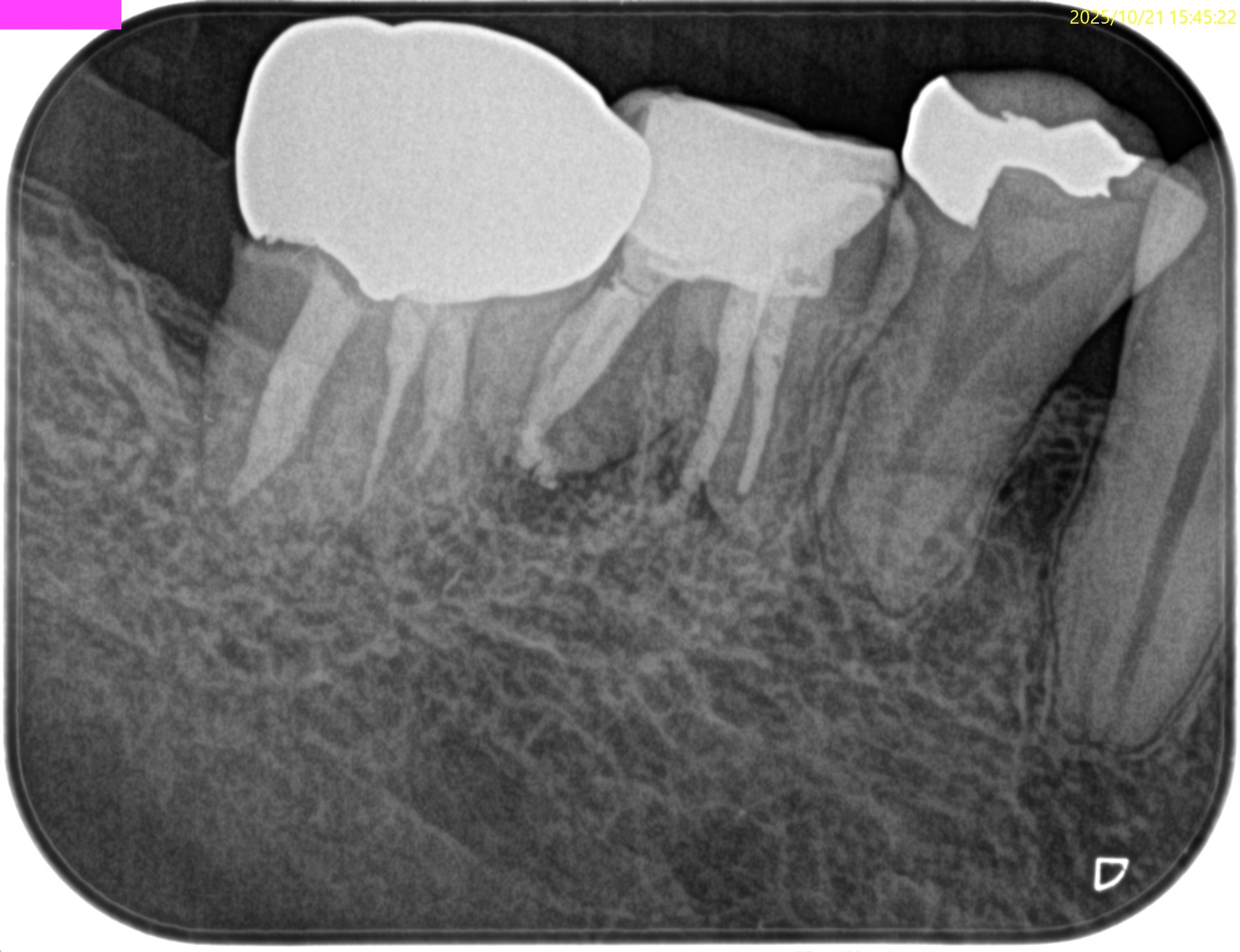
また、MLは石灰化しており穿通が機械的にも不可能であった。
最後がMBだ。

穿通はK#30であった。
ということは、HyFlex #40.04→#60.02/ProTaper Gold F5が決定的だ。
ということで作業内容は以下である。

MBは再根管形成中にHyFlex EDM #60.02が根尖孔から出てしまったためProTaper F5でテーパー形成したがGutta Percha Pointは#70.02であった。
これで病変や骨吸収が回復するか?はその患者さんの持つ細菌の毒性と免疫力のバランスで決まる。
術後にPA, CBCTを撮影した。


#30
MB
ML
D

かかりつけ医にはプロビジョナルレストレーションの装着を依頼した。
次回は半年後である。
さて。
なぜ患者さんは痛み止めを飲んでも痛みが取れなかったのだろうか?
それはPer急発だったからだろう。
その際は以下のような対応方法しか私は知らない。
こうならないように問題があれば症状がなくても治療を行うのが重要だが、
いったん痛みが消えると人間はやはり治療しようというモチベーションが湧かない物だ。
それが命にかかわり合いがなければ尚更そうだ。
が、それが悪いことだと私は思わない。
仕方がないのだ。
ということで、次回は半年後である。
またその模様をお伝えしたい。



