紹介患者さんの治療。
主訴は、
左下奥がうずいたり、歯磨きをするときに痛い…食事をするときにも痛い。痛みが強くなると顎まで痛みが出ることがある…
である。
ちなみにこの主訴に対してかかりつけ医の先生から依頼された歯は#19 Re-RCTであった。
Pre-op Endo Test(2025.10.31)

依頼された#19には何もないのだが、なぜか#18に強い圧痛があった。
顔を背けるような強い痛みだ。
しかも検査後に歯周ポケットから排膿と大量出血。。。
これはどういうことだろうか?
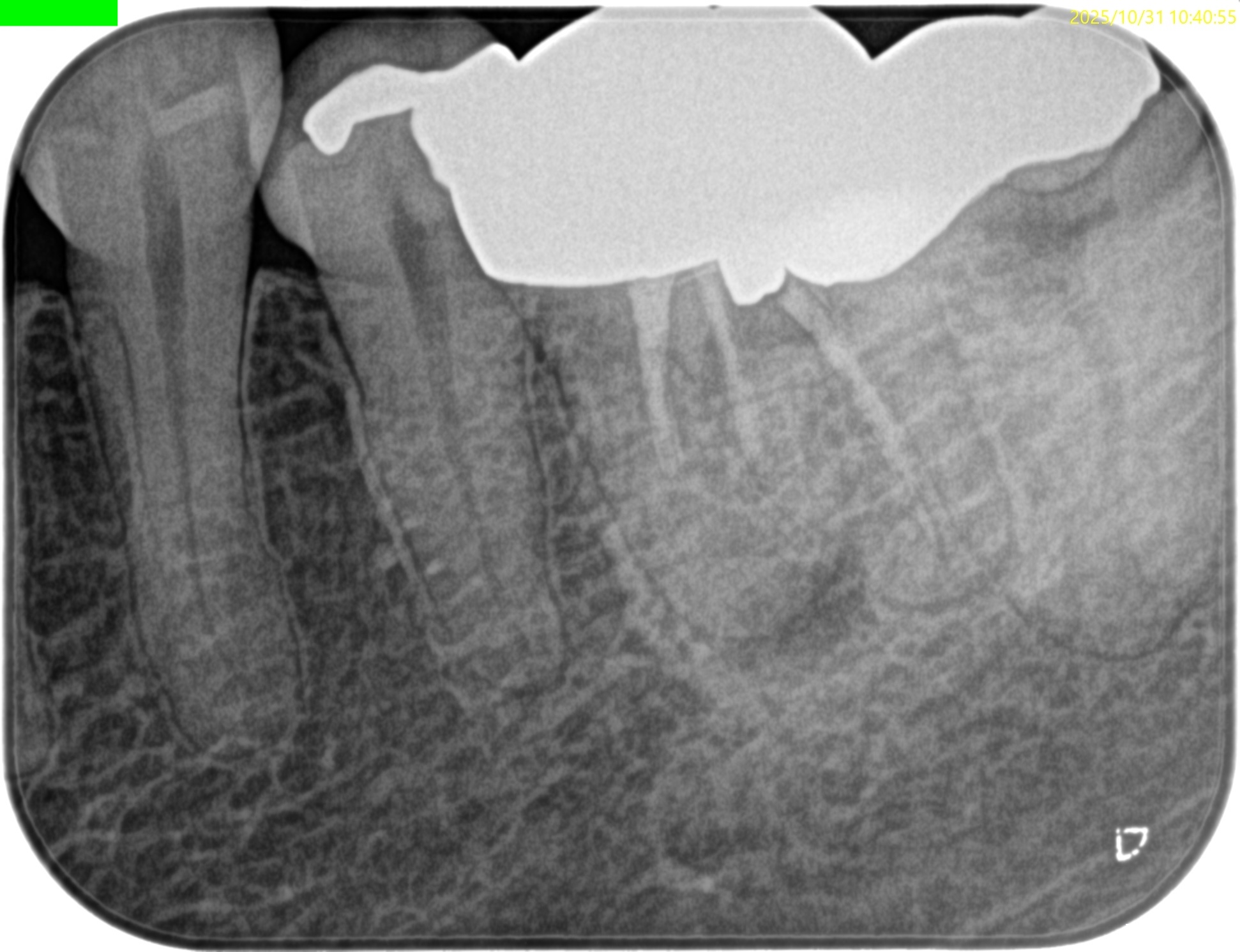
PA(2025.10.31)


PAでは上記の私の謎は解明できない。
#19の近心根には根尖病変は見えるが…
圧痛が強いのは#18近心だ。
意味がわからない。
CBCTも撮影した。
CBCT(2025.10.31)
#19
MB
ML
D

Pre-op Endo Diagnosis(2025.10.31)
#19
Pulp Dx: Previously treated
Periapical Dx: Asymptomatic apical periodontitis
Recommended Tx: Re-RCT
#18
Pulp Dx: Symptomatic irreversible pulpitis
Periapical Dx:Symptomatic apical periodontitis
Recommended Tx: RCT
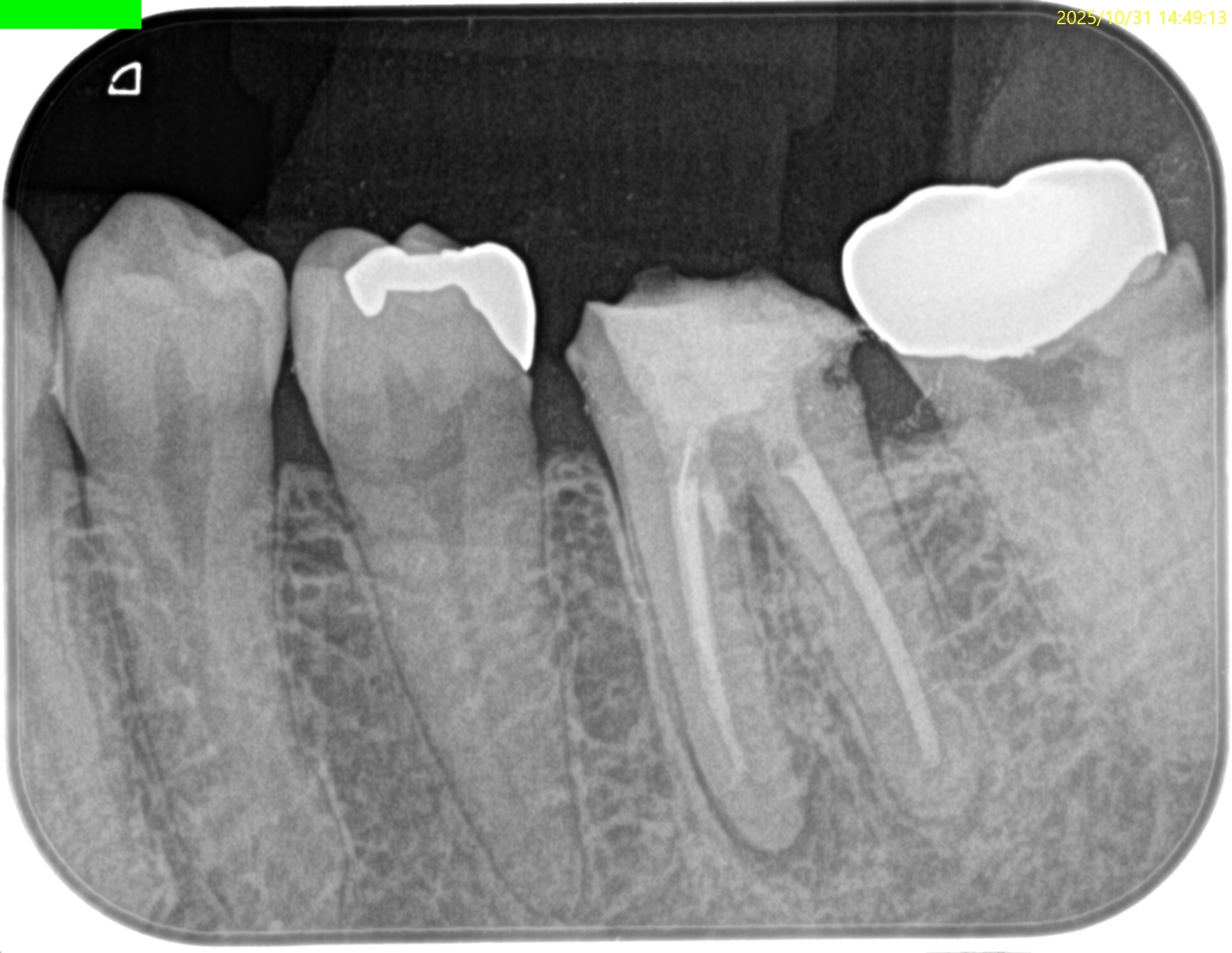
#19はこの日に治療し、以下のようになった。



MB

ML

D

しかし、
一連のCBCTの絵を見ても強い圧痛を惹起させる要因が見当たらない。
依頼されたのは#19であるが患者さんの主訴である、
左下奥がうずいたり、歯磨きをするときに痛い…食事をするときにも痛い。痛みが強くなると顎まで痛みが出ることがある…
は
この歯から出てくるだろうか?
特にうずいたり歯磨きする時に痛い
という臨床症状は#19からは出てこないものだろう。
これは歯髄炎で特徴的に見られる臨床症状だからだ。
ということで臨在歯の#18もCBCTを精査した。
#18
M
D

#18 Mのこの絵は縁下カリエスの可能性を示唆している。

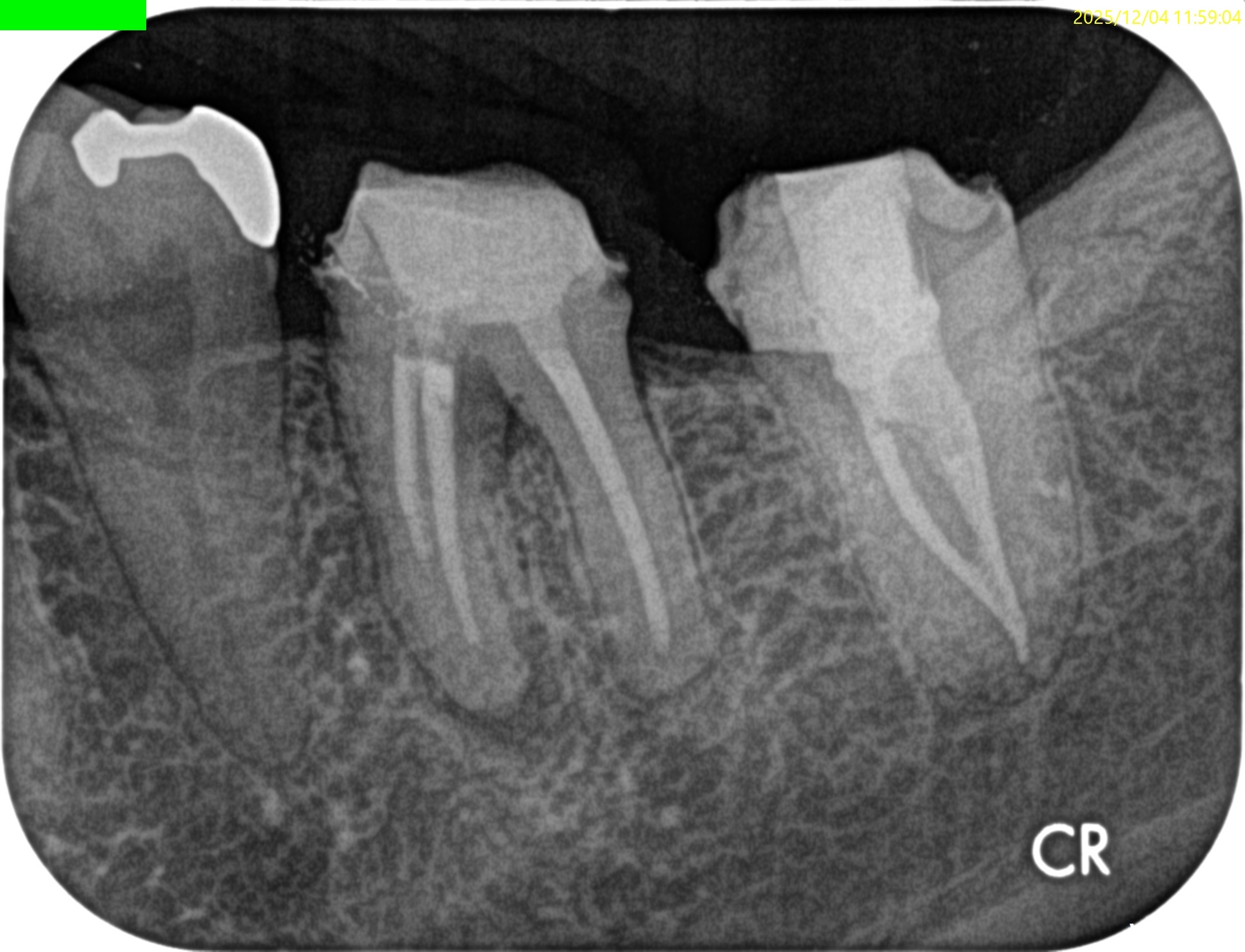
ということで、かかりつけ医の先生には#19を依頼されたがおそらく痛みの原因は#18であろうという話をして治療の許可をいただき、別日に#18 RCTが行われた。
#18 RCT(2025.12.4)
除冠し当該部位を削ると…



既に虫歯が縁下にまで及んでいた。
これが主訴(左下奥がうずいたり、歯磨きをするときに痛い…食事をするときにも痛い。痛みが強くなると顎まで痛みが出ることがある…)の原因だったのだろう。
ではそれになぜ気付けたか?だが、
明らかにCBCTの存在がなければこの存在に気づけなかっただろう。
このことからも、
もはやCBCTの存在は歯内療法においてはマストである
ということがわかる。
ということは、
CBCTを見れる絵に調整できる能力も必須
といえる。
圧排糸を歯肉溝に挿入し隔壁形成した。
ここまでに30分かかっている。

ようやく根管治療ができる準備ができたのでラバーダムをかけて根管治療が開始された。




問題はないだろう。
術後は一定期間痛みはあるが、
によれば、
このような急性症状は1週間程度で痛みがとれるという。

患者さんに連絡すると、
あれだけ日常生活にも支障をきたしていた歯の痛みが、今はすっかり消えてなくなりました。
夜もぐっすり眠れるようになり、大きなストレスから解放された感じです。
痛い出費でしたが、治療をやってよかった!と実感できています。ありがとうございました!!
という返事があった。
上記の文献通りである。
この日の記事で私が伝えたかったことは診断におけるCBCTの重要性である。
そして画像診断だけでは問題や主訴の解決にもならないという臨床的な事実だ。
検査で、強い圧痛がありその部分のCBCTを分析するとカリエスがあるということに気づければ患者さんに感謝される可能性は高いだろう。
そしてこのような状態を引き起こすものが保険の修復物であるという事実は患者さんはよく覚えておいた方がいいだろう。
あなたはご自分の歯を長持ちさせたいですか?
それなら受けるべき治療はどういう種類か決まっているだろうし、それがより長く持続するようにするには定期的な予防処置が必要であるということもわかるだろう。
そしてその予防管理は国が合法的に?保険で行うことを認めた今、自由診療で行うべき内容でないことも併せて強調しておく。
今日は臨床診断と画像診断の重要性とCBCTの威力をご説明した。
ということで、1年間この歯科医院のHPのブログをご覧いただきありがとうございました。
当歯科医院は2026.1.5から診療します。
それまでブログの更新もストップいたします。
来年もまたよろしくお願いいたします。
皆様も良いお年を。


