紹介患者さんの治療。
主訴は、
前歯で硬いものを噛むと痛い…
である。
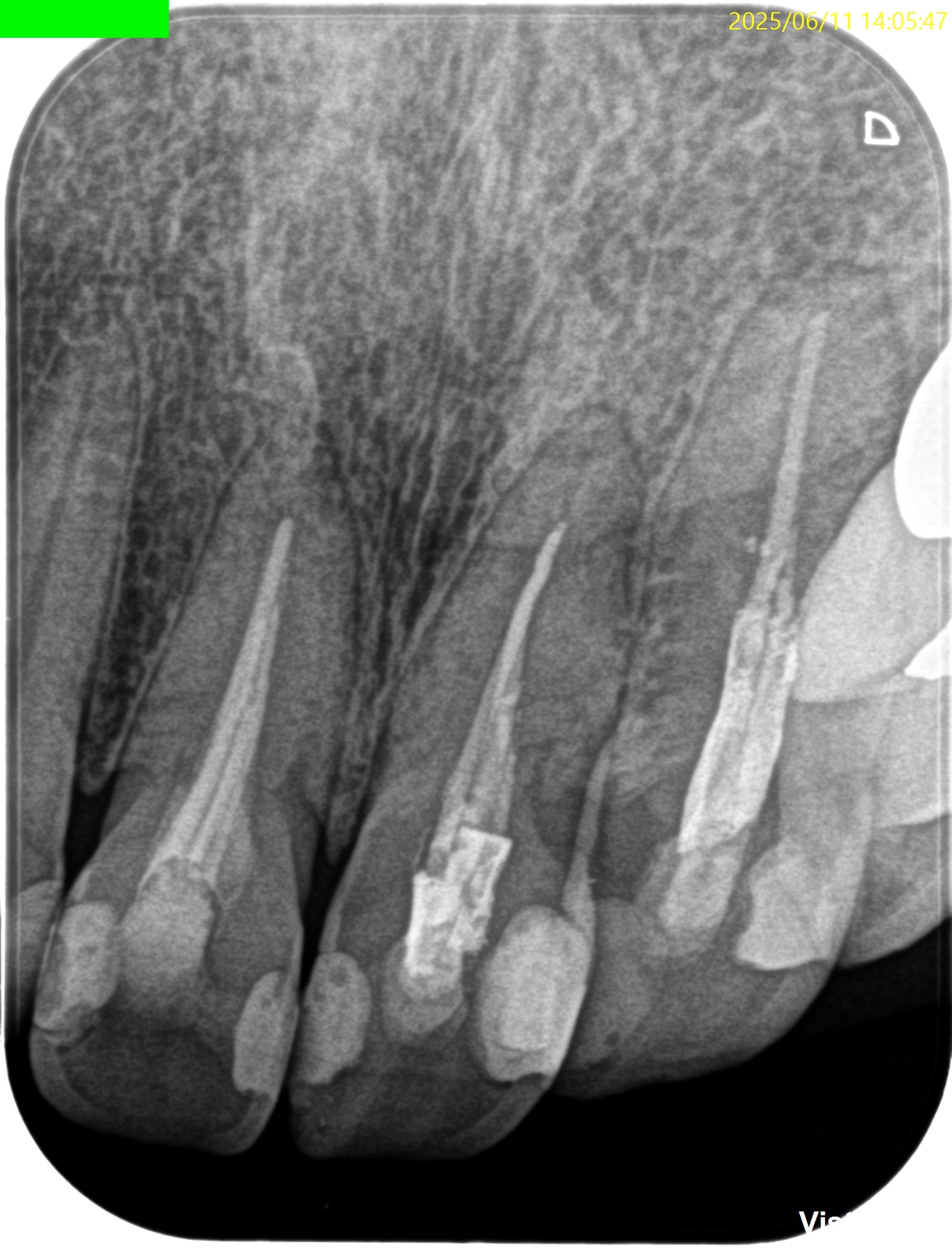
Pre-op Endo test(2025.6.3)

PA(2025.6.3)

#8,9,10ともに全く根管治療が不適切としか言いようがない。
#8はForamen付近の形成が太そうだ。
CBCT(2025.6.3)

#8はApexが歯槽骨からはみ出ている。
PA所見から考察するに、再治療よりも外科治療だろう。
Pre-op Endo Diagnosis(2025.6.3)
Pulp Dx: Previously treated
Periapical Dx: Symptomatic apical periodontitis
Recommended Tx: Apicoectomy
別日に治療が行われた。
☆この後、外科動画が出てきます。不快感を感じる方は視聴をSkipしてください。
#8 Apicoectomy(2025.6.11)
Submarginal FlapでOpeを行った。
OsteotomyしてApex-3mmを切断した。
逆根管形成した。
逆根管充填した。
PA, CBCTを撮影した。




縫合して終了した。
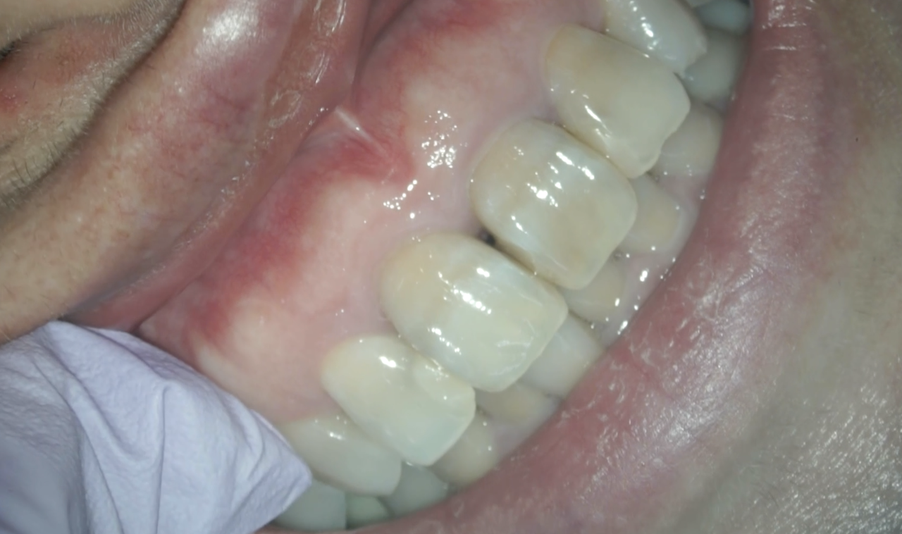
この後、患者さんの都合で早いが2日後に抜糸に来院された。


見た目は痛々しい。。。
この後、#9,10を再根管治療し、#8,9,10を支台築造した。

ここから半年時間が経過した。
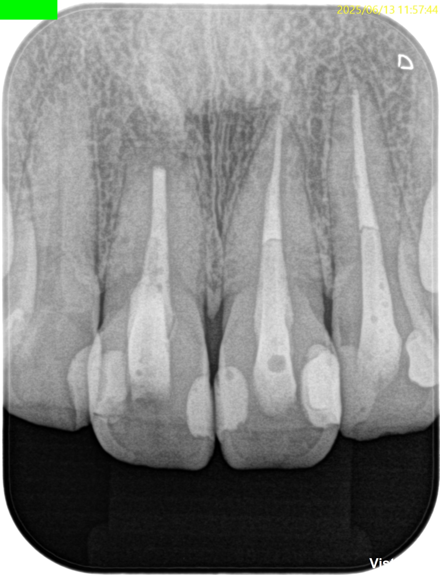
#8 Apicoectomy 6M recall(2025.12.2)


うっすらだが瘢痕が見える程度で審美的には気にならないという。
PA, CBCTを撮影した。



初診時と比較した。

劇的に状況は改善している。
#8,9,10に最終補綴もOKだろう。
次回はさらに半年後の1yr recallである。
またその模様をお伝えしたい。

