紹介患者さんの治療。
主訴は、
食事で固いものを左側で食べると違和感が強い。
である。
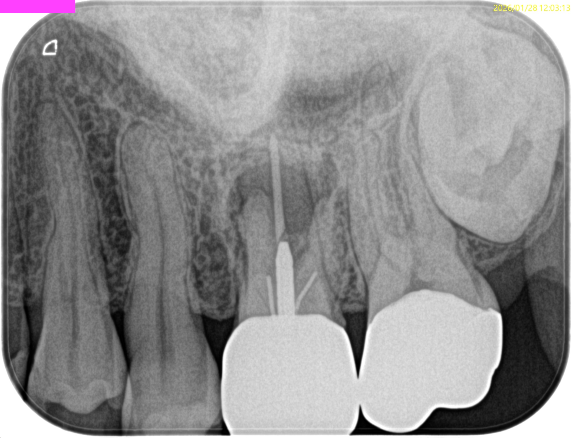
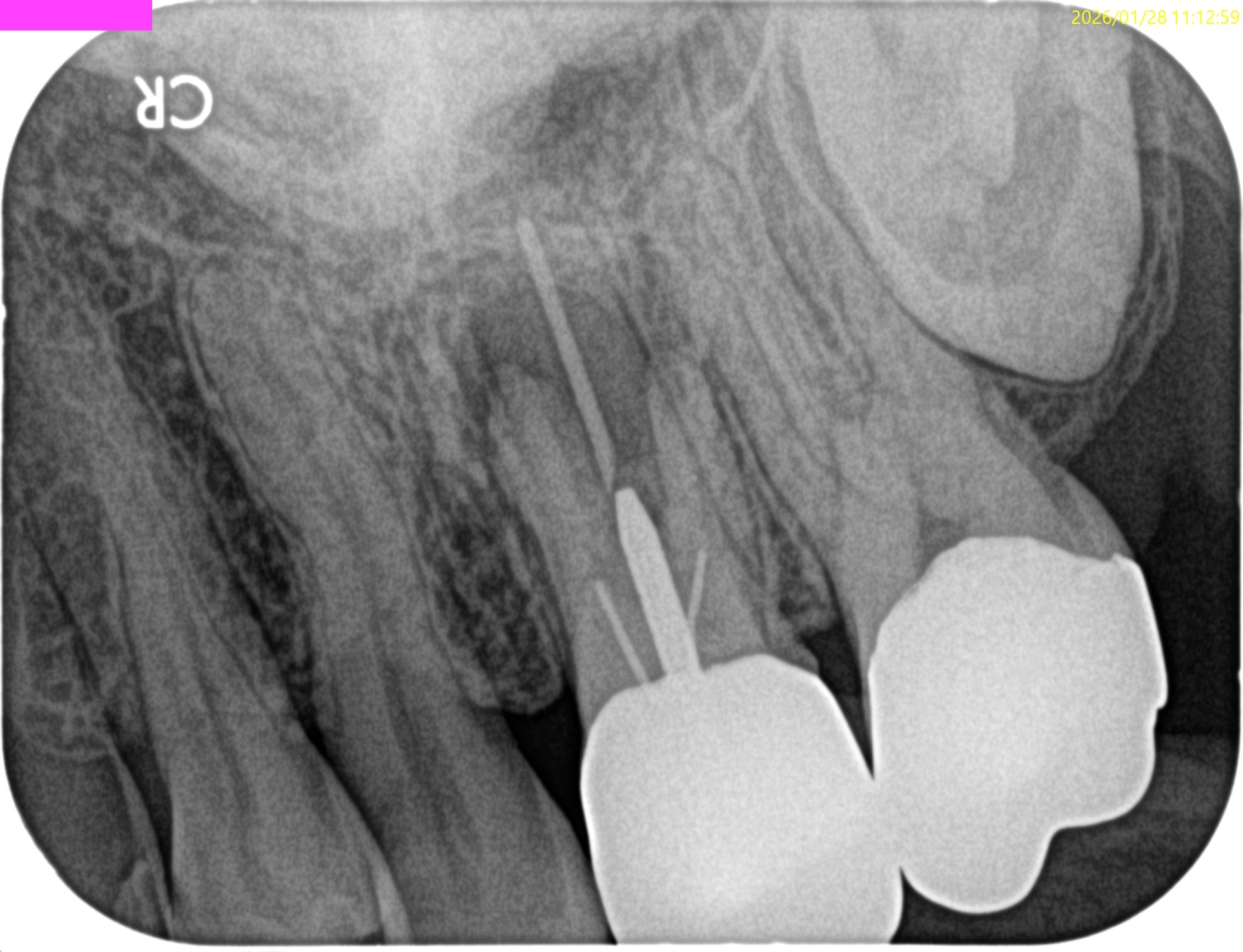
Pre-op Endo Test(2026.1.28)



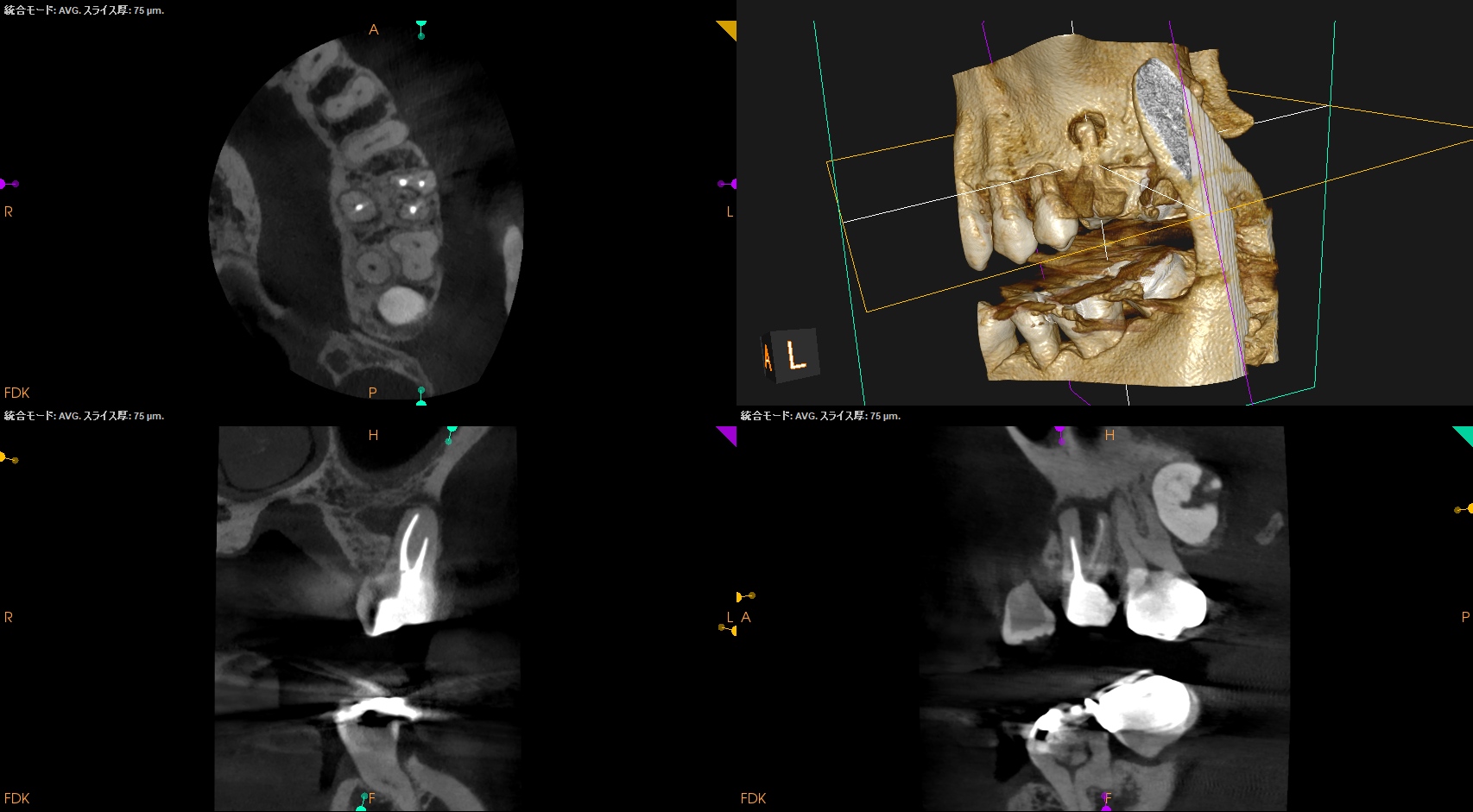
MB1

MB2

DB

P

Selectiveに再根管治療をするとすれば、
MB1もしくはMB2
MB1とMB2
DB
は穿通させる必要性があるだろう。
が、
Pはその必要があまりないだろう
ということがわかる。
MB2を発見・穿通させる必要があるかどうか?はこのように術前にCBCTを正しく分析すれば予想ができる。
これが意味することは、
CBCTなくして、CBCTを分析できる能力無くして、歯内療法を制することができないと言うことがわかる。
MBは、

MBの作業長の予測は18~19mm(臨床的にはここからクラウンの厚み, この際はMB部分を引く必要性)ということがわかる。
DBは、

DBの作業長予測は17.4mm(ここからDBのクラウンの厚みを引いた長さ)
になろう。
が、正しくはRoot ZXが96%の可能性で正しい位置を提示してくれる。
そのためのガイドマップにCBCTは必須と言える。
Pre-op Endo Diagnosis(2026.1.28)
Pulp Dx: Previously treated
Periapical Dx: Symptomatic apical periodontitis
Recommended Tx: Re-RCT
同日、治療へ移行した。
☆この後、治療動画が出てきます。不快感を感じる方は視聴をSkipしてください。
#14 Re-RCT(2026.1.28)
除冠し、スクリューピンから除去した。
この際、Endo guide burのような先端の細いバーでスクリューピン周囲のレジンを除去しなければならない。
ピン除去後は余ったレジンコアの除去である。
ラバーダムせずに築造しているであろうことからレジンを薄くして力をかけると容易に脱離する。
MB,DBのGutta Percha Pointを除去していった。
Poorな根管充填なので容易に除去できるはずだ。
短針・ピンセットでGutta Percha Pointを除去したならば、作業長測定である。
DBから行うが、

Gutta Percha Pointの先は石灰化しているのでMunce discovery burを使用して象牙質を除去し穿通し形成した。
次がMB1である。
が、MB1は穿通しなかった。
ということは…
MB2を見つけ穿通させないといけない事態になることがここで決定する。
その際は、

MB1よりも2.5mm口蓋近心側にMB2はあるはずだ。
そこを以下のように探索した。
☆How to find MB2?
1. Locate the Position: The MB2 is generally found 1–3 mm palatal to the main MB1 canal, not directly between the MB1 and Palatal canals, but often on a line connecting them
2. Remove the Dentin Shelf: A significant portion of the MB2 orifice is covered by a “white line” or a shelf of dentin. Use ultrasonic tips or a small, long-necked, round bur to trough 1–2 mm deep into the Mesial-Palatal developmental groove.
3. Use Magnification & Lighting: A dental microscope or high-powered loupes are essential, as the MB2 is frequently too small or hidden to see with the naked eye.
4. “Troughing” Technique: Use an ultrasonic tip (e.g., Munce Discovery) to trough along the pulpal floor between the MB1 and the palatal orifice.
5. Identify Bleeding Points: A “blood trace” or small pinpoint bleed on the pulpal floor, especially after removing debris, often indicates the location of the MB2.
6. Use Dyes: Methylene blue or another dye can help highlight the pulpal floor map.
7. Initial Exploration: Once located, use a small, hand-held file (e.g., #06 or #08) or a micro-opener with ultrasound to navigate the first few millimeters.
7に関してはそうした道具よりも先端の鋭い短針(先端が#19以下)でスカウティングしながら根管口を探す必要があるだろう。理由はその後使用するであろうProTaper SXが破折しないようにするためだ。
ここがこの治療の最大の山場と言える。
SXでコロナルフレア形成した後、
C+ File #10→#8→#6を入れるが穿通しないので、
HyFlex EDM #10.05を高速回転(650rpm, 最少N)で使用し根管を突いて穿通させた。
このように石灰化した根管は湾曲根管と変わらないと私は考えるのでHyFlex EDMは#20.05から使用した。これはDBも同様である。
次が#25.Vで、
最後が#40.04だ。
以上を整理すると、以下のように再根管形成を行っている。

BC sealerを使用して根管充填した。
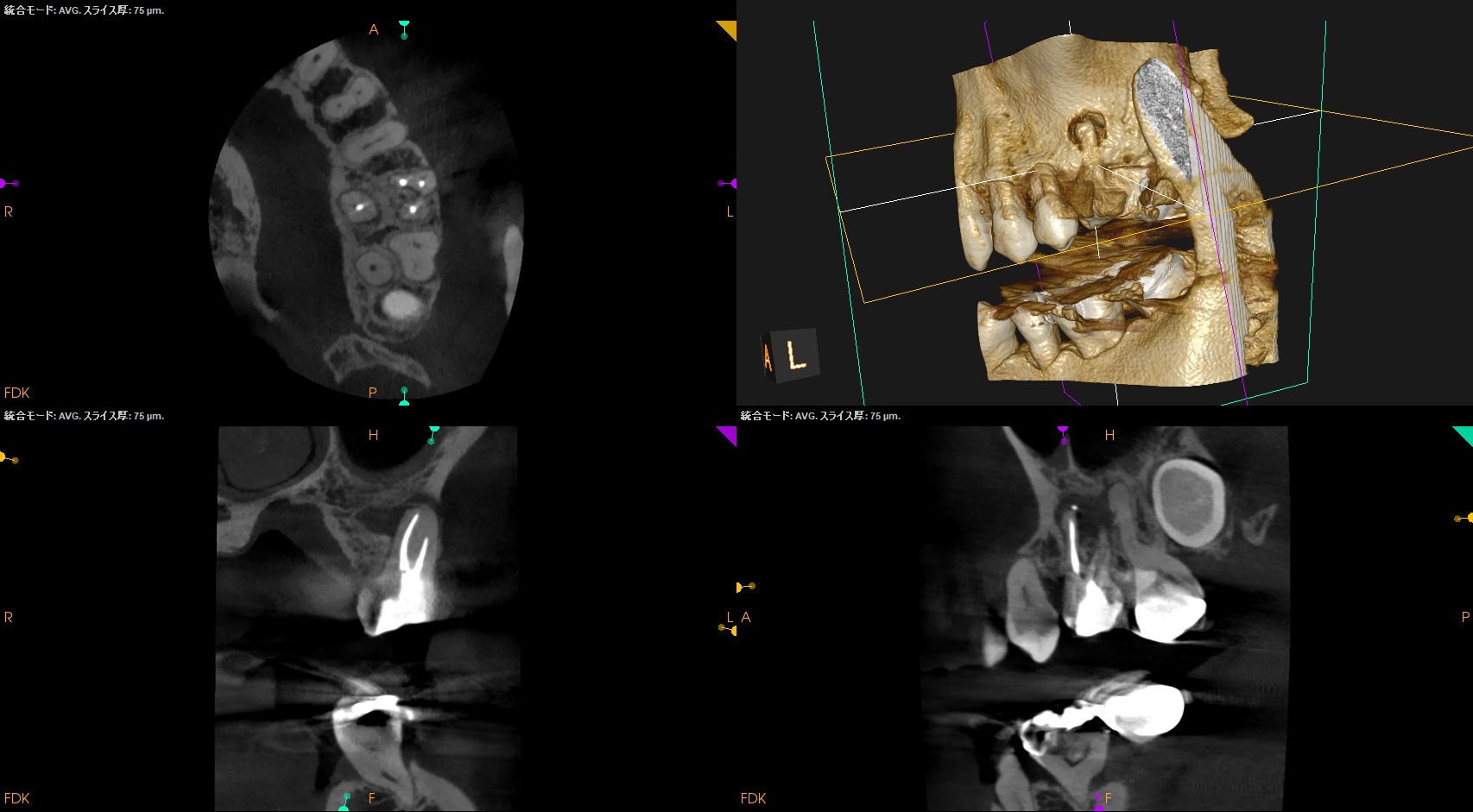
術後にPA, CBCTを撮影した。


MB1

MB2

DB

P

B

問題はないと思われる。
次回は1年後だ。
またその模様をお伝えしたい。