昨日の記事と同じ患者さん。
8ヶ月前と同じ痛みの理由で来院された。
その主訴は、
他の歯科医院で神経が出たがそこを自費の材料で埋めたが冷たいものや熱いもので痛みが止まらない…
である。
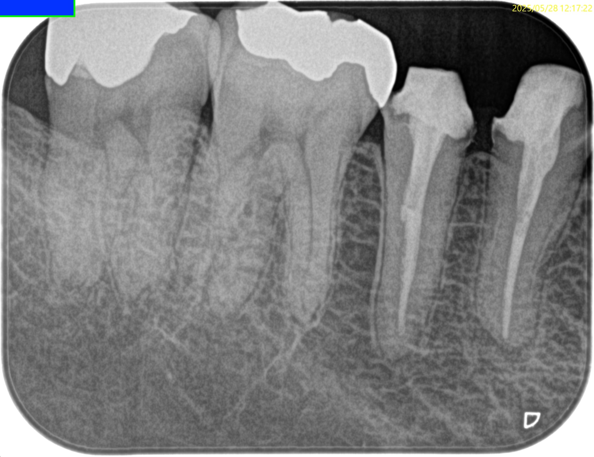
Pre-op Endo test(2026.1.26)
#31 Cold++1/15, Perc.(+), Palp.(-), BT(-), Perio Probe(WNL), Mobility(WNL)




遠心根に直接覆髄的な治療で痛みが出ている。
そして根尖部にはかなり小さいが病変的なものが見える。
その成功率はまたしても言うまでもないが、
根尖病変のない近心根は
96%
Sjorgren 1990 Factors affecting the long-term results of endodontic treatment
若干小さな病変のようなものがある遠心根は
86%
de Chevigny 2008 Treatment outcome in endodontics: the Toronto study–phase 4: initial treatment
であると言うことを事前に説明した。

昨日の記事の内容(#4 RCTとその結果, 8M recall)をこの歯の治療の前に以下のように説明して、治療に心から同意され同日、処置を行なった。

☆この後、治療動画が出てきます。不快感を感じる方は視聴をSkipしてください。
#31 RCT(2026.1.26)

Inlayを除去後に根管治療が始まった。

やはり歯髄炎だ。
以下のように根管形成した。

Dは#60.02で形成しても出血がペーパーポイントに見られたためにProTaper Gold F5まで形成した。
ML,MBは合流していることが多いと言う解剖学的情報をもとに以下のように合流部分をチェックした。







問題はないだろう。
また半年後にこの治療の結果をご提示したい。