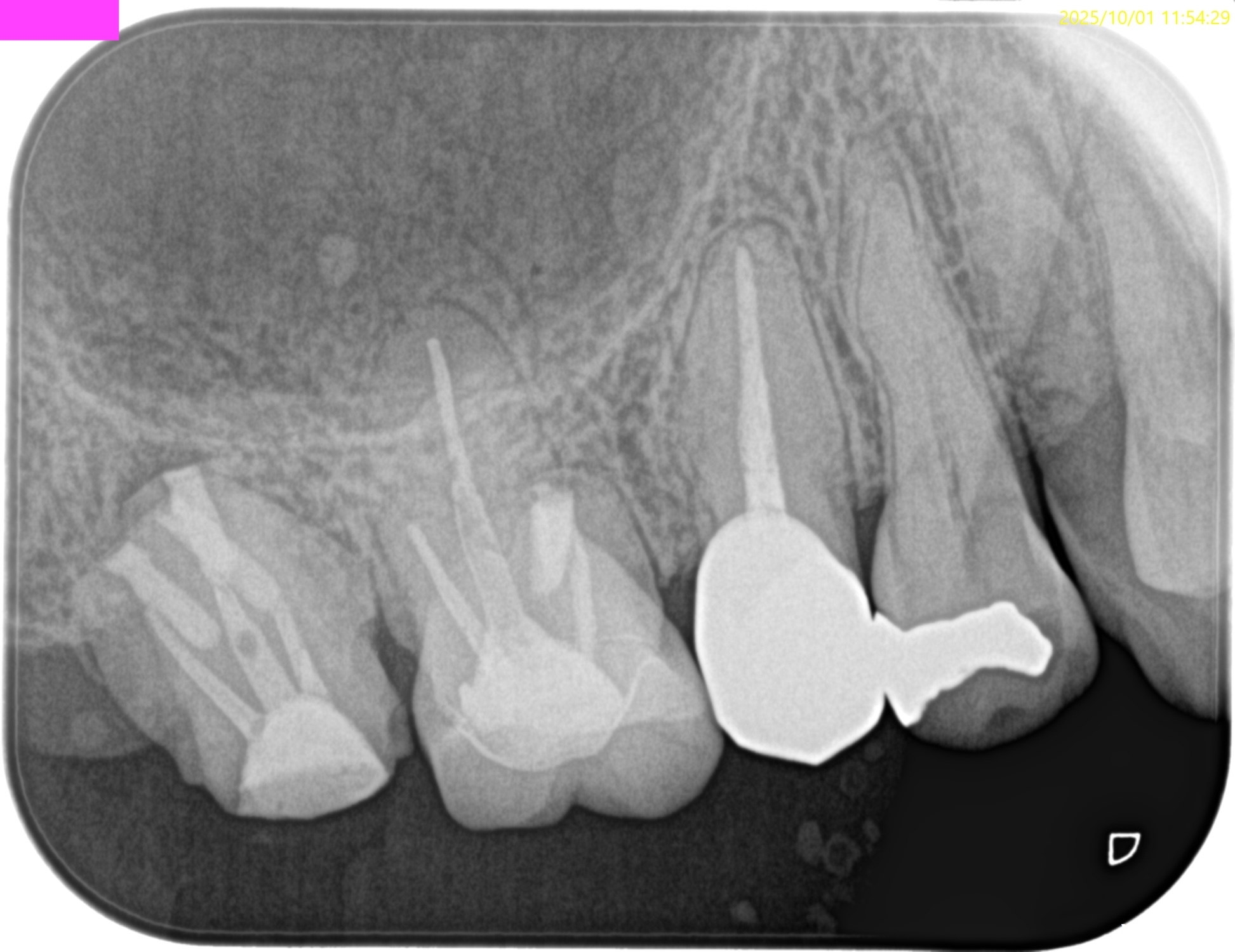
以前の治療の経過観察。
あれからさらに1ヶ月が経過した。
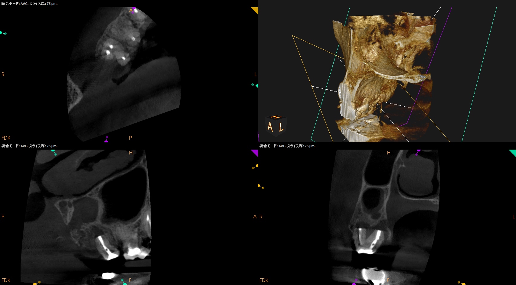
☆この後、検査動画が出てきます。不快感を感じる方は視聴をSkipしてください。
#2 Intentional Replantation 2M recall(2025.10.1)

痛みはないが若干、違和感がある程度に症状は軽減した。

MB
DB
P

臨床症状はないのでかかりつけ医の先生にはプロビジョナルレストレーションの装着を依頼した。
次回はさらに4ヶ月後の術後・半年後である。
またその模様をお伝えしたい。
Practice limited to Endodontics and Microsurgery〜福岡市博多区博多駅前3-13-4-2F TEL 092-409-8345 診療日 月〜金 10:00~16:00 休診日 土,日,祝
以前の治療の経過観察。
あれからさらに1ヶ月が経過した。
☆この後、検査動画が出てきます。不快感を感じる方は視聴をSkipしてください。

痛みはないが若干、違和感がある程度に症状は軽減した。




臨床症状はないのでかかりつけ医の先生にはプロビジョナルレストレーションの装着を依頼した。
次回はさらに4ヶ月後の術後・半年後である。
またその模様をお伝えしたい。