以前の治療の経過観察。
治療から1年が経過していた。
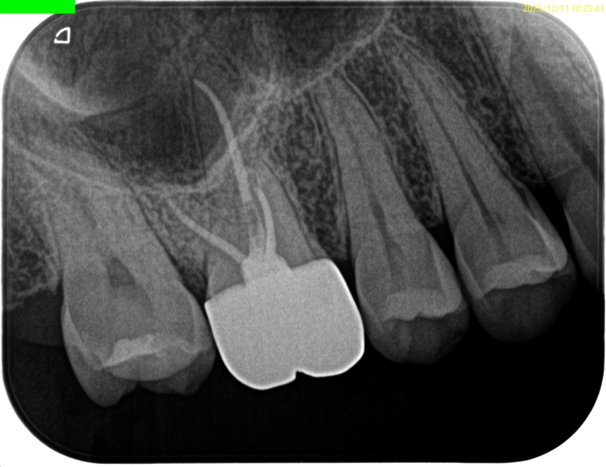
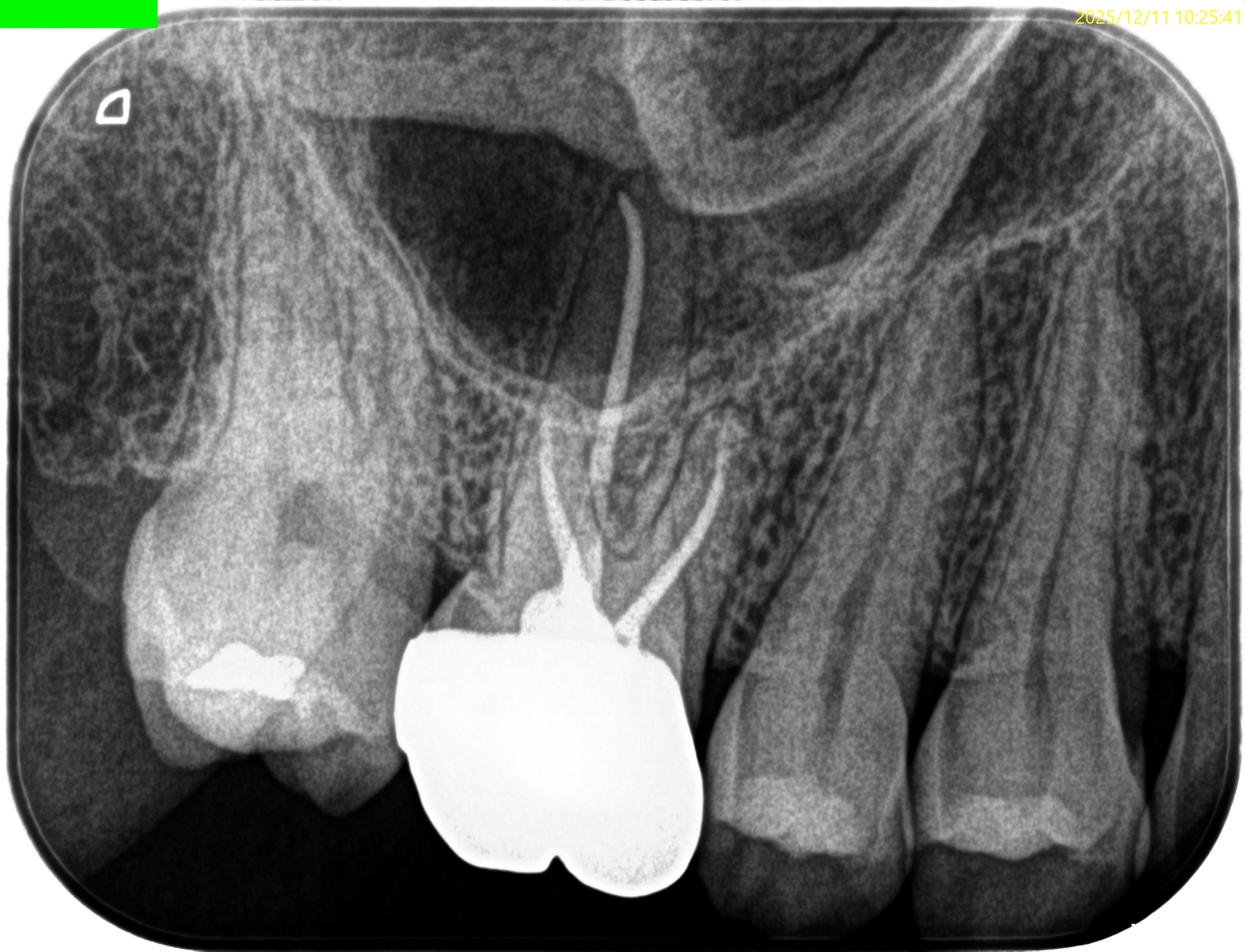
#3 RCT 1yr recall(2025.12.11)

初診時のSinus tractは消失していた。
臨床症状(根尖部圧痛)は、

これも消失していた。
PA, CBCTも撮影した。


MB

DB

P

B

初診時と比較した。

臨床症状、Sinus tractは消失し完治した。
ということでこの日で終診とさせていただいた。
さて。
この日私は驚いたことがある。
それは、
はみ出たBC sealerが消失して歯槽骨と置き換わっている
という臨床的事実だ。
文献にもそうあるが、


BC sealerは組織液と反応して生体親和性の高いハイドロキシアパタイトを生成すると信じられており、それは自家骨に置き換わると信じらている。

炎症性滲出液や嚢胞の存在によってはみ出たシーラーは吸収されると信じられているようだ。
このケースではみ出たBC sealerが歯槽骨に置き換わったのか?私にはわからない。
が、根尖病変が治癒し歯槽骨に置き換わったのは紛れもない事実だ。
あなたは上記の論文の意見をどう思いますか?