紹介患者さんの治療。
主訴は、
治療した歯に物が詰まる。歯茎もいつも腫れている感じがする…
である。
歯内療法学的検査(2025.8.22)
#11 Cold+1/1, Perc.(-), Palp.(-), BT(-), Perio Probe(WNL), Mobility(WNL)
#13 Cold N/A, Perc.(+), Palp.(-), BT(±), Perio Probe(WNL), Mobility(WNL)
#14 Cold+3/4, Perc.(-), Palp.(-), BT(-), Perio Probe(WNL), Mobility(WNL)
打診痛と咬合痛があるようなないような…という#13が患歯だろう。
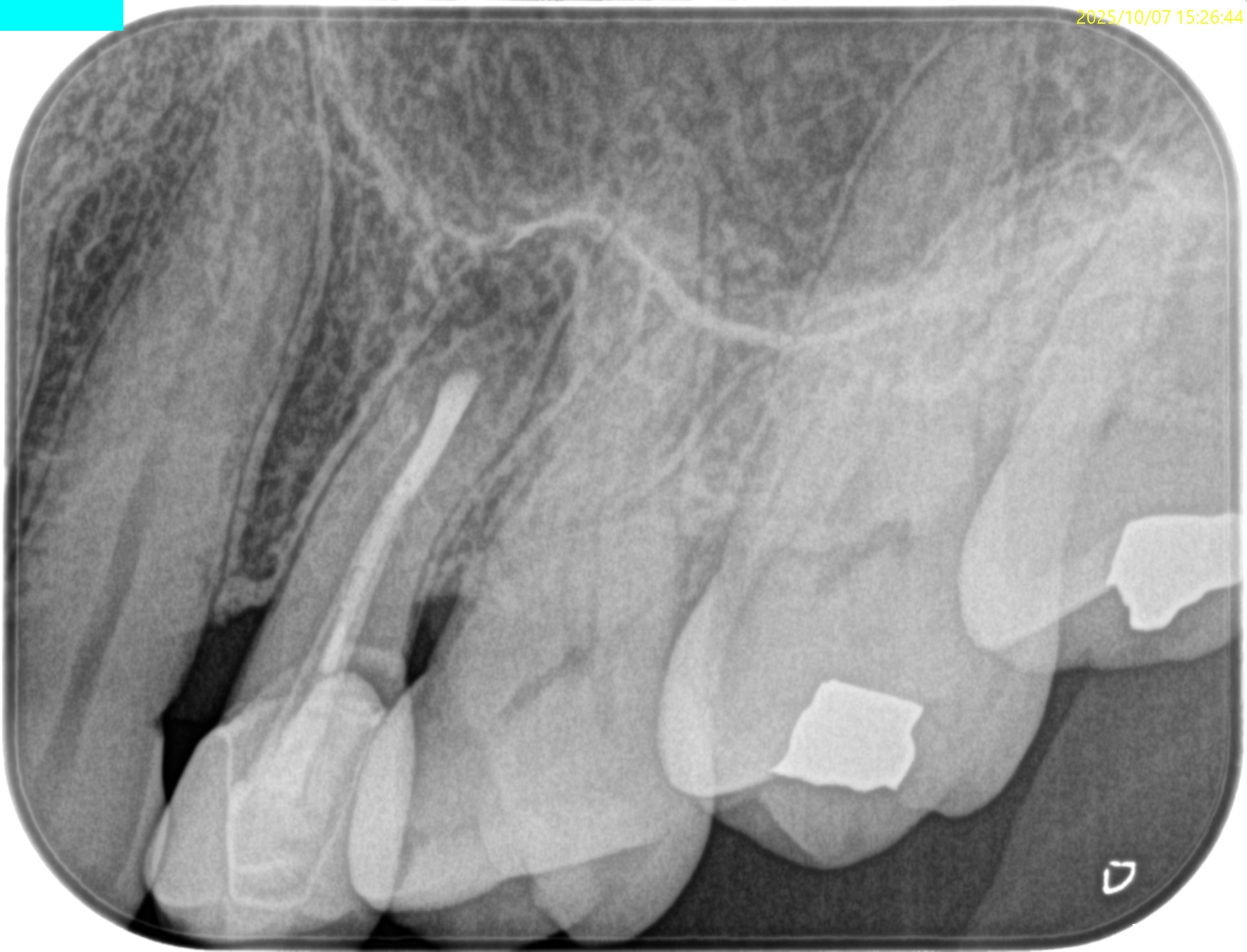
PA(2025.8.22)
もの詰まりはこの#13の遠心の築造体が剥き出しのマイクロリーケージであろう。
CBCT(2025.8.22)
#13 遠心のマージンが歯肉縁下でクラウンが不適合だ。ここにものが詰まるようだ。
これが患者さんの主訴である。
また、根尖病変があり根管形成・根管充填が太くなされていることからApicoectomyへ移行することになった。
外科後に補綴をやり直したい
と希望されたのでその流れで治療を進めていくことになった。
さて外科治療であるが、

それほど難しいものではないだろう。
なぜそんなことがわかるのか?その理由は、
Advanced Course 2026
に出ればわかる。
歯内療法学的診断(2025.8.22)
Pulp Dx: Previously treated
Periodical Dx: Asymptomatic apical periodontitis
Recommended Tx: Apicoectomy→Core build up with Fiber Post
⭐︎この後、外科動画が出てきます。不快感を感じる方は視聴をSkipしてください。
#13 Apicoectomy(2025.10.7)
私には歯根が透けて見えるが、皆さんはどうだろうか?
思しき部位をOsteotomyした。
すると、Apexが顔を出したので3mm Root resectionした。
メチレンブルーで染色後にRetroprep, Retrofillした。
術後にPA, CBCTを撮影した。




問題はないだろう。
縫合して終了した。
次回は1年後だ。
また後日、その模様をお伝えしたい。



