紹介患者さんの治療。
主訴は、
他院で神経の除去が必要と言われたが治療に数ヶ月かかると言われたので(かかりつけ医に転院・相談したら)、来院しました
である。
根管治療に何度も通院しても、1回で終了しても予後に差はないことがわかっている。
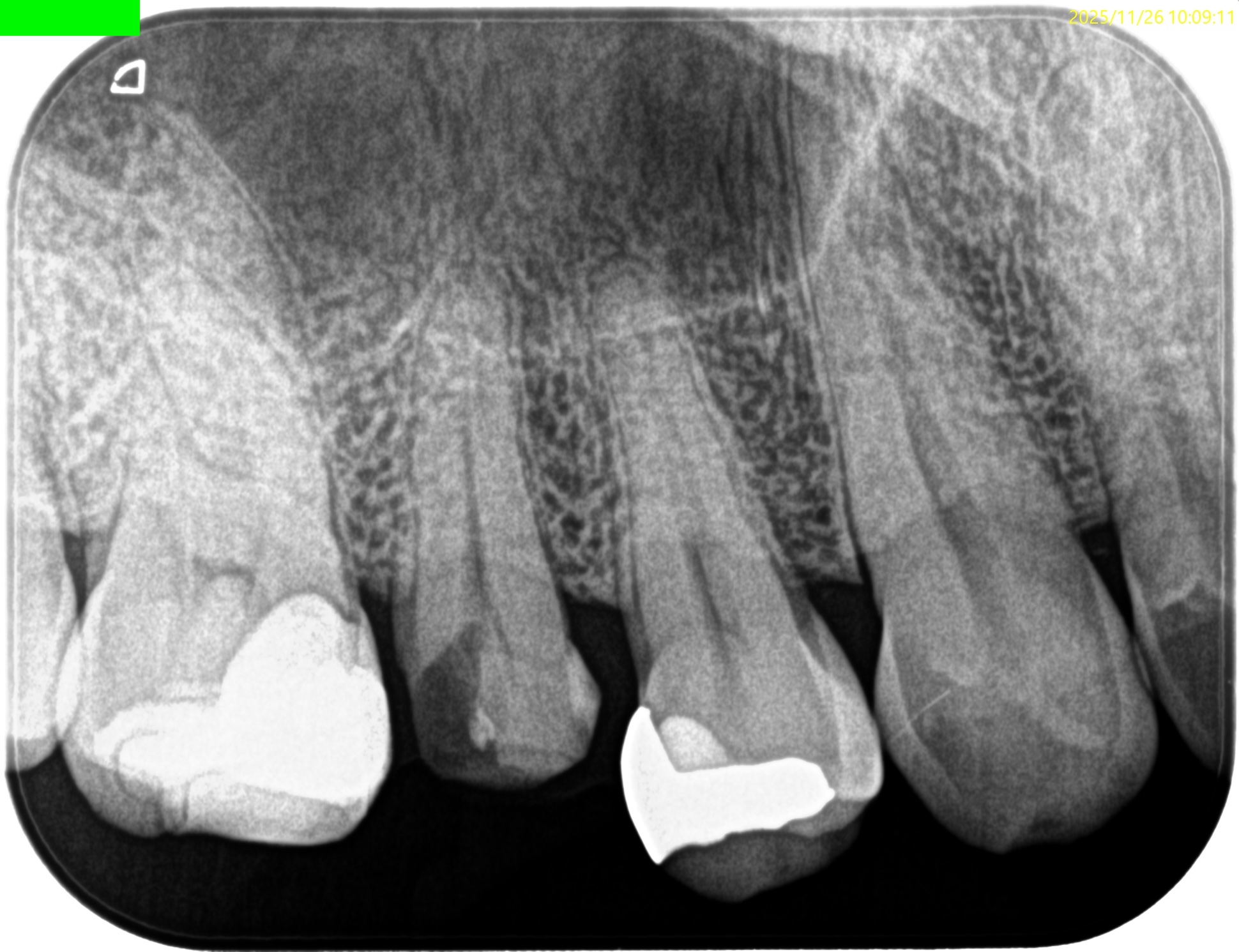
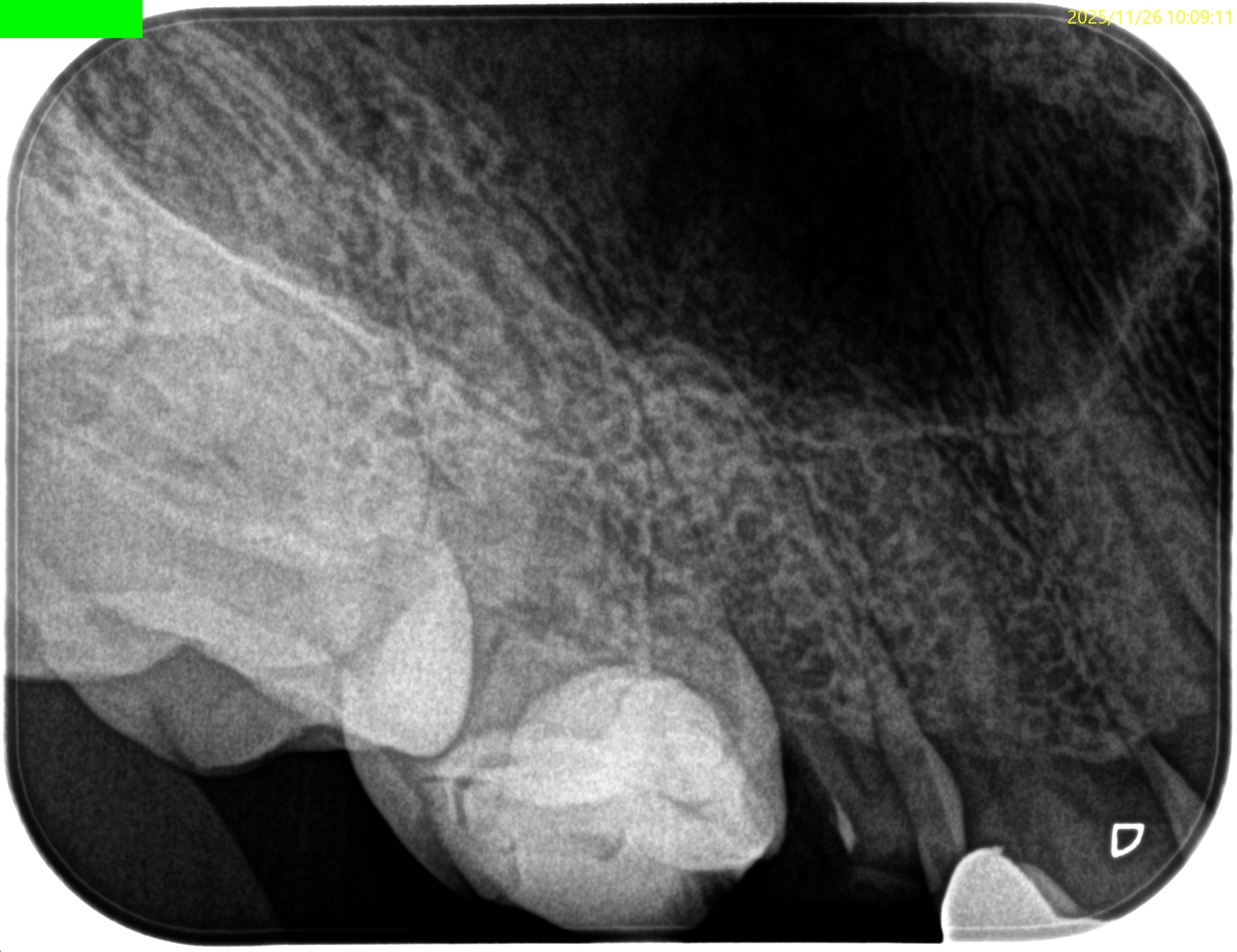
Pre-op Endo test(2025.11.26)

#4に咬合痛があるような…ないようなという感じであった。





病変のない、Initial RCTだ。
Sjorgren 1990 Factors affecting the long-term results of endodontic treatment
によればその成功率は96%だ。

なのでほぼほぼ問題は起きないだろう。
Pulp Dx: Asymptomatic irreversible pulpitis
Periapical Dx: Symptomatic apical periodontitis
Recommended Tx: RCT
⭐︎この後、治療画像が出てきます。不快感を感じる方は視聴をSkipしてください。
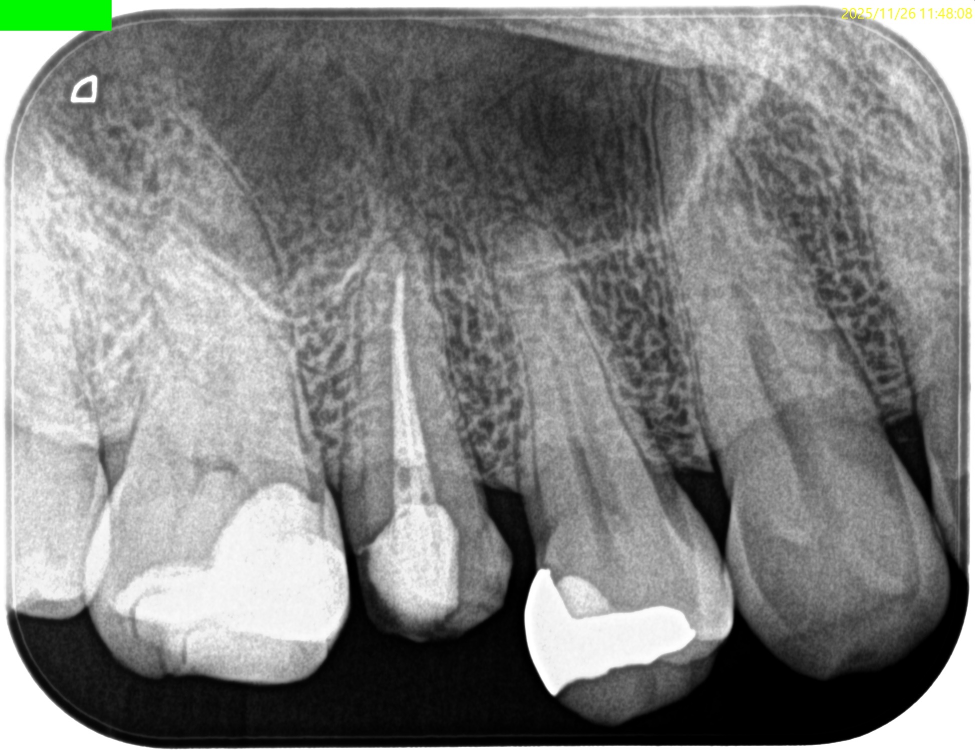
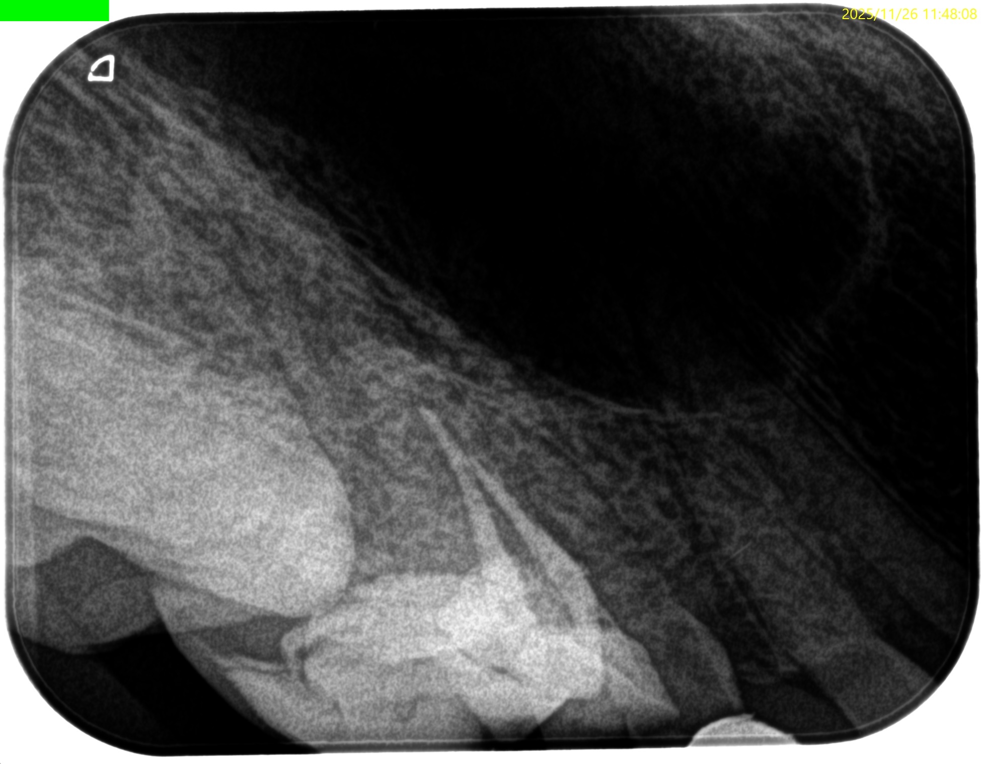
#4 RCT(2025.11.26)

天蓋除去するとBもPも大流血であった。
以下のように作業した。

術後にPA, CBCTを撮影した。




問題はないだろう。
治療は30分で終了した。治療回数も1回だ。
ここに来る前には数ヶ月かかると言われたのに、だ。
次回は半年後である。
またその結果をお伝えしたい。