紹介患者さんの治療。
主訴は、
右下のインプラントの隣の歯の根の先に病気があり、このままだとインプラントに影響があると言われた。インプラントはお金がかかったので何とか治療して悪い歯を直してインプラントを守りたい。
である。
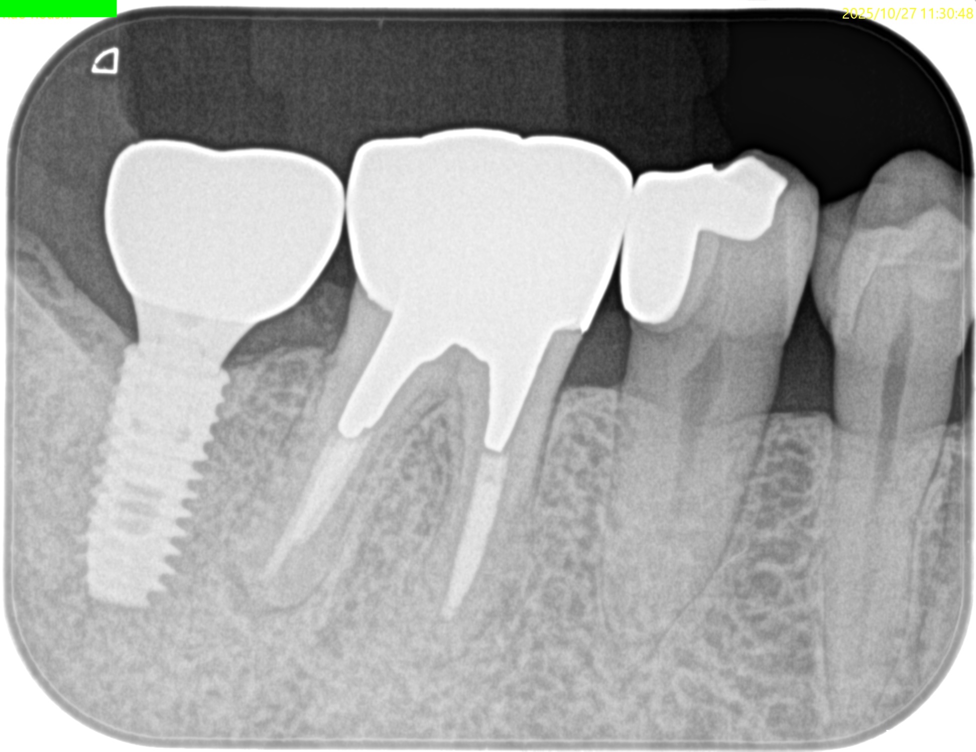
歯内療法学的検査(2025.10.27)

PA(2025.10.27)


近心はテーパー型、
遠心はパラレルで外れにくい感じのメタルポストコアだ。
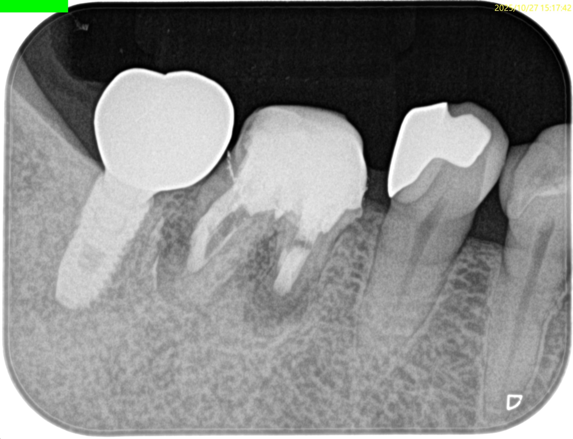
CBCT(2025.10.27)
MB
ML
DB
DL



治療の内容としては、
除冠,
除ポストコア ,
支台築造,
Apicoectomy
だが、
同時にやりたいが、エピネフリンのRebound effectが怖い。
Lindorf 1979 Investigation of the vascular effect of newer local anesthetics and vasoconstrictors

が、患者さんは仕事の都合でこの日しか休みが取れなかった!という人であるのでこの日にそれらをまとめてやらざるを得ない。
その際は、
M
D

MのApexに到達するにはCEJよりも12.5mm下方の歯槽骨を2mm削合(Osteotomy)しなければならない。
Apexを見つけたら3mm切断するがこの時の頬舌的な幅径が6.3mmだ。
リンデマンバーの半分よりも長い。
またDはApexに到達するには、CEJよりも13mm下方の歯槽骨を3mm削合する必要がある。
まさに…芋掘りだ。。。
またこの時点で、
BloodyなApicoectomyになることは避けられない
だろうと覚悟した。
歯内療法学的診断(2025.10.27)
Pulp Dx: Previously treated
Periodical Dx: Asymptomatic apical periodontitis
Recommended Tx: Core build up⇨M,D Apicoectomy
⭐︎この後、治療/外科動画が出てきます。不快感を感じる方は視聴をSkipしてください。
#30 Core build up→M+D Apicoectomy(2025.10.27)
まず除冠した。
ラバーダム下でメタルコアを除去した。
中央で分割し、セメントラインを出してVP-tipで除去する。
取れた!とおもったらポストが根管のなかで折れていた。
それも以下のように取り出している。
この後、外科治療になるので術前に既根管治療歯の根管内部のGutta Percha PointをC-solutionで除去し、BC sealerで根充し、BC Puttyで封鎖した。
こうすると逆根管形成時にGutta Percha Pointの残渣に悩まされることが少なくなる。
ここまでに多くの時間を使用したために昼休憩を1時間挟み、午後からM+DのApicoectomyを行うことになった。
やはり、
BloodyなApicoectomyになることは避けられない
だろうか?
外科前に伝達麻酔を1本追加して外科治療が行われた。
が、だ。
思ったほどBloodyではなかったことがわかる。
麻酔から数時間が経過していたのに、だ。
これは今後の臨床経験に生きるだろう。
MのApexの位置を予想し、Osteotomyしていく。
その際の深さは

2mmである。
MのApexは出てくるだろうか?
見事、顔を出したのでApex-3mmで切断し、メチレンブルーで染めた。
染まった部位を逆根管形成して逆根管充填した。
下準備のおかげで非常にやりやすい外科治療であった。
最後に残存しているM根の切断部の顎を除去した。
次がDだ。

クラウンのマージン部よりも13mm下方にDのApexがある。
そこに行き着くには歯槽骨を3mm削合する必要がある。
が、ここでミスが起きる。
なぜか?
DのApexを正確に触知していないからだ。
Dの切断部分(Apex)を探索した。
するとそれは無事除去できた。
が、だ。
やはりこのことからも
ApicoectomyではApexの位置を正確に把握する必要がある
ことがわかる。
この医療行為が、今日最も学習になったところだ。
USC時代の教えはやはり生きていた。
Dを逆根管形成し、逆根管充填した。
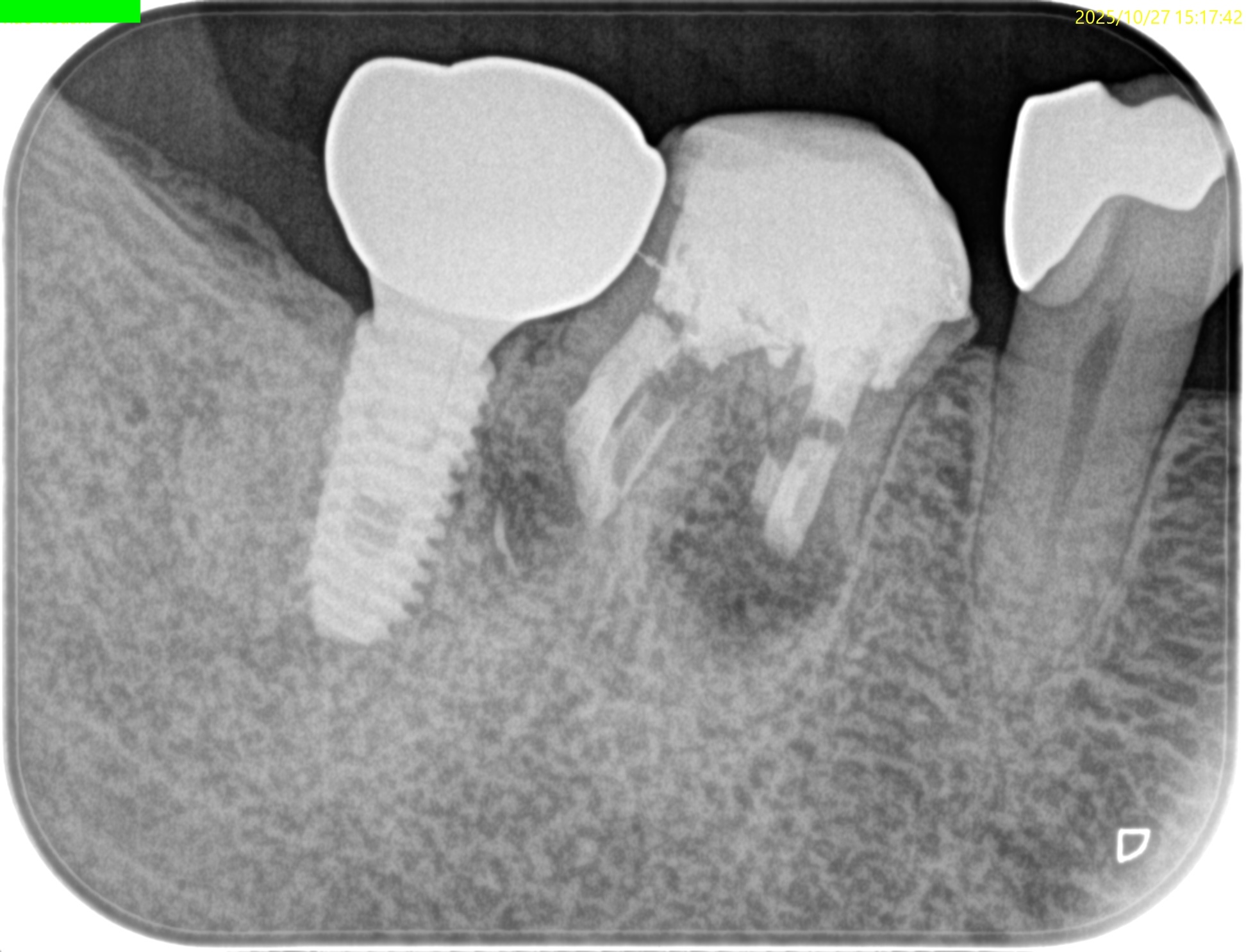
術後にPA, CBCTを撮影した。






気泡はあるが問題はないとして縫合した。
この1週間後に抜糸した。
#30 Suture removal(2025.11.3)
次回は半年後である。
またその模様をお伝えしたい。


