紹介患者さんの治療。
主訴は、
iPhoneを歯に落とした歯の神経が死んで治療が必要だと言われた。
である。
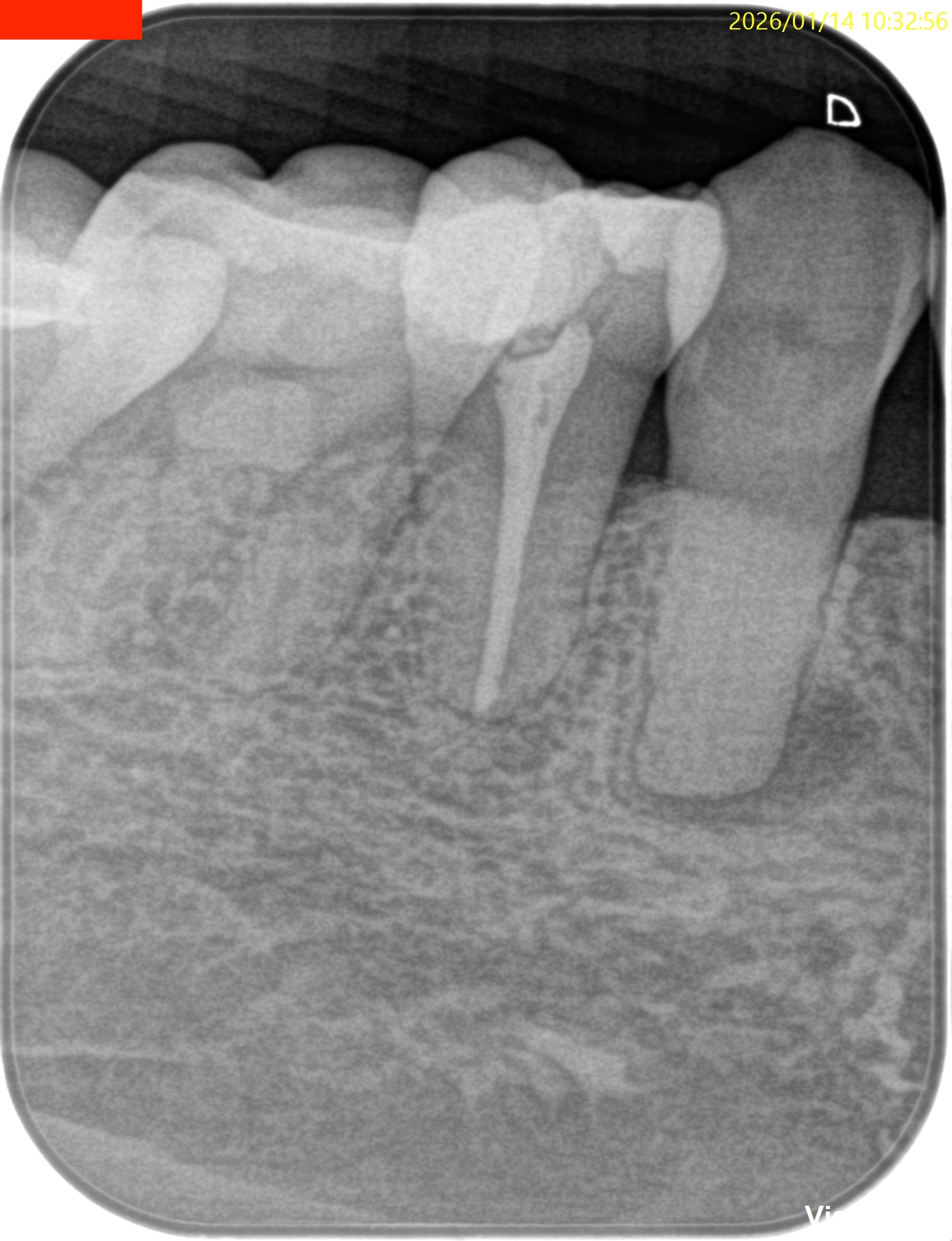
Pre-op Endo test(2026.1.14)




iphoneが就寝前に歯に落ちてきたという。
同じような案件がUSC時代にもあったのを思い出す。
さておき、外傷が歯に起きると歯髄のある根管が石灰化する。
これで根管治療ができるだろうか?
必ず穿通するという御仁がこの世にはいるが私から言わせれば、
開かなければ無理せずに外科治療へ移行すればいいではないか
ということである。
つまり、
歯内療法は外科的歯内療法ができなければ完結しない
ということがここからもわかるだろう。
外科治療に精通したい、あなた、
Advanced Course 2026
でお待ちしています。
ということで、同日に根管治療へ移行した。
☆この後、治療動画が出てきます。不快感を感じる方は視聴をSkipしてください。
#27 RCT(2026.2.9)
根管治療だがCBCTによれば、

切端からApexまで約25mmだ。
切端を削れば露髄するはず?である。
が、根管は硬かった…。。。
ということで窩洞をレジンで充填し、Intentional Replantationへ移行した。
☆この後、外科動画が出てきます。不快感を感じる方は視聴をSkipしてください。
#27 Intentional Replantation(2026.2.9)
犬歯の抜歯は根尖病変があるものの脱臼作業なしでは成り立たないだろう、ということがこのケースからもわかる。
この後、抜歯窩を精査し口腔外作業へ移行する。
破折はない。
根尖部を3mm切断した。
逆根管形成・逆根管充填した。
PAを撮影した。

問題はないだろう。
抜歯窩を生食で洗浄し、再植した。
術後にPA, CBCTを撮影した。



次回は1ヶ月後である。
またその模様をお伝えしたい。
