紹介患者さんの治療。
主訴は、
他の歯科医院で神経が出たがそこを自費の材料で埋めたが冷たいものや熱いもので痛みが止まらない…
である。
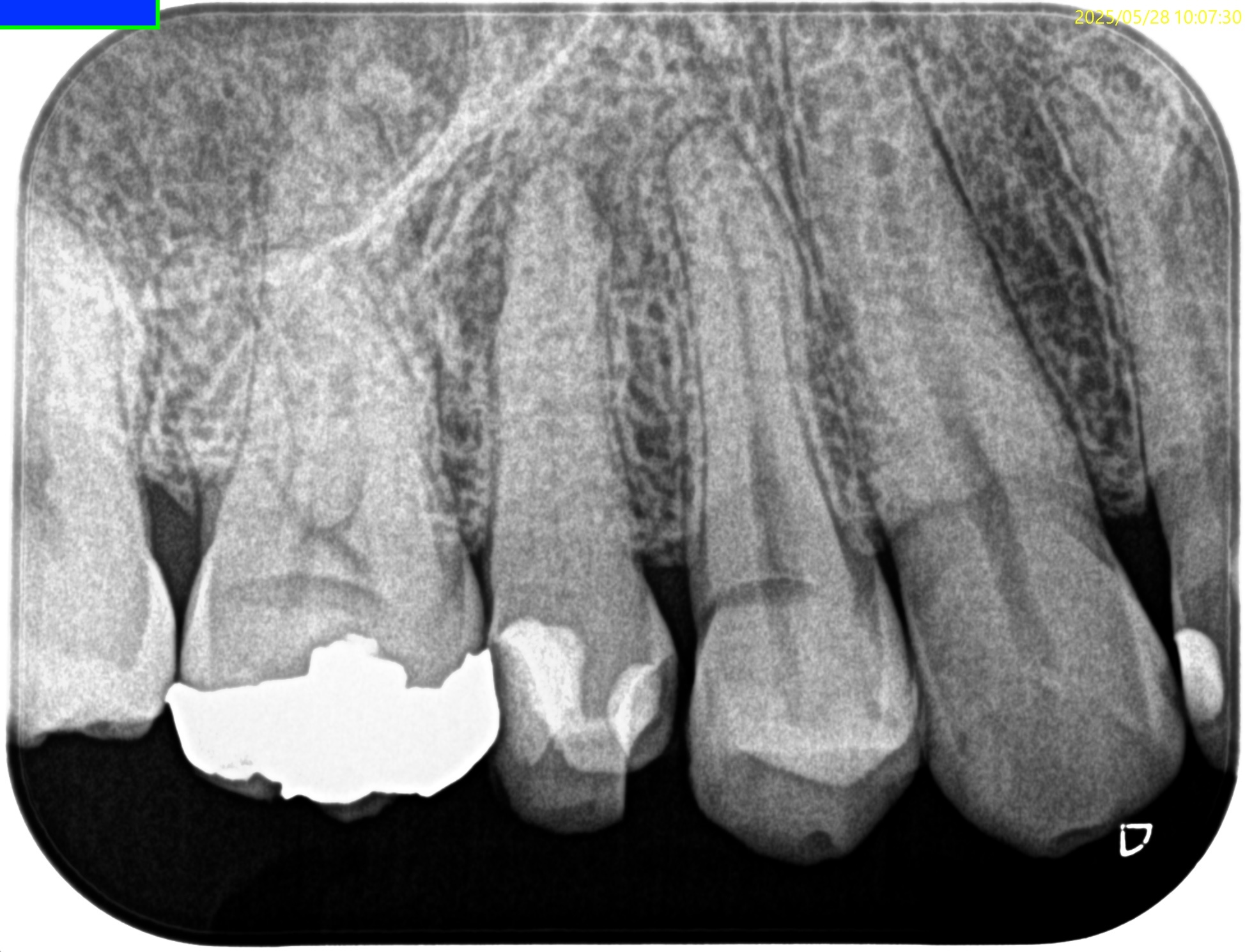
Pre-op Endo test(2025.5.28)
#4 Cold NR/20, Perc.(+), Palp.(-), BT(+), Perio Probe(WNL), Mobility(WNL)



直接覆髄をしたかのような治療が奏功しない状態である。
それが痛みの原因だろう。
何度も言うが、神経を保護する材料を特別な材料を使用してもそれは効果のないことだ。
歯内療法の歴史は覆らないのである。
それは大きな大河に小石を投げているに過ぎない。
もっと臨床家は謙虚になるべきだろう。
さて。
治療は、歯髄壊死した根尖病変がある歯牙の根管治療だ。
その成功率はTront study(de Chevigny 2008 Treatment outcome in endodontics: the Toronto study–phase 4: initial treatment)によれば、
86%
である。

何度も言うが私が言った数字ではない。
研究で明らかになった数字だ。
以上を以下の紙のように説明している。

Pulp Dx: Pulp necrosis
Periapical Dx: Symptomatic apical periodontitis
Recommended Tx: RCT
患者さんはその治療の成功率とそれがうまくいかない時の代替治療方法(Apicoectomy, 歯根端切除術)に同意し、同日に根管治療が行われた。
☆この後、治療動画が出てきます。不快感を感じる方は視聴をSkipしてください。
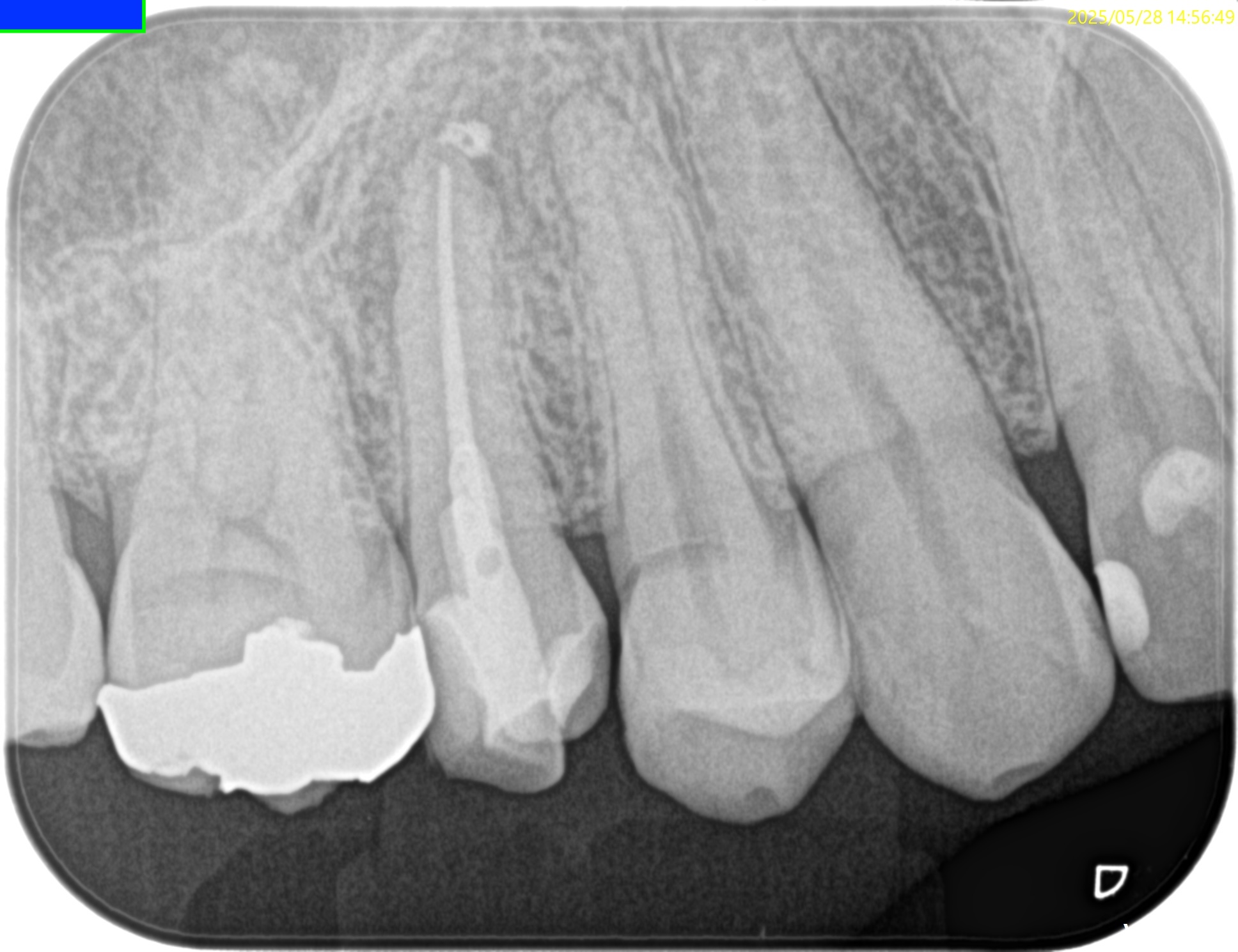
#4 RCT(2025.5.28)
生活歯髄療法で根管が石灰化していたため、#17の短針でスカウティングしている。
成人の生活歯髄療法の負の側面が顔を出した瞬間だ。
C+ File #10→8→6→K File #10→#8で根管が穿通した。
#8で穿通したと言うことは、
Apical Foramenが#8である。
そこから0.5mm上部は#9であるので、いわゆるグライドパスが必要な状態になる。
したがって、K Fileを1mm突き出した。
するとForamenが#10であるのでそこから0.5mm上部が#11であるのでグライドパスが不要である。
このように現代の歯内療法はいかにそれを避けて根管形成するか?が全てであろう。
湾曲根管ではないが、石灰化根管であるので#20.05からスタートした。
次が#25.Vで、壊死歯髄であるので#40.04まで根管形成した。
#35.04で根管充填した。
作業内容は以下である。

PA,CBCTを術後に撮影した。



問題はないだろう。
ここから8ヶ月後に、別の歯牙の治療で来院された際に経過をみた。
#4 RCT 8M recall(2026.1.26)




初診時と比較した。

根尖病変はほぼ消失した。
最終補綴もOKである。
と言うことで次回はさらに4ヶ月後の1yr recallである。
またご報告したい。