紹介患者さんの治療。
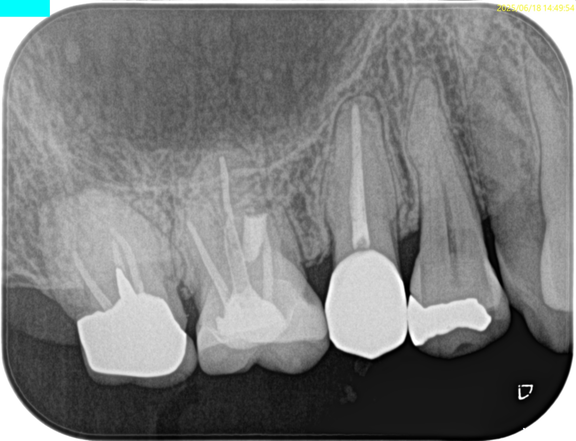
以前、#3 MB Apicoectomyしていた患者さんである。
他院で抜歯→インプラントと言われたが歯を保存したい…〜根尖病変のある根管のみをSelectiveに治療した #3 MB Apicoectomyとその1yr recall
Apicoectomyした#3は完治したが、#2にも症状があったため、この日に治療となった。
他院で、抜歯→Implantを宣告された歯牙の保存療法である。
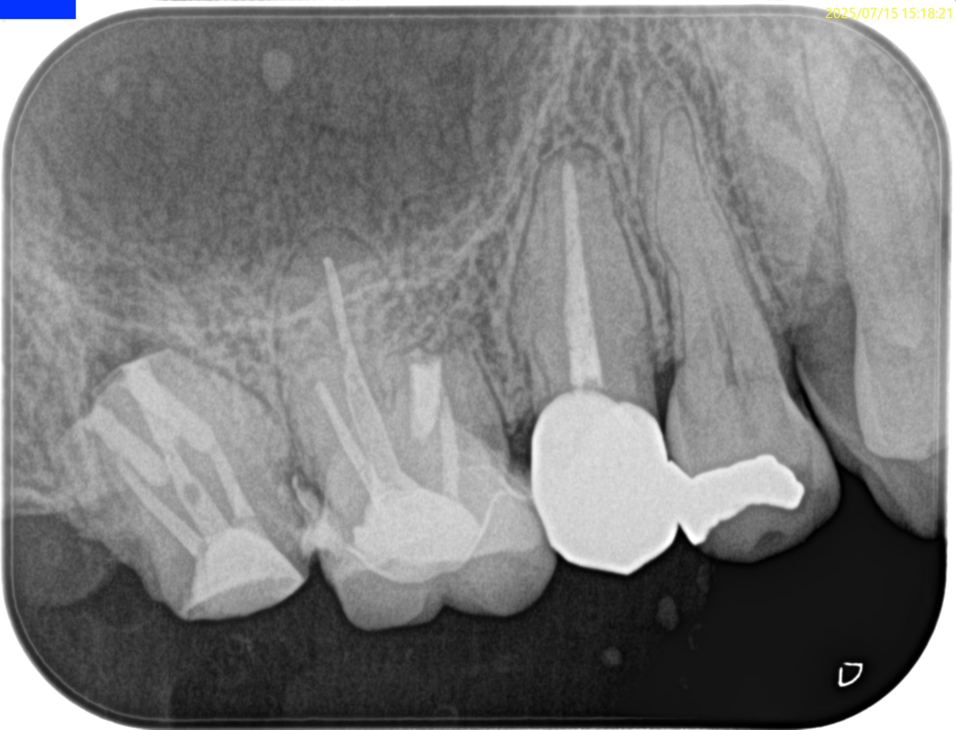
歯内療法学的検査(2025.7.15)


石灰化が進行し穿通が厳しい。
MB
DB
P

MB,DB,Pと全ての根管は石灰化している。
さらに悪いことには根尖病変がある。
ということで、この日にIntentional Replantationへ移行した。
歯内療法学的診断(2025.7.15)
Pulp Dx: Previously treated
Peiapical Dx: Symptomatic apical periodontitis
Recommended Tx: Core build up→Intentional Replantation
☆この後、外科動画が出てきます。不快感を感じる方は視聴をSkipしてください。
#2 Intentional Replantation(2025.7.15)
抜歯窩に落とし物のもなかった。
ラクスエータープラスで脱臼させて抜歯している。
だがそれらは本来は、脱臼させるための道具ではないが、これは生活の知恵だ。
最終的には抜歯窩を乗り越えてなんとか抜歯に成功した。
が、完全なパワープレーだ。
この際、私の頭によぎったことは何か?といえば、
根切・逆根充後の、再植行為自体が難しいだろうという予測だ。
スタッフにTooth Sloothを準備してもらうように伝えた。
口腔外でこの後は作業である。
メチレンブルーを使用して破折線がないか?精査した。
破折線はないようだ。
次に根切した。
この際の注意点は3mmも切断すると歯根がかなり短くなるため、1~2mm切断した。
その際に注意すべきはなるべく平行に切断するという必要がある。
さすれば、リークが少ない。
これも古典文献通りだ。

当該部位(メチレンブルーで青く染色された部分)を逆根管形成し、逆根管充填した。
術後にPAを撮影した。

問題はないだろう。
歯牙を抜歯窩に戻して再植するのだが、
上顎第一大臼歯のような歯根形態の上顎第二大臼歯を脱臼して抜歯しているためやはり抜歯窩へ戻らない。
Tooth Sloothを使用しても無理であった。
さあ。あなたならこのような時にどうやって再植するだろうか?
☆Intentional Replantation時に抜歯窩へ戻りにくい場合の再植方法
①Tooth Sloothで咬合させる
↓
②抜歯窩を削ってアンダーカットを除去し、戻し易くする
抜歯窩はしかし、削合してもいいのだろうか?
といえば、文献的には以下だ。
Andreasen 1981 Periodontal healing after replantation and autotransplantation of incisors in monkeys
そう。問題がないことがわかる。
抜歯窩を削合しても歯根表面の歯根膜さえ削合しなければアンキローシスは3.8%しか起きないのだ。
ということで、私は抜歯窩を削合する決意をするのだが、抜歯窩のどこを削合すればいいだろうか?
といえば、アンダーカットになっている要因を落とせばいいのである。
どこがその要因か?といえば、
①歯槽骨の中隔部分

②歯根を取り囲む抜歯窩の近遠心部分


であろう。
それぞれ削合した。すると…
抜歯窩に見事おさまった。
ここから学べることがある。
☆Intentional Replantation時に抜歯窩へ再植しづらい場合
①Tooth Sloothで咬合させて戻す
②それでも戻らない場合、抜歯窩のアンダーカット部分=歯槽中隔の歯槽骨と近遠心の歯槽骨を削合して戻す
という知見が学べることになる。
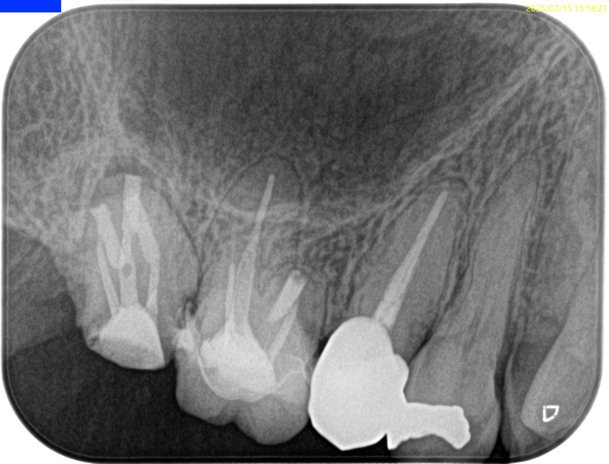
術後に口腔内PA, CBCTも撮影した。


MB
DB
P

ということで問題が客観的にないことがわかる。
最後に咬合を落として終了した。
が、この2日後に治療した部分が痛い…
と連絡があった。
しかし、それに対する対処法は歯牙を保存するのであればないのが現実問題だ。
つまり、嵐が過ぎるのを待つしかない。
ロキソニンを追加で送付した。
という苦難?を経て、改めて1ヶ月後に経過観察した。
歯牙に動揺がないか?を確認する目的でもある。
#2 Intentional Replantation 1M recall(2025.8.20)
歯牙に動揺はない。
痛みも電話の後、消失したという。
が、このケース以上に重要なことがある。
それは、
根管充填も、Intentional Replantationも、嵌めたい(充填したい)物を穴に嵌めようとすれば、はまる場所が嵌めたいものよりも大きくなければ、はまらない
という臨床的事実だ。
これらは重要な知見かもしれない、とか偉そうに言っているがそれは自然界の普遍の真理ではないだろうか?と思うのは私だけだろうか?
さておき、かかりつけ医の先生にはプロビジョナルレストレーションの装着を依頼した。
次回はさらに1ヶ月後である。またその模様をお伝えしたい。



