今日は、多くの臨床家に麻酔をどのようにして患者に効かせるか?という話をテーマに記事を書いていこうと思う。
下顎大臼歯をあげて説明したい。
参考図書は以下だ。

Successful Local Anesthesia For Restorative Dentistry and Endodontics
これによれば、下顎大臼歯は以下のように麻酔を行うことが推奨されている。
1. 下顎孔伝達麻酔
2. 頬神経ブロック
3. 浸潤麻酔
4. Cold Test
5. Cold testに反応すれば、0.2~0.5ml 歯根膜麻酔(即効性あり。効かなければ再度、歯根膜麻酔)
6. それでも作用しなければ、歯槽骨麻酔(即効性あり。効かなければ再度、歯槽骨麻酔。キシロカインを使用するとドキドキするのでスキャンドネストがベター?)
7. 以上でも効かなければ、髄腔内麻酔(即効性あり。ただし根管ごとに髄腔内麻酔が必要)
上記のゴムの意味がわかる人は、もう歯内療法に慣れた?人だろう。
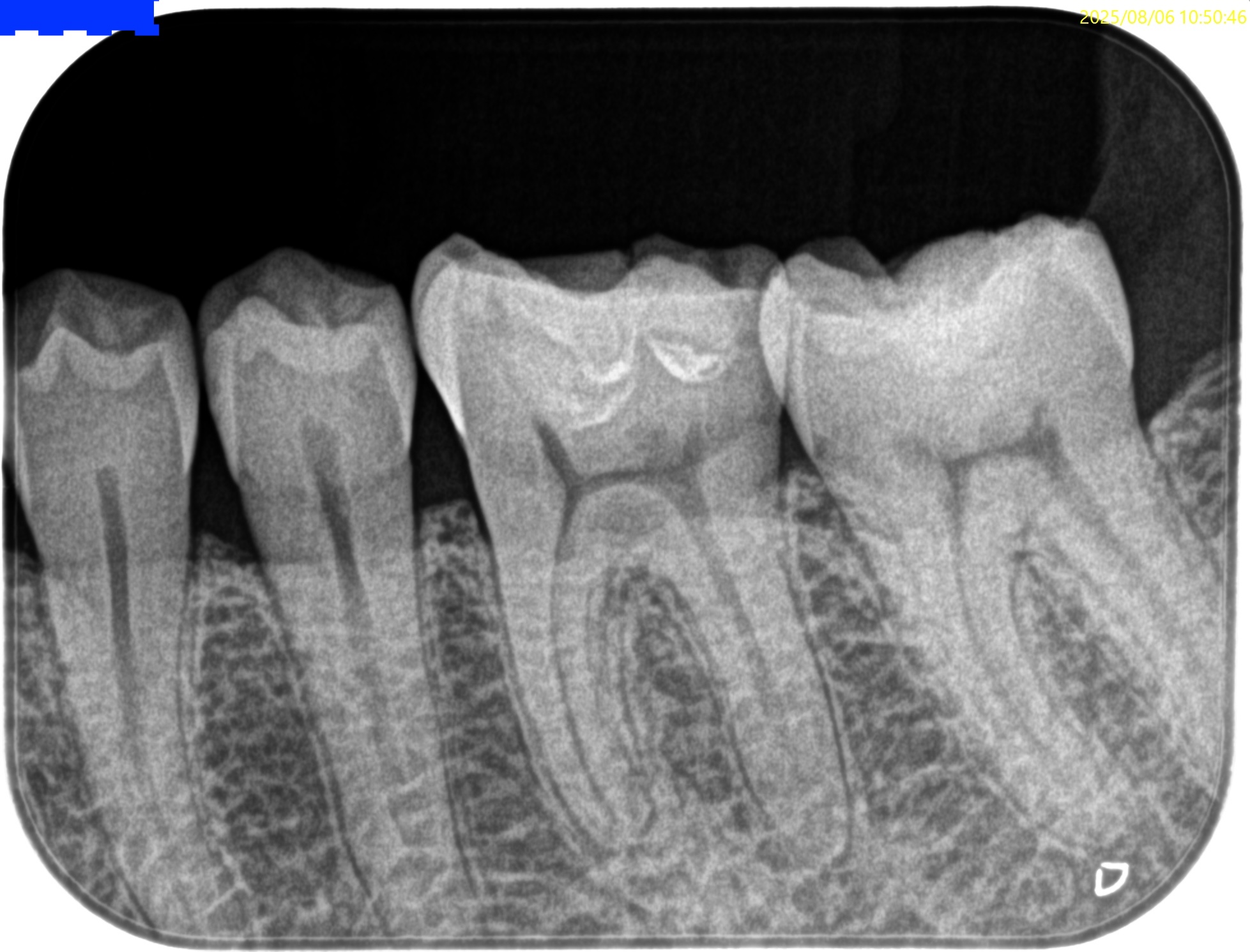
参考ケースは以下だ。





Dにはほぼ歯髄に修復物が覆いかかっている。

これは、
Asymptomatic irreversible pulpitisの可能性が高いだろう。
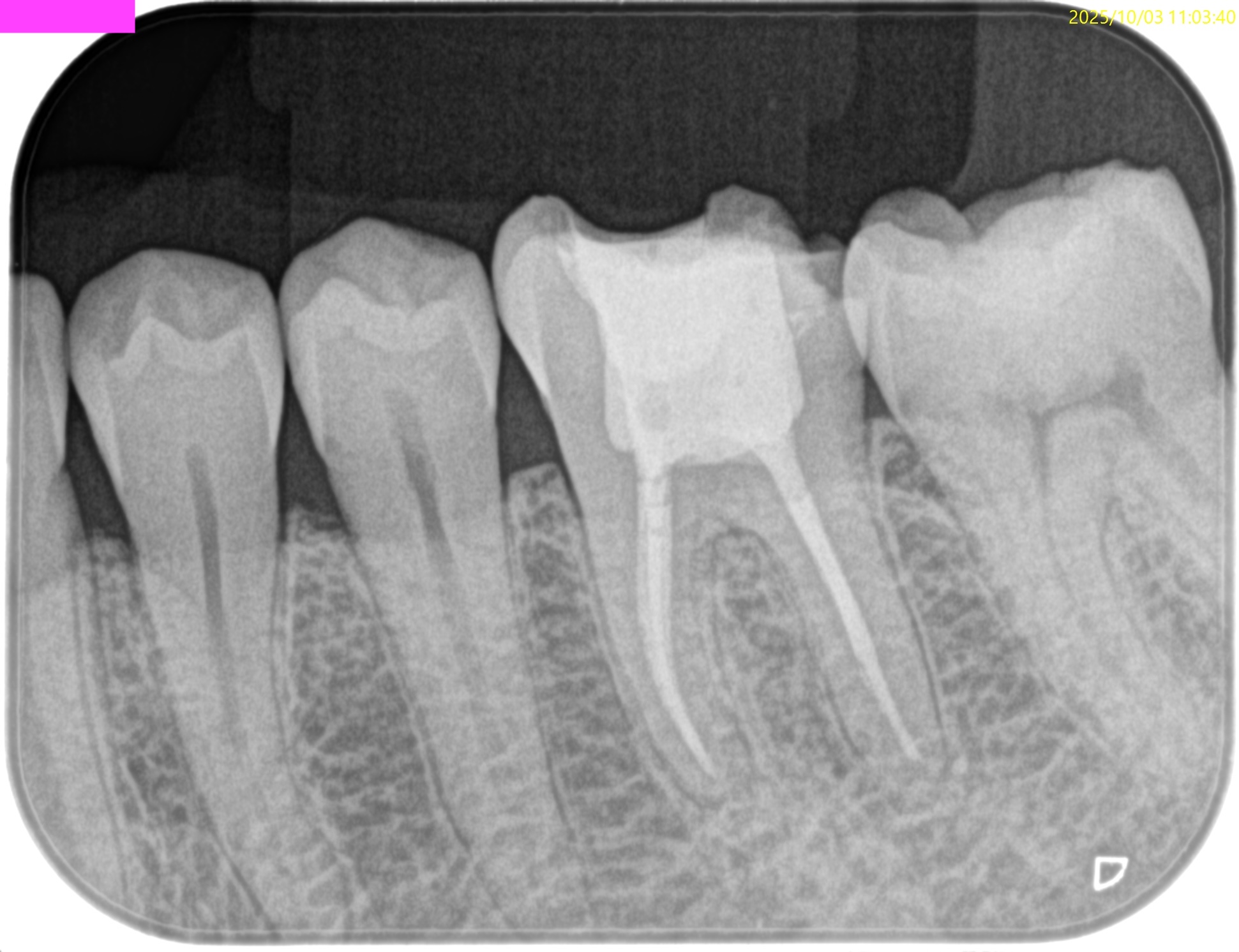
チャンバーオープンした。

やはり血まみれだ。
以下のように根管形成した。






ということで今日は麻酔の話であった。