紹介患者さんの治療。
主訴は、
白い歯を入れた歯の歯茎がジンジンして痛い。。。
である。
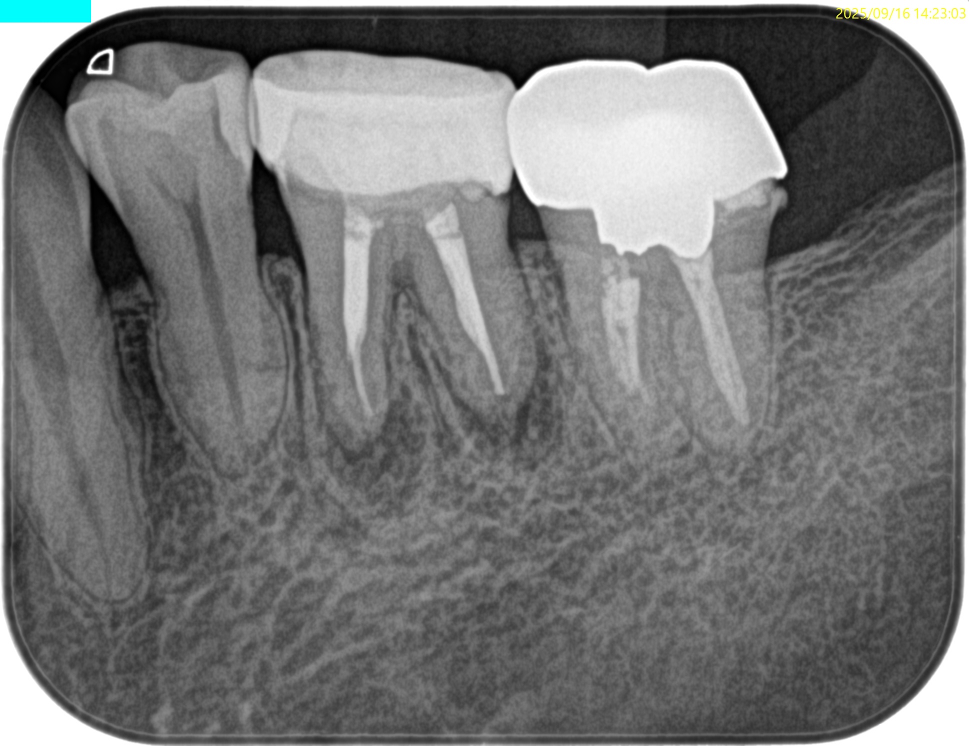
歯内療法学的検査(2025.9.16)

PA(2025.9.16)

CBCT(2025.9.16)
MB
ML
D

MにもDにも病変がある。
B

頬側の骨がない。
これが圧痛に対する反応の原因だ。
歯内療法学的診断(2025.9.16)
Pulp dx: Previously treated
Periapical dx: Symptomatic apical periodontitis
Recommended tx: Re-RCT
別日に治療へ移行した。
☆この後、治療動画が出てきます。不快感を感じる方は視聴をSkipしてください。
#19 Re-RCT(2025.10.6)
まず除冠するが、以下のようになった。
除冠したレジン冠にコアが付着して塊で除去できた。
が、本来は望ましくないことだ。
なぜか?といえば、
前医はラバーダムを使用してない
からだ。
ラバーダムをしないレジン充填は容易に脱離する。
そうそれは、
まさに砂上の楼閣だ。
過去記事にもそうした類のことがあるのを皆さんは覚えているだろうか?
右下奥歯の歯茎が腫れた。柔らかいものでも噛むと痛い…他院では、歯牙が割れていると言われた。が、抜歯はしたくない。何とか保存できないだろうか?〜#28 Intentional Replantation
再根管治療は以下のように作業した。

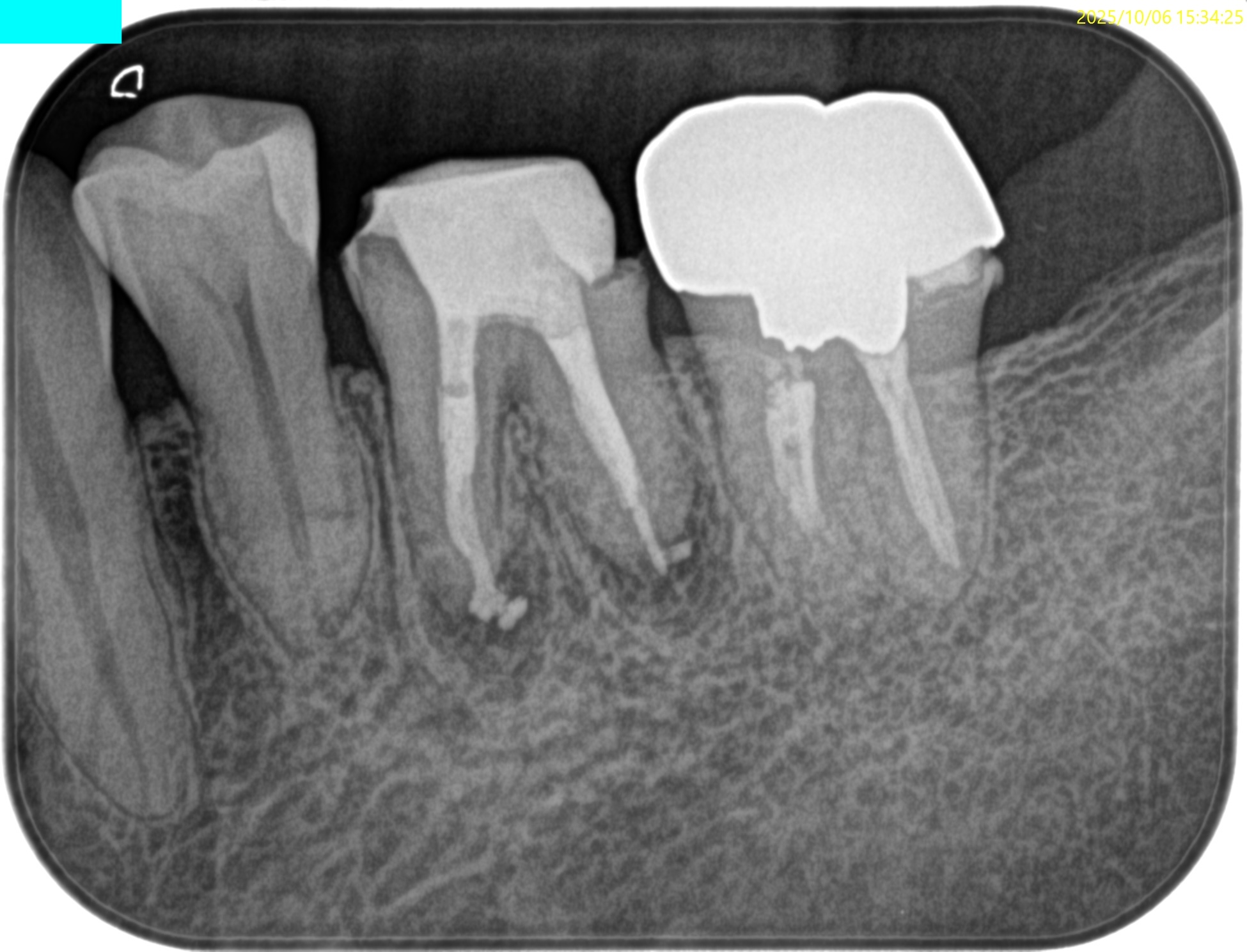
術後にPA, CBCTを撮影した。


MB
ML
D

B

次回は半年後である。
またその模様をお伝えしたい。



