以前の治療の経過観察。
ここから半年経過した。
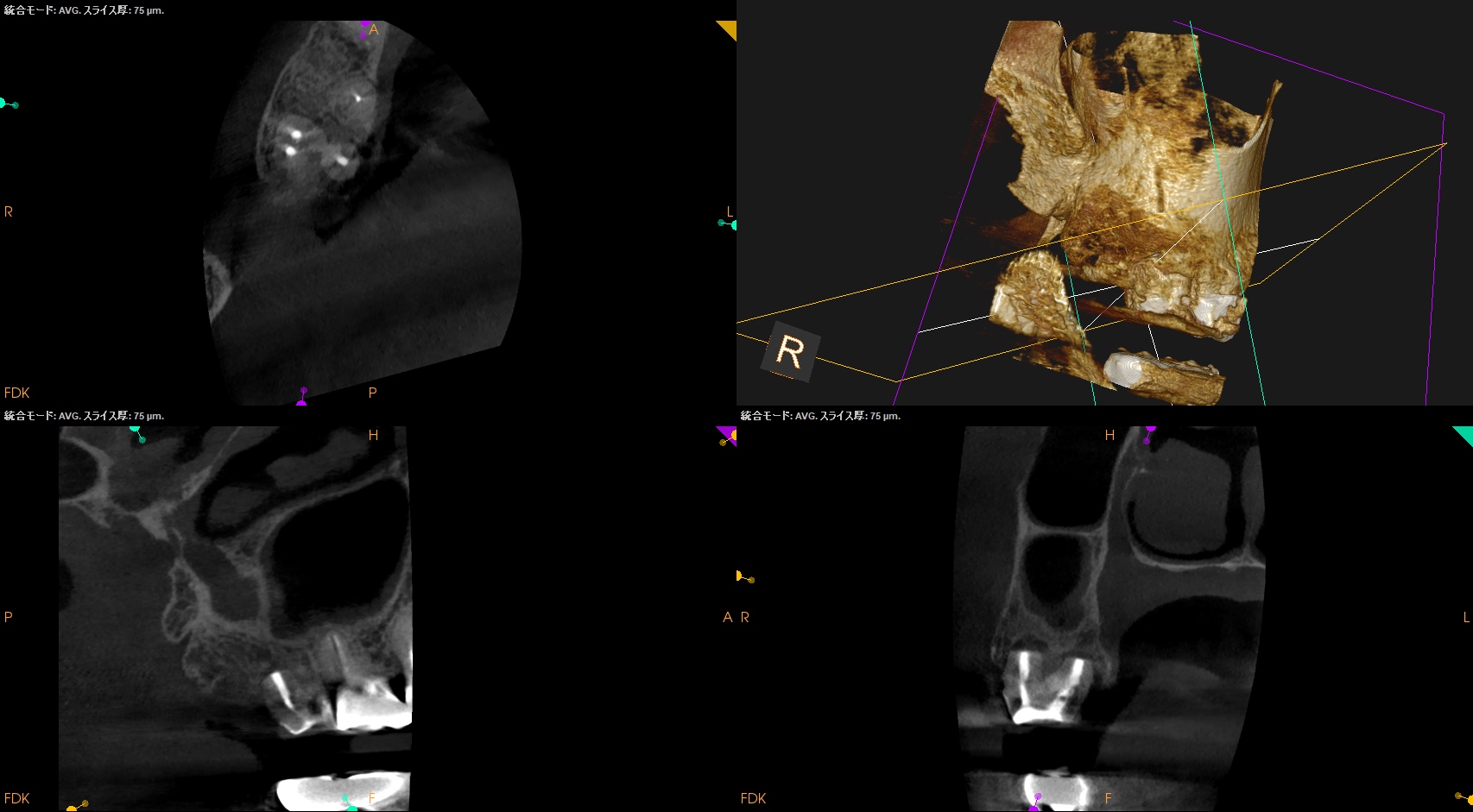
#2 Intentional Replantation 6M recall(2026.1.19)

歯牙の動揺度は生理的範囲内で歯周ポケットも深い部分がない。
最終補綴もOKだ。





術直後と比べて歯槽骨が回復し臨床症状も消失している。
最終補綴をかかりつけ医には依頼して次回は1yr recallだ。
またその模様をお伝えしたい。
Practice limited to Endodontics and Microsurgery〜福岡市博多区博多駅前3-13-4-2F TEL 092-409-8345 診療日 月〜金 10:00~16:00 休診日 土,日,祝
以前の治療の経過観察。
ここから半年経過した。

歯牙の動揺度は生理的範囲内で歯周ポケットも深い部分がない。
最終補綴もOKだ。





術直後と比べて歯槽骨が回復し臨床症状も消失している。
最終補綴をかかりつけ医には依頼して次回は1yr recallだ。
またその模様をお伝えしたい。