紹介患者さんの治療で#21 RCTを依頼された。
検査は以下だ。
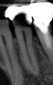
Pre-op Endo test(2026.2.10)




DL部分に直覆的な治療をした痕跡があるので、

歯髄が石灰化している。
穿孔を引き起こさせかねない歯牙だ。
こういう場合は、
バーを舌側に傾けて歯牙に平行に切削すると露髄することがわかる。
が、これがなかなか難しい。
が、術前にCBCTを撮影すればどこに気をつけるべきか?はあらかじめ判断ができる。
ということで同日、治療へ移行した。
#21 RCT(2026.2.10)
穿通後に#40.04まで形成するが…
ペーパーポイントに出血が見られたため、#60.02までサイズアップした。
その理由は↓記事参照されたい。
以下のように作業した。

術後にPA, CBCTを撮影した。



問題はないだろう。
根尖病変はないので最終補綴OKである。
次回は1年後に経過を見ていく。
またその模様をお伝えしたい。