以前の治療の経過観察。
治療から6年が経過していた。
当時の主訴は咬合痛。
硬いものが噛めないと言う。
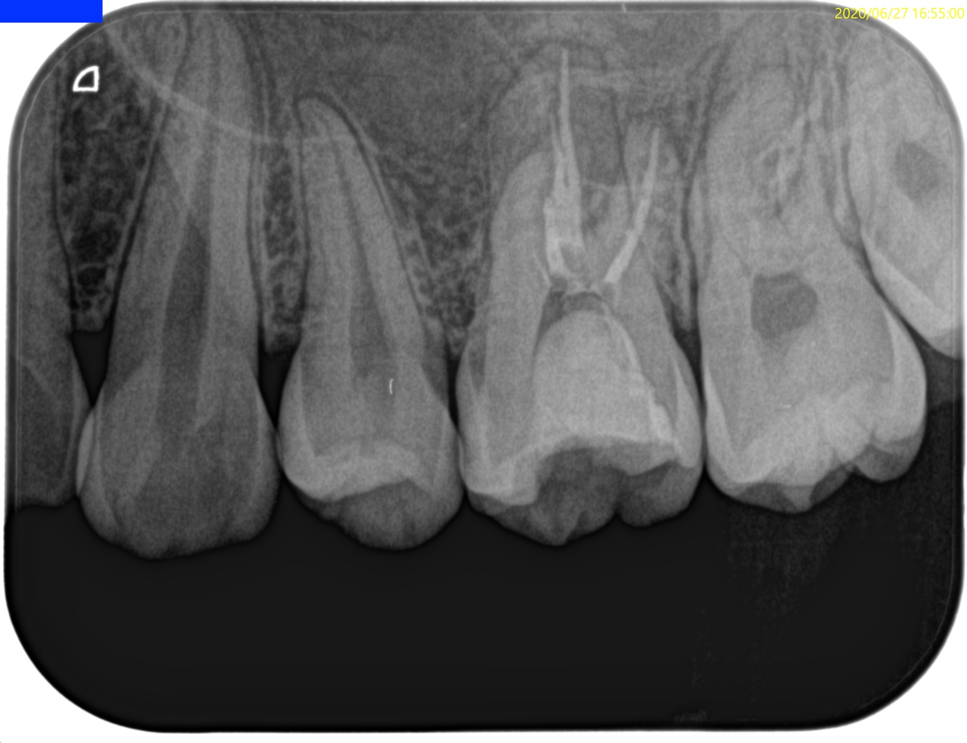
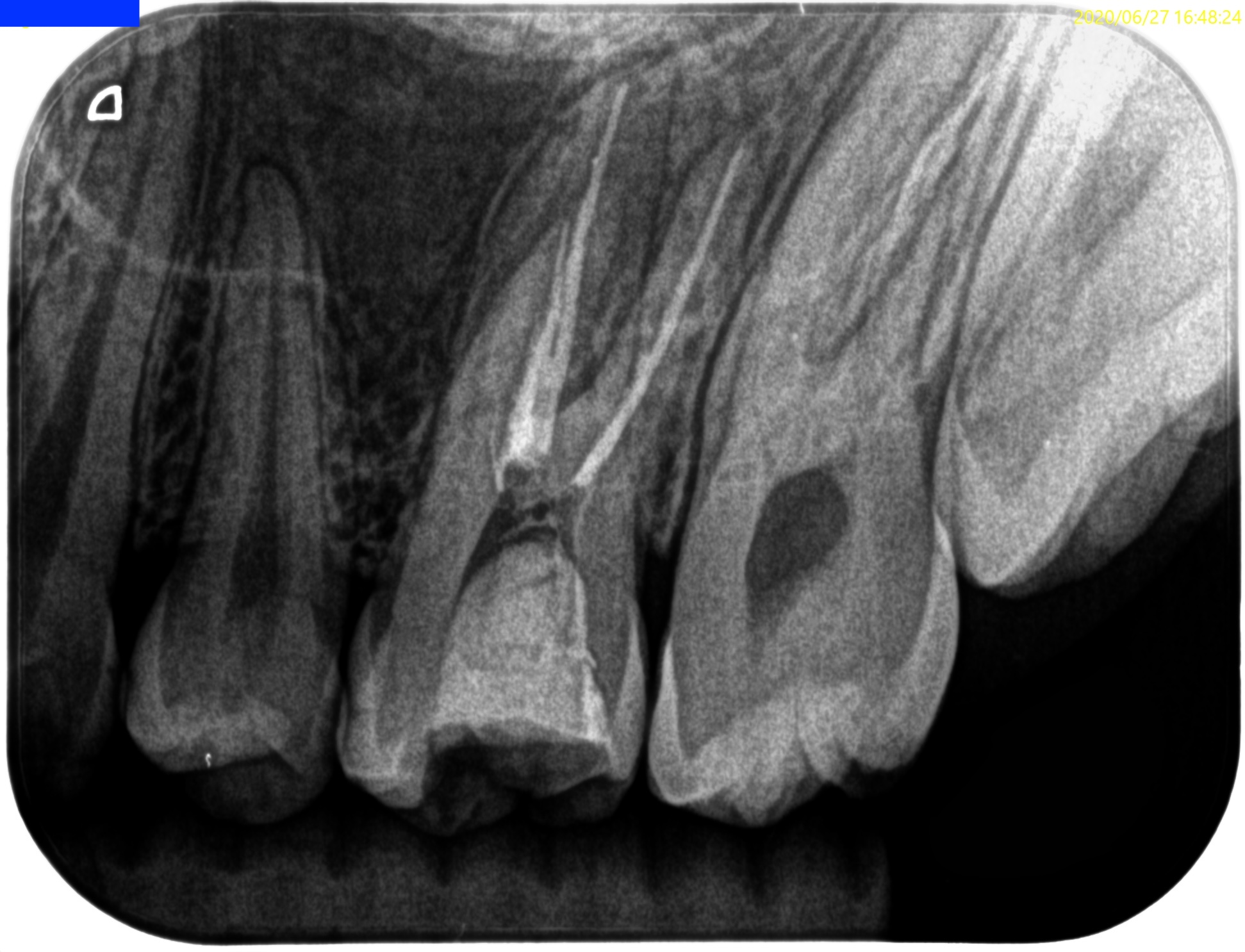
Pre-op Endo test(2020.6.27)


この時代は当歯科医院にCBCTがない時代で、非外科的な治療であるので撮影を外部へ依頼していない。
今なら…
考えられないことだ。
Pulp Dx: Previously treated
Periapical Dx: Symptomatic apical periodontitis
Recommended Tx: Re-RCT
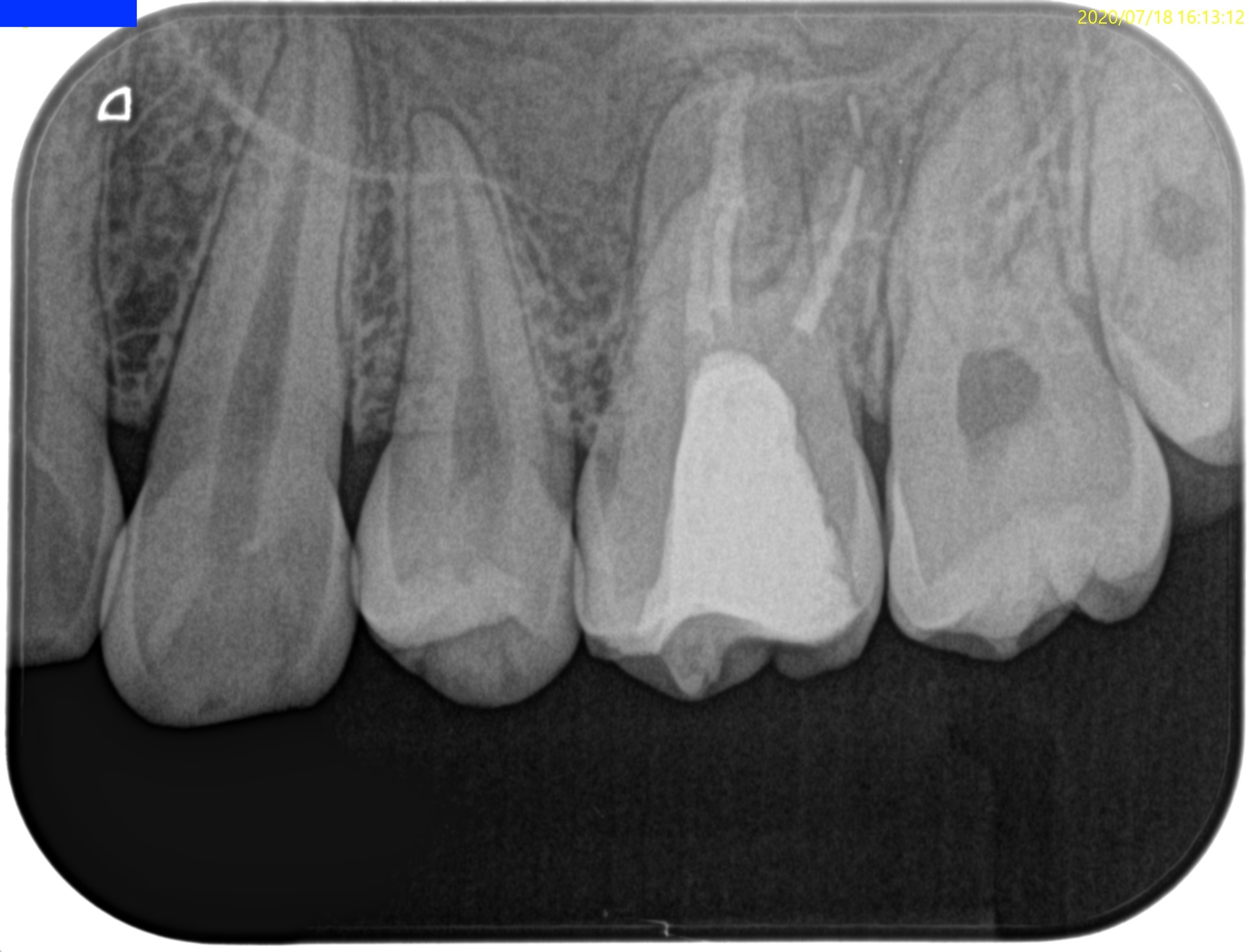
別日に治療が行われた。
#14 Re-RCT(2020.7.18)


ここから6年が経過した。
#14 Re-RCT 6yr recall(2026.1.27)



MB

MB2

DB

P

根尖病変は消失した。
また、再治療直後に根尖孔外へとはみ出たGutta Percha Pointの残渣も消失した。
マイクロファージに貪食されたのか?それは神のみぞ知る話だ。
ということで、この日で終診とさせていただいた。
が、だ。
いつもRecallと比べて内容がしょぼい。。。
CBCTがなければ術前の臨床状況を正確に判断できないのである。
それは歯科医院にとってはマイナスといえよう。
やはり改めて全てのケースでCBCTを撮影するべきだと思い知らされた6yr recallであった。