紹介患者さんの治療。
主訴は、
右下被せたばかりの歯が痛い…
である。
患者さんの話によれば、
今までの根管治療は何度か通院したが痛みは取れなかった
という。
が、痛みが軽度になったので最終的には被せたそうだ。
が、そこに再び問題が起きている。
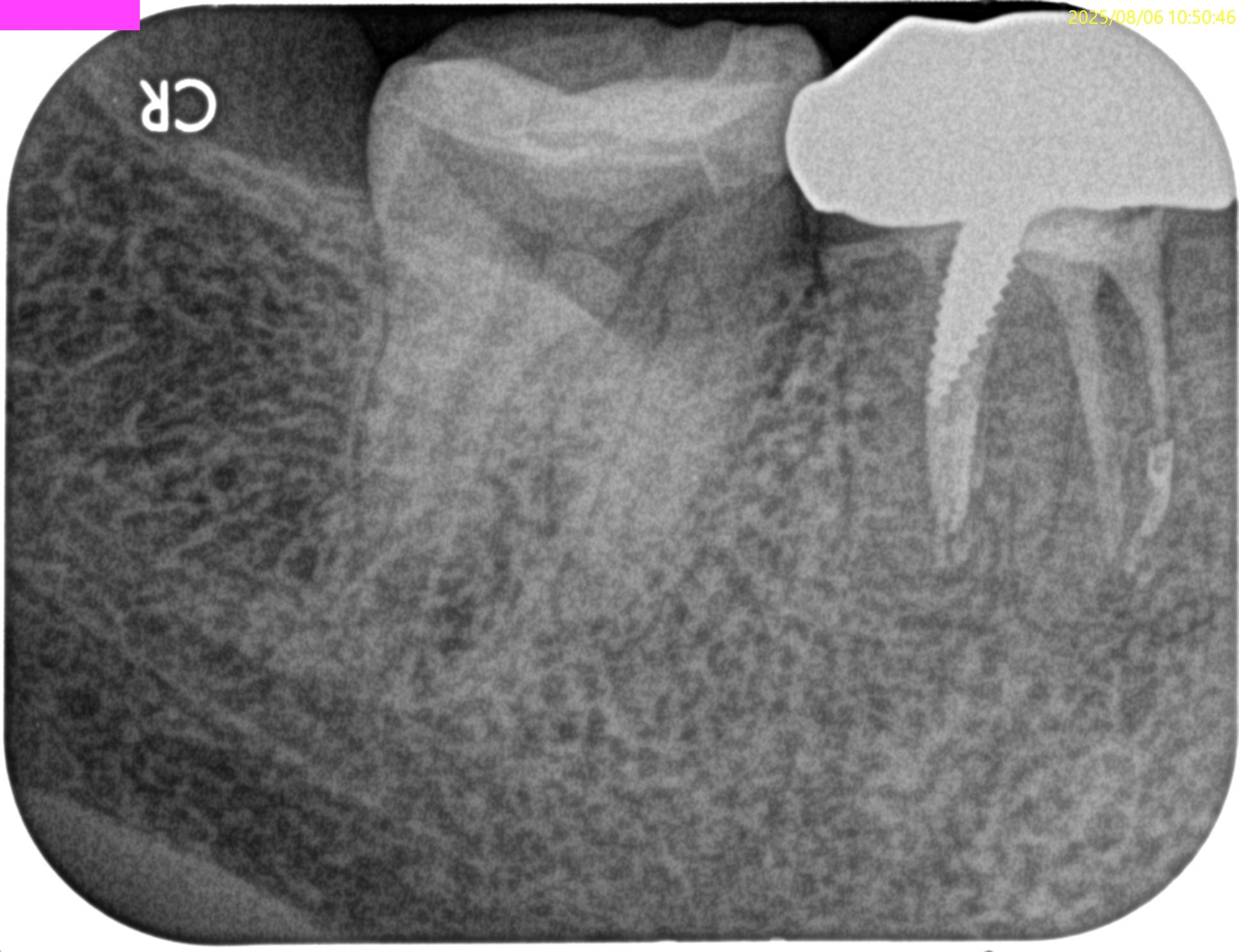
歯内療法学的検査(2025.8.6)
#29 Cold+1/1, Perc.(-), Palp.(-), BT(-), Perio Probe(WNL), Mobility(WNL)
#30 Cold N/A, Perc.(+), Palp.(-), BT(+), Perio Probe(WNL), Mobility(WNL)
#31 Cold++1/3, Perc.(+), Palp.(-), BT(-), Perio Probe(WNL), Mobility(WNL)
PA(2025.8.6)

#30には不完全な根管治療が、
#31には歯髄に近接する生活歯髄療法がなされている。
臨床症状から考えると、それぞれ根管治療が必要だろう。
CBCT(2025.8.29)
#30
MB
ML
D
#31
MB
ML
MBとML,どちらがストレートか?と言えばMLの方だろう。
MLをメイン根管にしてMBはそこに合流するという風に形成・根充すべきだろう。
D

歯内療法学的診断(2025.8.29)
#30
Pulp Dx: Previously treated
Periapical Dx: Symptomatic apical periodontitis
Recommended Tx: Re-RCT
#31
Pulp Dx: Symptomatic irreversible pulpitis
Periapical Dx: Symptomatic apical periodontitis
Recommended Tx: RCT
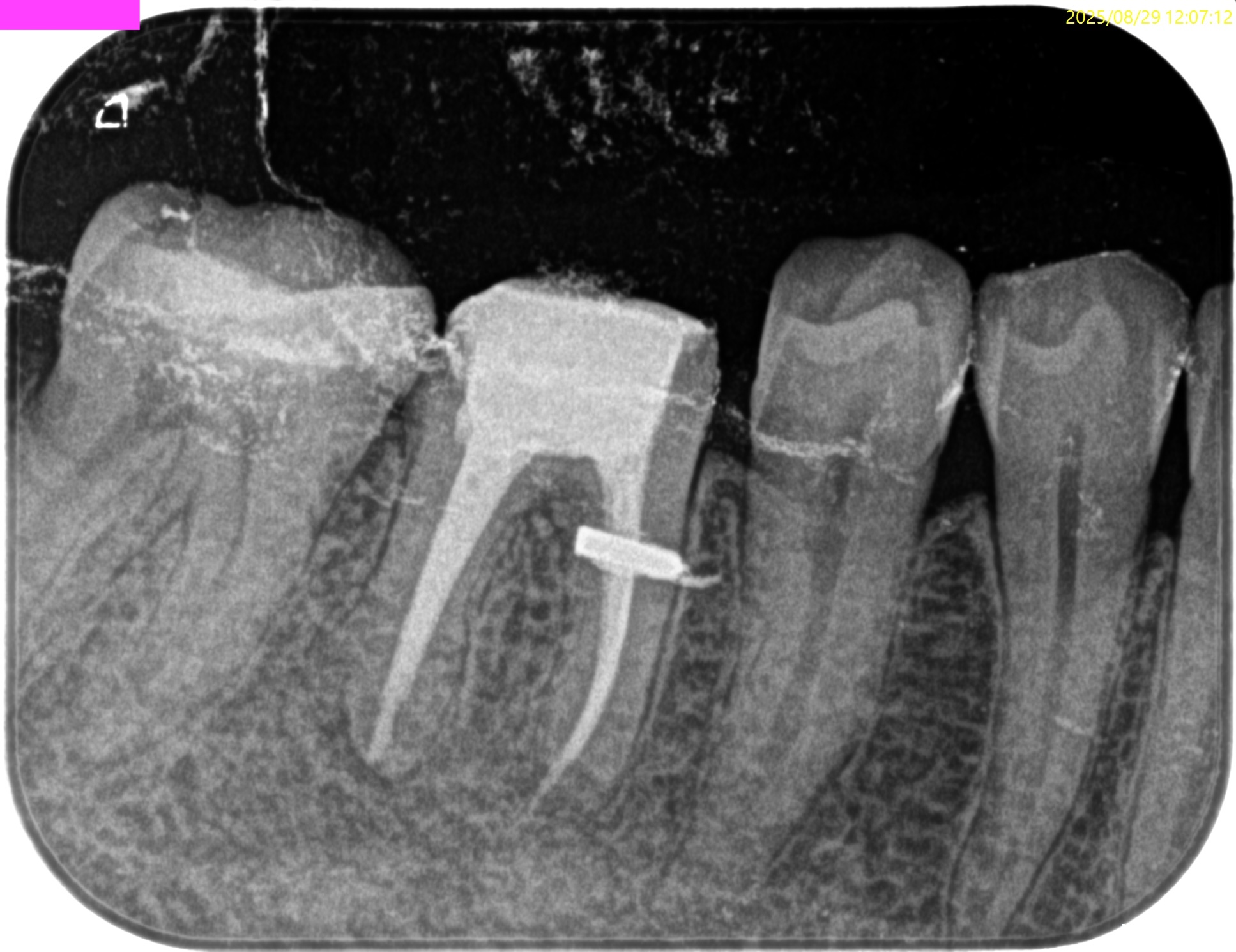
同日、#30の再根管治療へ移行した。
#30 Re-RCT(2025.8.29)
まず既製ピンを除去する。
その方法は動画を参考にされたい。
その後、Gutta Percha Pointの大部分を超音波で、またレジンコアを短針で突いて除去した。
根尖部にGutta Percha Pointが残っているじゃないか!と言うあなた。
それを完全に除去することは文献上、不可能なのですよ。
詳細を知りたい方は、
Basic Course 2026
でお待ちしています。
この後、C-solutionと併用して作業長を測定した。
まずDからである。
K 25で穿通した。
ということは…HyFlex EDM #25は使用できないであろう可能性が高い。
次にMLにファイルを挿入するが穿通しなかった。
MBにファイルを挿入する。
この際、Gutta Percha Pointを除去するファイルも超音波とともに使用している。
これに関しては過日、自分の意見をすでにまとめている。
クロロホルム(C-solution)を使用するのは害悪か?+Gutta Percha Point除去のNi-Ti Rotary File, 何がベスト?!〜#3 Re-RCT
MBはK#20で穿通した。
以下のように形成・根充している。
術後にPA, CBCTを撮影した。


MB
ML
D

次回は半年後である。
痛みが取れれば、問題は解決する。
またその模様をお伝えしたい。








