先日は上顎第2大臼歯のMB2に対する対応方法を記事にした。
今日はこれが上顎第1大臼歯の場合はどうか?をケースを交えて解説したい。
以下のような患者さんが来られた。
主訴は、
他院で根管治療が必要だと診断されたがその治療内容に納得がいかなかったので受診しました
である。
何が納得できなかったか?というと、
現在通っている歯医者(東京)で根幹治療と言われました。
通院治療が始まり3回行きましたが今後どんなふうに治療してもらえるのかちゃんとした説明がなく次回診療までに間を空けないで来るようにとだけは言われとても不安になりました。
最初回数を聞いたところ5回から6回で終わると言われました。
どうも治療時間が短いし, おかしいなと思い先日行った時, 意を決してもう一度回数を尋ねたところ15、6回と言われびっくりしました。
保険診療なのだとわかりました。
ネットで調べたところ今神経を探しているところに該当するようです。
レントゲンで神経を見ました。
レントゲンには注意をしずっと避けてきましたが歯医者では仕方がないと撮りましたがこのままいつ何回撮られるかもわからず通院するのはやめたいです。
である。
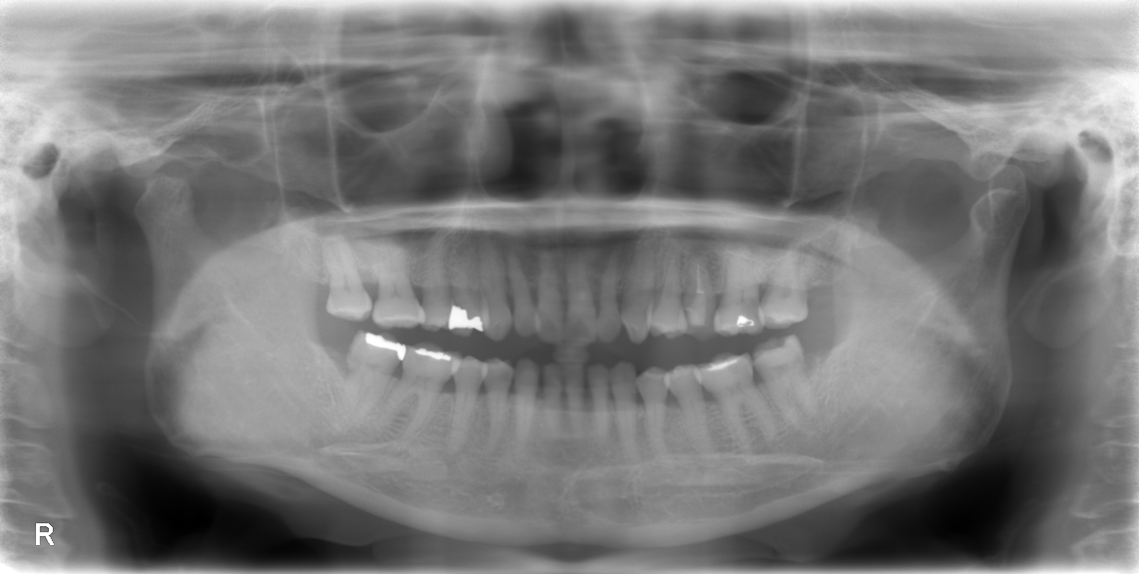
患者さんにいただいたレントゲンは以下である。

画質の悪いパノラマ写真だ。
これで根管の何を判断できるというのだろうか?
私には皆目見当がつかない。
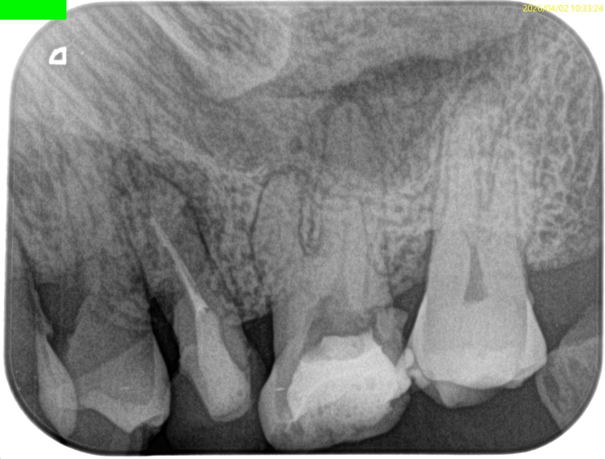
Pre-op Endo test(2026.4.2)



このPA2枚でみても、東京の歯科医院の担当者は根管口さえ発見していないという臨床的事実がわかる。
これは言葉は悪いがまさに…
手遊び
だ。
患者の口腔内の健康よりも自分の収入の方が大事というやつである。
これが、日本で歯科医師が国民から尊敬されない最大の理由であろう。
私の周りにこの手の話をしてきた人がかつてから多くいた。
が、だ。
どうせ、あなたも私も、あの世に行くのである。
あの世に金を持っていけますか?
さておき、話を戻そう。
患者に聞けば、
東京のその歯科医院ではラバーダムもマイクロスコープも使用されたことがない
という。
それが標準的な根管治療だろうか?
だが、私はUSC時代に1回法で根管治療が終わらなかった際に治療の内容説明とスワイプでケースの認証を得ようと言い訳をした時だ。
その際、Facultyから(特にDr.Schechterからw)毎度、ひどく詰問された(日本に戻ってお前は患者に今、俺にした言い訳をするのか?というやつだ)のを思い出す。
アメリカではそれでは飯は食えない。
しかし、ここは架空の国、Japanだから仕方がないのかもしれない。
ちなみに、1回で終了させても、2回以上かけても成功率は変わらないのである。

これが上記の詰問の根拠だ。
何のことか、
???
なあなた、
Basic Course 2026
でお待ちしています。(今年からZoom受講も可になりましたw , いよいよ来週日曜日から開始!!今年はあと一人で締め切りですwwどなたか?Help me!!😭)
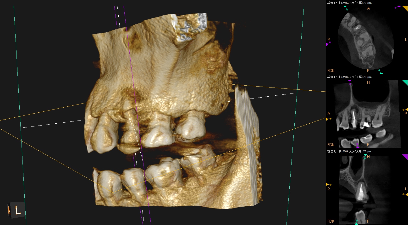
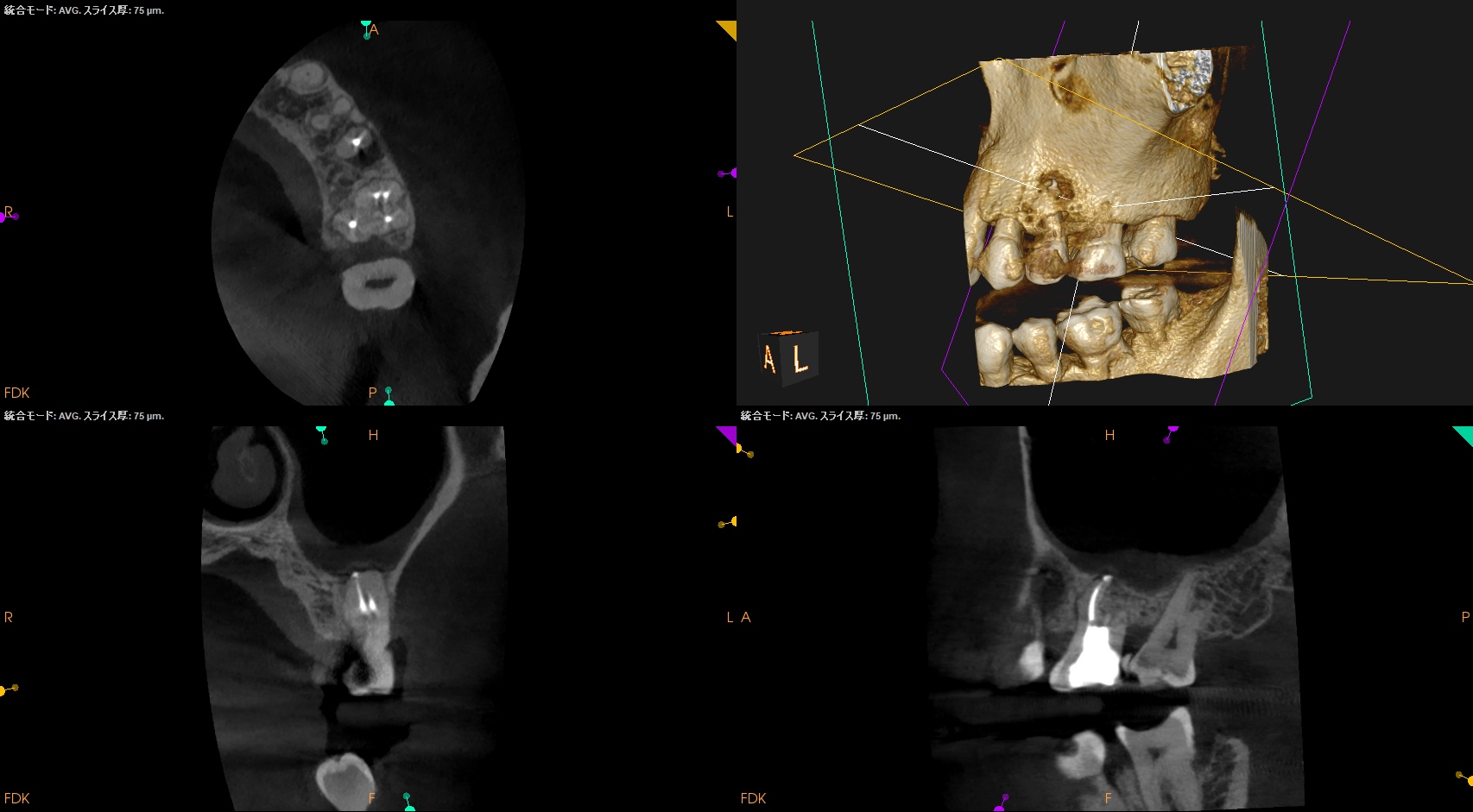
CBCTも撮影した。
これはマストの医療行為である、と私からは告げておこう。
その理由もBasic Course 2026で扱います。
#14
MB

MB2

DB

P

B


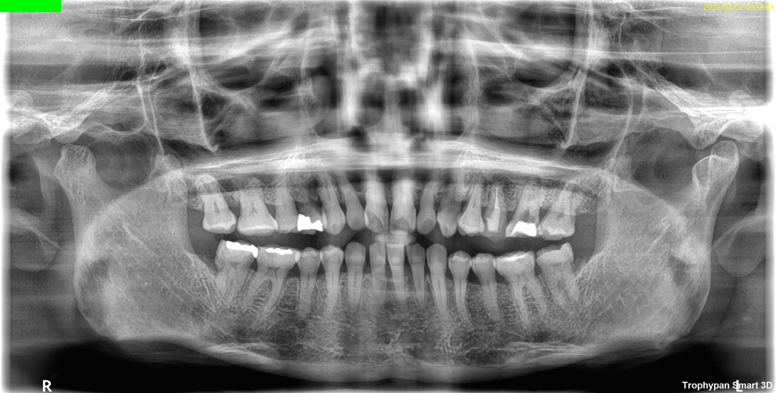
ヨシダ社のパノラマと前述のパノラマを比較してほしい。
話にならないくらい、どちらが優れた画質であるか?ということを。
さておき、#13にも病変があるのがわかるので#13も分析した。
#13


#13は#14よりも大きな根尖病変がある。
ここも治療が必要だろう。
Pulp Dx: Previously initiated therapy
Periapical Dx: Symptomatic apical periodontitis
Recomended Tx: Re-RCT
では、再根管治療が必要な治療とわかるのだが、その成功率はどれくらいか?と言えば

穿通できれば86%
穿通できなければ60%
である。
60%になるとテンションが下がる?が、
私にはこれがそれほど低い数字とも思えない。
理由は以下だ。
術前に不適合な保険のInlayが装着されていることからも、たとえ穿通しなくても治癒する可能性が60%もある〜#2 Re-RCTと6M Recall
このHPのブログが何のためにあるのか?といえば、
患者説明用と患者さんを紹介してくれる歯科医師を増やすためだけである。
俺は上手いだろう!とか、
俺は他の歯科医師よりもすごいんだ!
と
居丈高になるためのものでないのである。
私は米国歯内療法専門医だ。
その辺のチンドン屋とは違う。
ここを勘違いされると困る。
このHPには事実しか掲載していない。
ここにいちゃもんをつける方が一定数いて困っている。(まあ実際は困ってないけどw 私は公金に手をつけるようなことはしてませんからww)
ということで、主訴の#14から再根管治療を行い、残された時間で#13を行うことになった。
その際は、
MB1

MB2

DB

P

#13


おおよその作業長が類推できる。
が、いずれにしてもこの治療での最大のポイントになるのはMB2がどこにあるか?である。
MB2の根尖部にはCBCTで根尖病変があるからだ。

さあ、私は無事MB2を見つけて、1回法で再根管治療を終了させることができるのだろうか?
☆この後、治療動画が出てきます。不快感を感じる方は視聴をSkipしてください。
#14 Re-RCT(2026.4.2)

#13 Re-RCT(2026.4.2)

さて皆さんは気が付いただろうか?
作業長が術前に予測したCBCTでの作業長に近似していること
を。
これが、
CBCTの威力
である。
まだ開業していない, CBCT導入していないという未来のあるあなた。
その際には、
CareStream社のCBCTを導入することを強く勧めます。(日本では、ヨシダ社から購入できます)
ということで、術後にPA, CBCTを撮影した。


#14
MB1

MB2

DB

P

#14 Pは外部へBC sealerが溢出したが、
文献的には押し出されたそれは、
で、問題はないと考える。
当歯科医院のケースでもそれが最終的には臨床上は消失しているように見えて症状も消失していることが確認されているので問題視してない。
#13

ということで、
東京では最初治療回数を聞いたところ5回から6回で終わると言われたが、
どうも毎度治療時間が短いし, おかしいなと思い先日行った時, 意を決してもう一度回数を尋ねたところ15、6回と言われびっくりした。その後、それが保険診療なのだとわかりました…
とのことだったが、
当歯科医院では1回で終了した。
これが、
“米国歯内療法専門医の臨床力”
である。
費用はかかるが、患者さんはお金で時間を買ったのだ。
その辺のチンドン屋(自称根管治療専門医GP)と同じにして欲しくないのである。
が、このような治療は同時に
保険診療ではできず、自由診療になるという点も見逃せないだろう。
あなたが、ネットで
根管治療 マイクロスコープ 保険
と検索しても、
それは自費根管治療の 将来のための“練習” に行なっているのであり、
その状況が未来永劫続くことを意味していないのである。
こんなことは当たり前のことだ。
そしてこれもUSC時代にDr.Schechterに言われたが、
外科が特になると何でも外科で治せばいいと思いがちだが、
患者さんはあまりそういう治療を求めておらず、
最終的には“米国歯内療法専門医は、非外科的歯内療法へ回帰する”
と言われたことを思い出す。
ということで、回りくどくなったが今回は上顎第1大臼歯のMB2について解説した。
