紹介患者さんの治療。
主訴は、
他院でImplantの隣の歯が折れていると言われたが, なるべくは自分の歯を保存したい…
である。
Pre-op Endo Test(2026.2.2)

#29のMBに5mmの歯周ポケットがある。



#29には歯根を取り囲むJ-Shaped lesionがあり、歯根破折の可能性があることを惹起させる。
が、歯が本当に折れているかどうか?はその歯牙を抜歯し歯牙を直接精査するまでわからない。
ということで、同日にIntentional Replantationへ移行した。
Pre-op Endo Diagnosis(2026.2.2)
Pulp Dx: Previously treated
Periapical Dx: Symptomatic apical periodontitis
Recommended Tx: Intentional Replantation
☆この後、外科動画が出てきます。不快感を感じる方は視聴をSkipしてください。
#29 Intentional Replantation(2026.2.2)
ここから口腔外作業になる。
歯牙の破折はLight testをしても見当たらなかった。
逆根管形成し、逆根管充填したが、根管中央部に存在するのは穿孔だ。逆根充までしてその後に穿孔をBC Linerで封鎖した。
ここまでは通常の治療だが、ポケット5mmの理由を探さなくてはならない。
歯根を観察すると…

頬側近心部分に2箇所穿孔が見られた。
これが術前の歯周ポケット5mmとリンクしている可能性が高い。
同部をBC Linerで封鎖した。
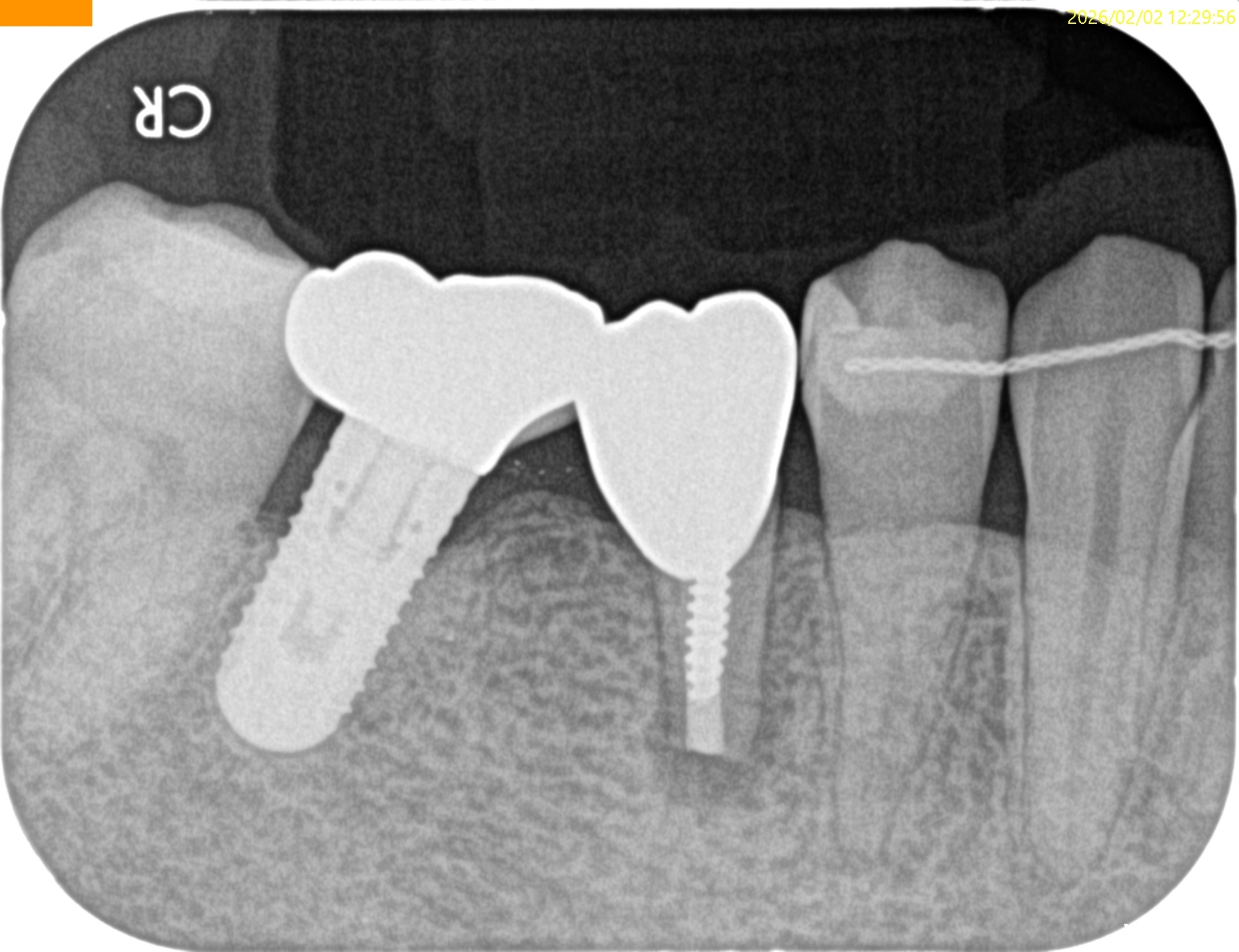
術後にPAを撮影した。

問題はないと思われる。
歯牙を再植した。
術後にPA, CBCTを撮影した。



問題はないだろう。
次回は1ヶ月後である。
またその予後をご紹介したい。