紹介患者さんの治療。
主訴は
左上前歯、他院で抜歯された。その治療には半年かかりもう残せないので抜歯と言われ抜かれ、右上の前歯も抜歯が必要と言われたがこれ以上歯を抜きたくない…
である。
歯内療法学的検査(2025.10.22)

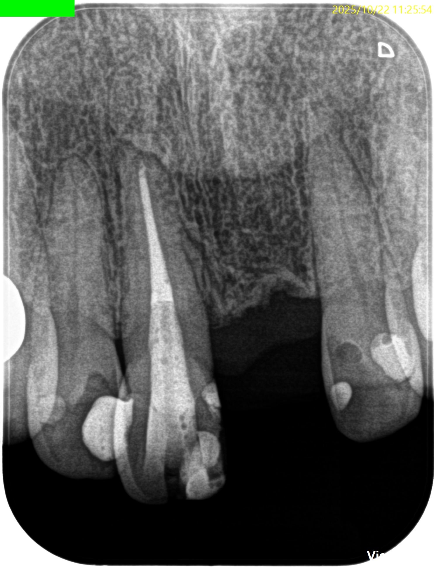
PA(2025.10.22)

CBCT(2025.10.22)

この部分を攻略できれば勝機がある可能性が90%あるだろう。
攻略できなければ60%だ。
どっちか?は治療しなければわからない。
それが根管治療の奥深い?ところなのかもしれない。
この治療がうまくいけば、前歯にFPDを入れる予定だと言う。
私はそれに貢献できるだろうか?
歯内療法学的診断(2025.10.22)
Pulp Dx: Previously treated
Periapical Dx: Symptomatic apical periodontitis
Recommended Tx: Re-RCT+Core build up with Fiber Post
⭐︎この後、治療動画が出てきます。不快感を感じる方は視聴をSkipしてください。
#8 Re-RCT+Core build up with Fiber Post(2025.10.22)
Gutta Percha Pointの除去だが私は各種Gutta Percha Point Remover Ni-TI Fileで除去するよりもHyFlex EDM #25.Vで除去したほうが容易で楽だと思っている。
それは以下の経験も私に影響を与えているのだがいかがだろうか?
クロロホルム(C-solution)を使用するのは害悪か?+Gutta Percha Point除去のNi-Ti Rotary File, 何がベスト?!〜#3 Re-RCT
作業長を計測し、再根管形成するが
Reference Pointまでのラバーストップの入り具合からMAFは#60.02とした。
根管充填した。
Gutta Percha Pointは#60.02か#50.04であろう。
どちらがより適しているだろうか?
私の感覚は以下である。

根管充填した。
術後にPA,CBCTを撮影した。




90%の成功に入ってくれることを祈るのみである。
次回は1年後だ。
またその模様をお伝えしたい。
