紹介患者さんの治療と経過観察。
主訴は、
歯周病の治療をしようと思ったら、根の先が悪いと言われて紹介された
である。
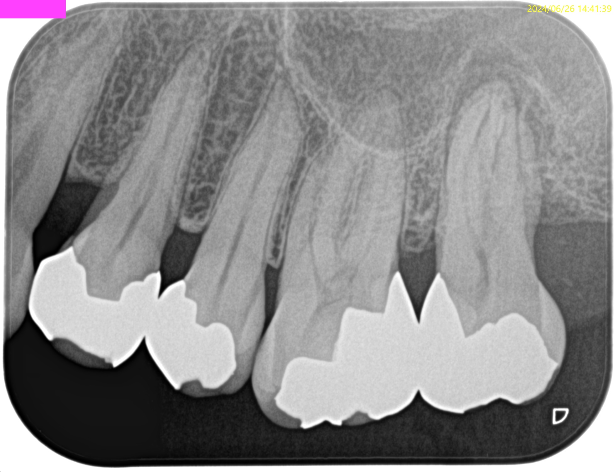
Pre-op Endo Test(2024.7.31)
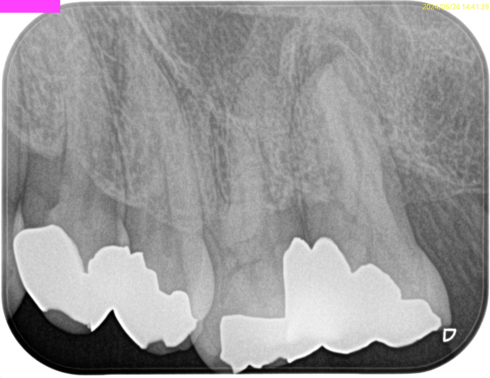
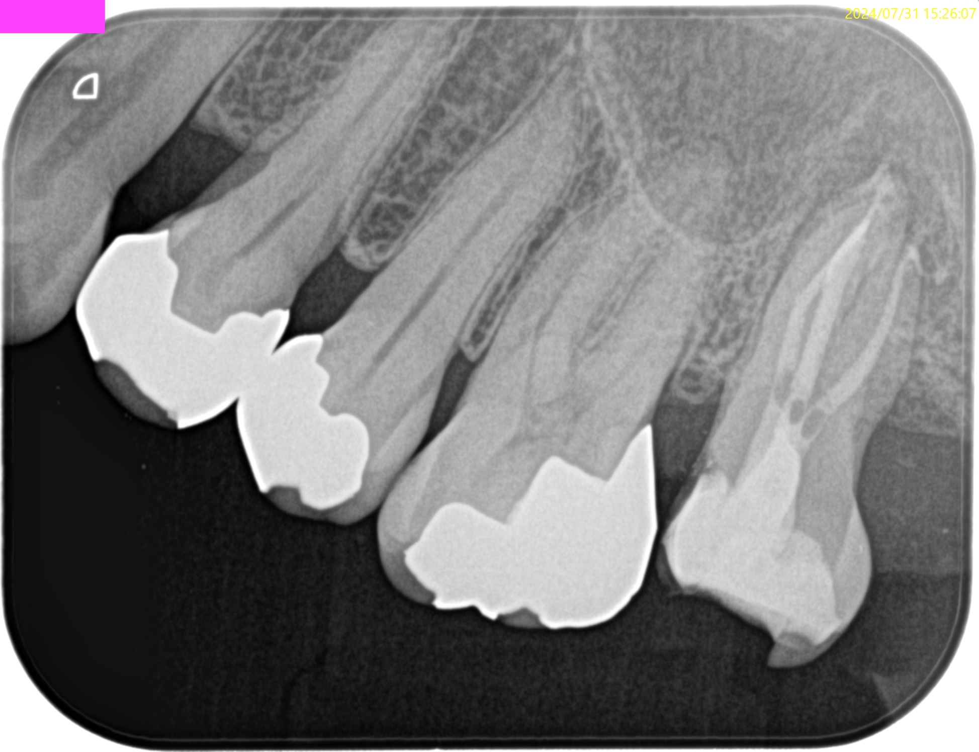
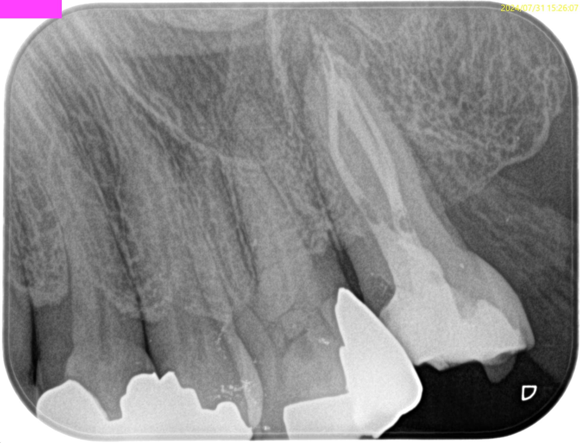
PA(2024.7.31)

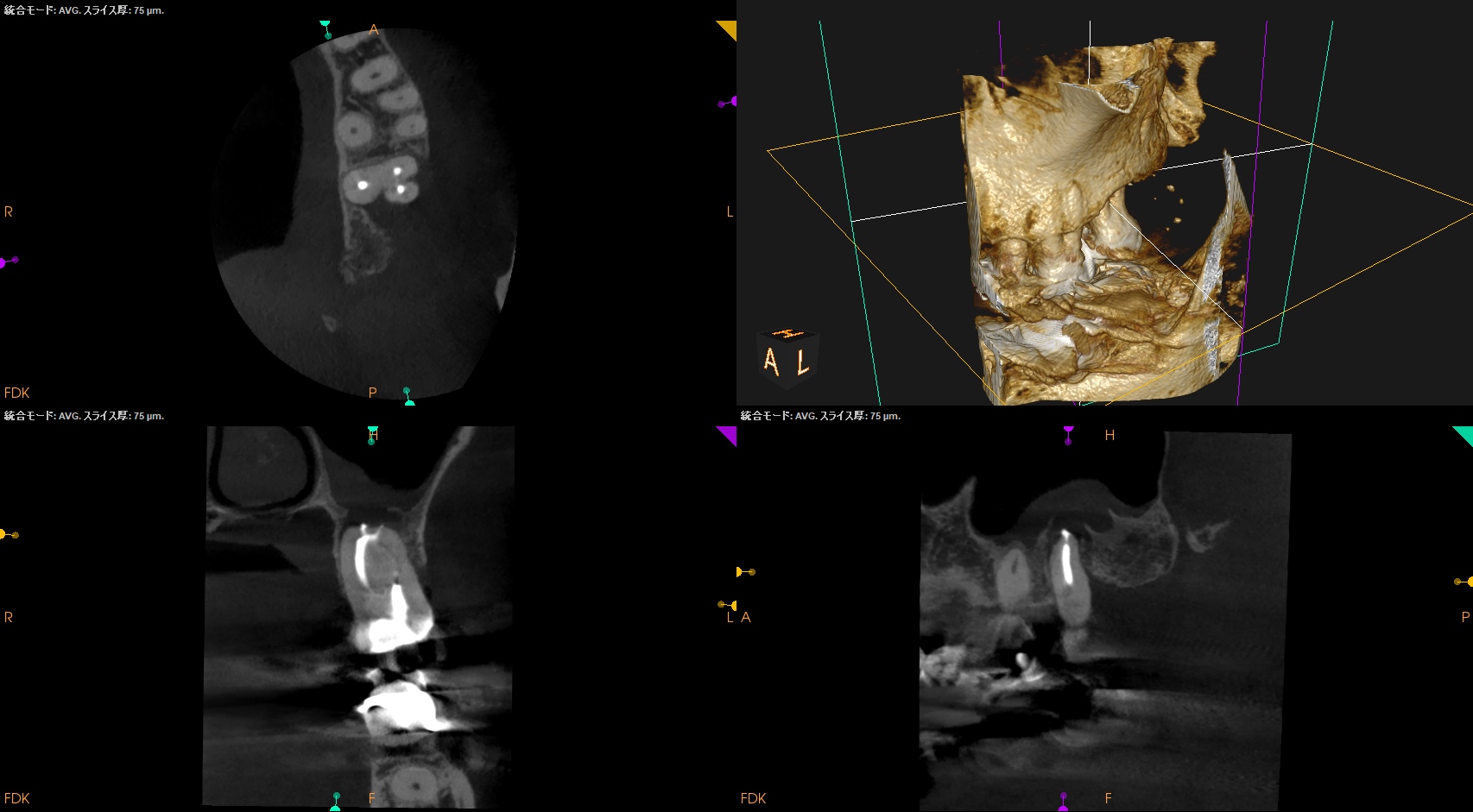
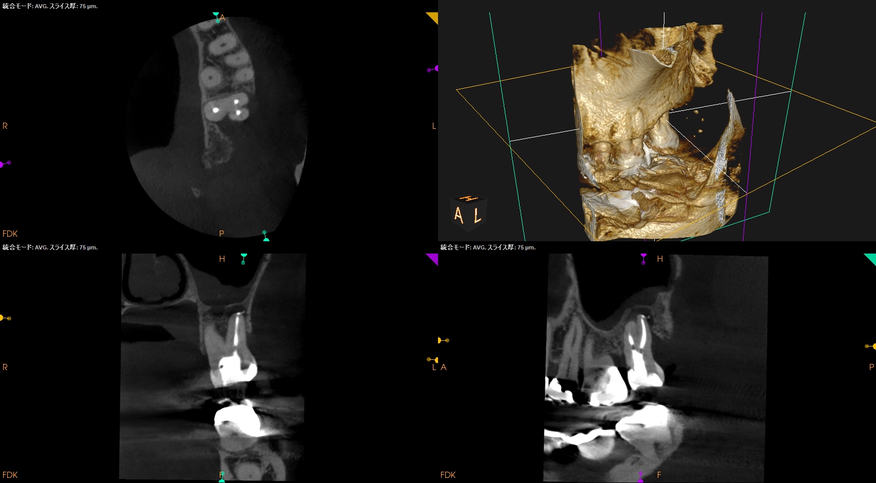
CBCT(2024.7.31)
MB
DB
P

根尖病変があり、上顎洞炎を呈している。
根管治療が必要だ。
Pre-op Endo Diagnosis(2024.7.31)
Pulp Dx: Pulp Necrosis
Periapical Dx: Symptomatic apical periodontitis
Recommended Tx: RCT
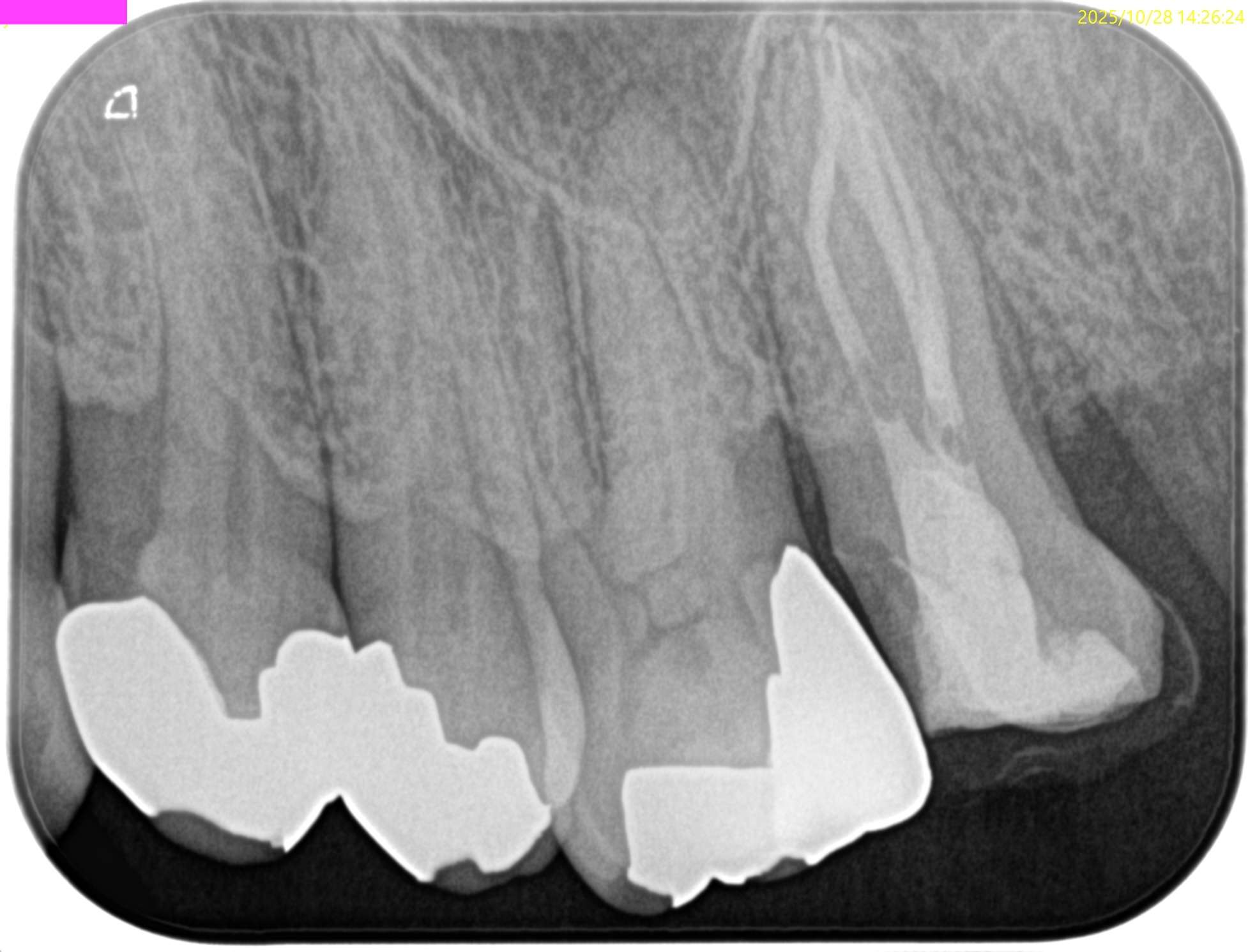
#15 RCT(2024.7.31)

術後にPA, CBCTを撮影した。


MB
DB
P

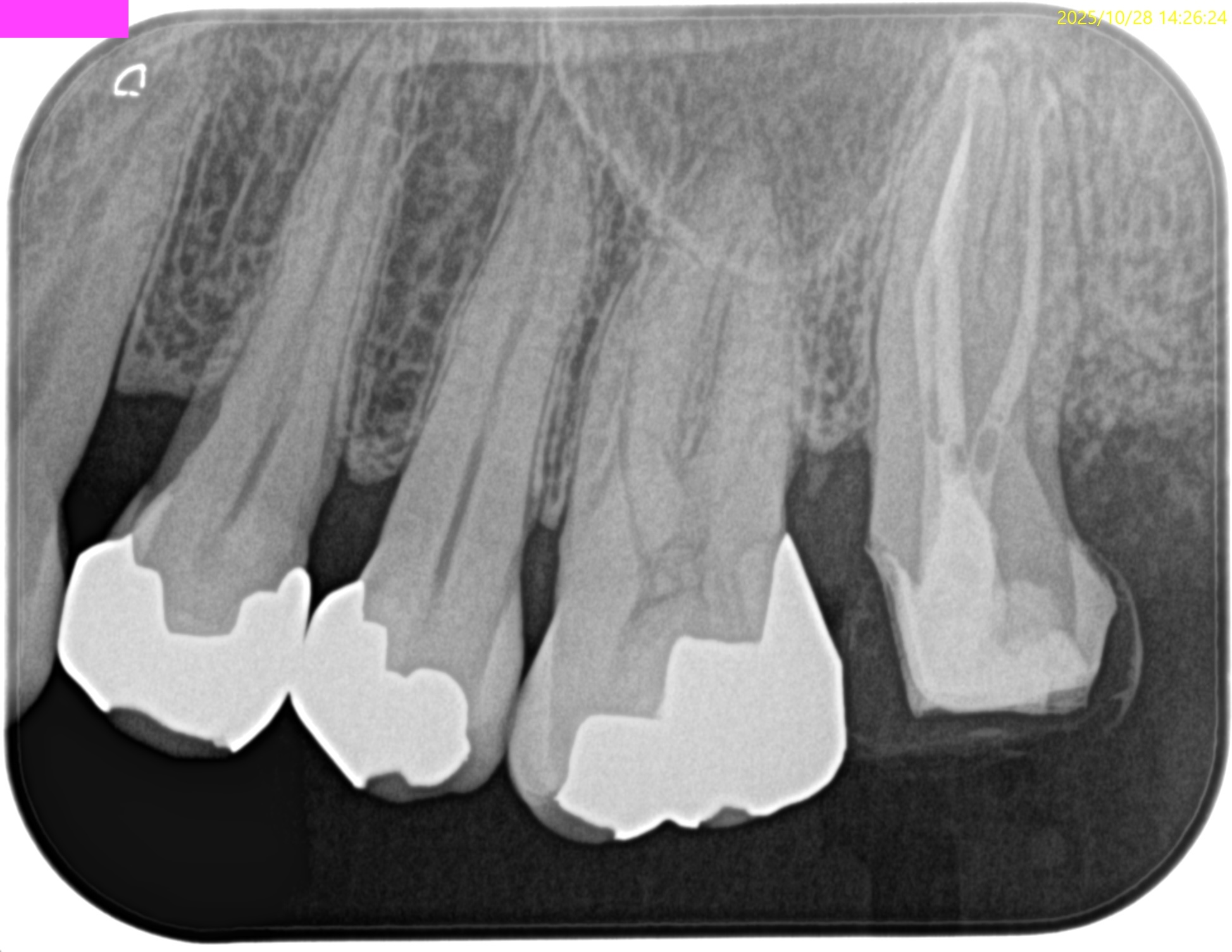
ここから1年が経過した。
#15 RCT 1yr recall(2025.10.28)



MB
DB
P

初診時と比較した。

根尖病変、
術前の臨床症状、
術前の歯周ポケット
は完治した。
最終補綴もOKだ。
この日で経過観察も終診とさせていただいた。
長い間、お疲れ様でした。







