上顎大臼歯の解剖で歯内療法を行う臨床家の心を悩ませる解剖学的な問題はMB2である。
上顎第1大臼歯の場合MB2のある可能性は、
Stropko 1999 Canal morphology of maxillary molars: clinical observations of canal configurations
によれば90%である。
近年のCBCT研究では、
For maxillary first molars, CBCT studies consistently show a high prevalence of MB2 canals.
Typical CBCT prevalence: ~60% → 80%
Most accepted pooled estimate: ~≈70%
Range across populations: ~50% → 90%
👉 Clinical translation:
About 2 out of 3 upper first molars will have an MB2 canal detectable on CBCT before RCT.
3分の2、つまり67%くらいだ。
これが上顎第2大臼歯になると、
Stropko 1999 Canal morphology of maxillary molars: clinical observations of canal configurations
によれば、60%と言われている。
CBCTでの研究だと、
その確率は 30–40% (≈1 in 3 teeth)と言われている。
CBCTで診断すれば, 3本に1本しかMB2はないと考えられている。
割合が分かればそれらがどういう走行をしているか?が知りたいことになるが、
Vertucci 1984 Root canal anatomy of the human permanent teeth
によれば80%が合流していると言われる。
近年のCBCTでの研究でも70~80%のMB2がMB1と合流していると言われる。
そしてもっと重要なことが、
MB2をいきなり探さない方がいいということである。理由は合流している可能性が高いからだ。
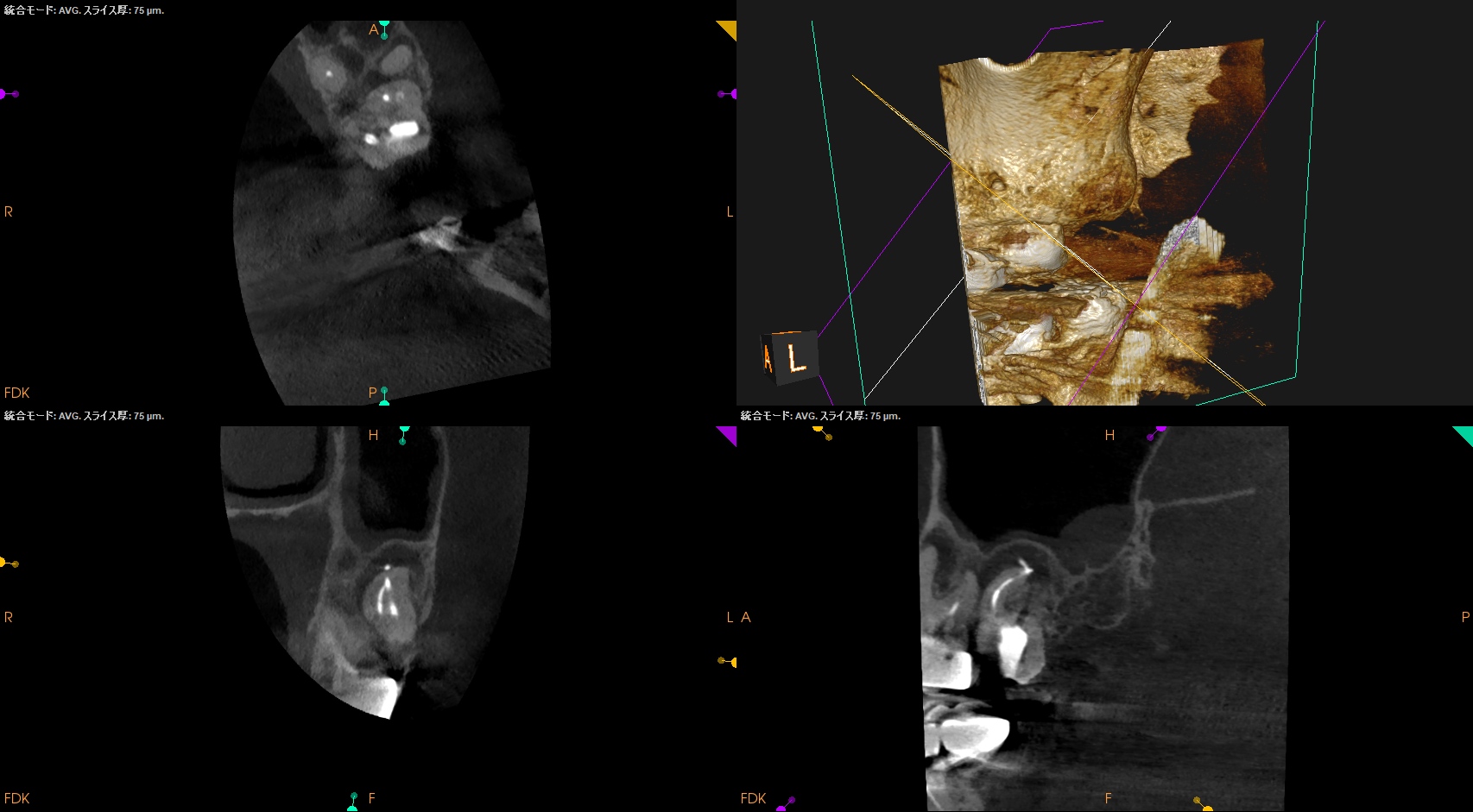
この臨床的事実をなんとかCBCTを使用して明らかにできないだろうか?と私は常々考えてきた。
今日はCaseを通じてそれを示してみたい。
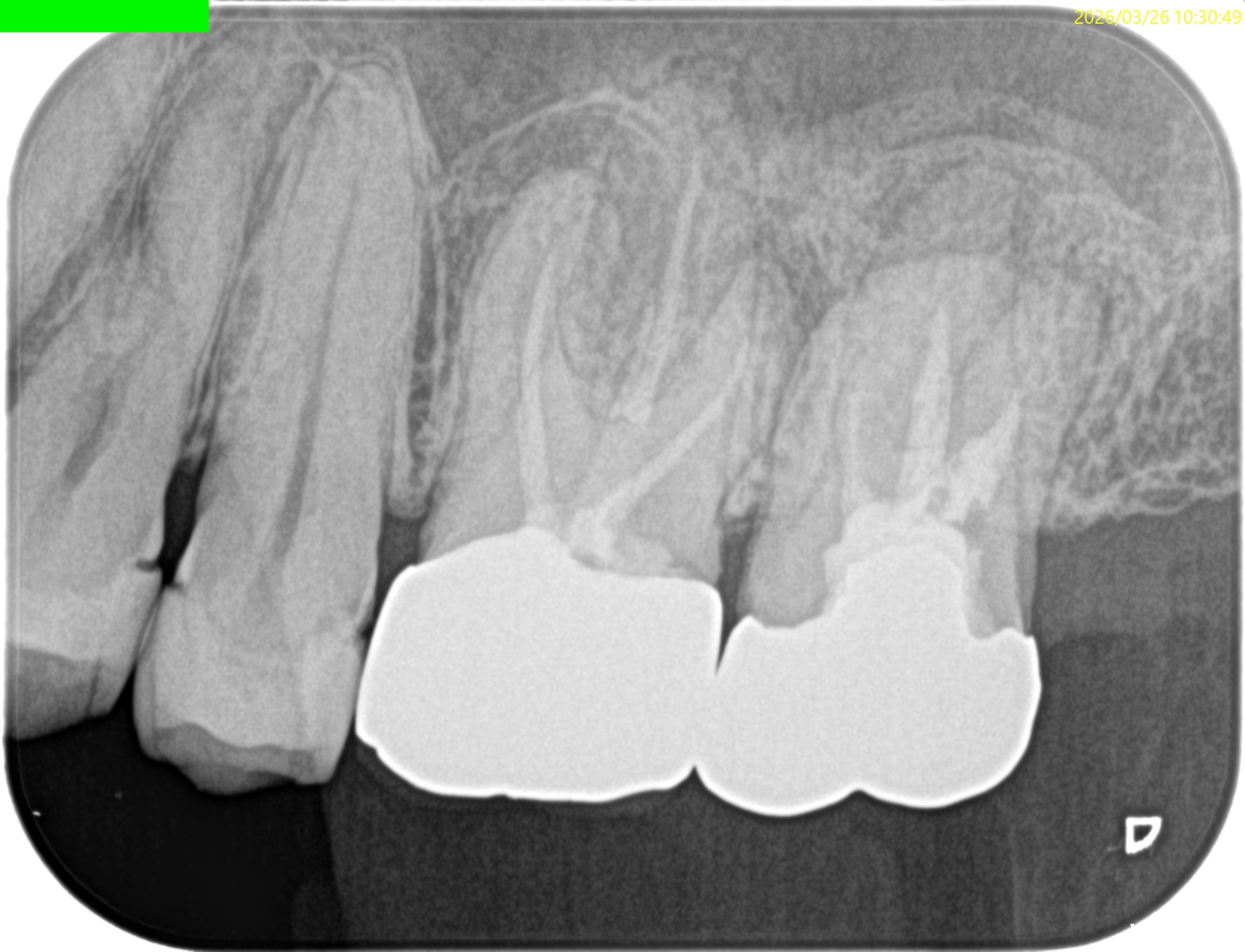
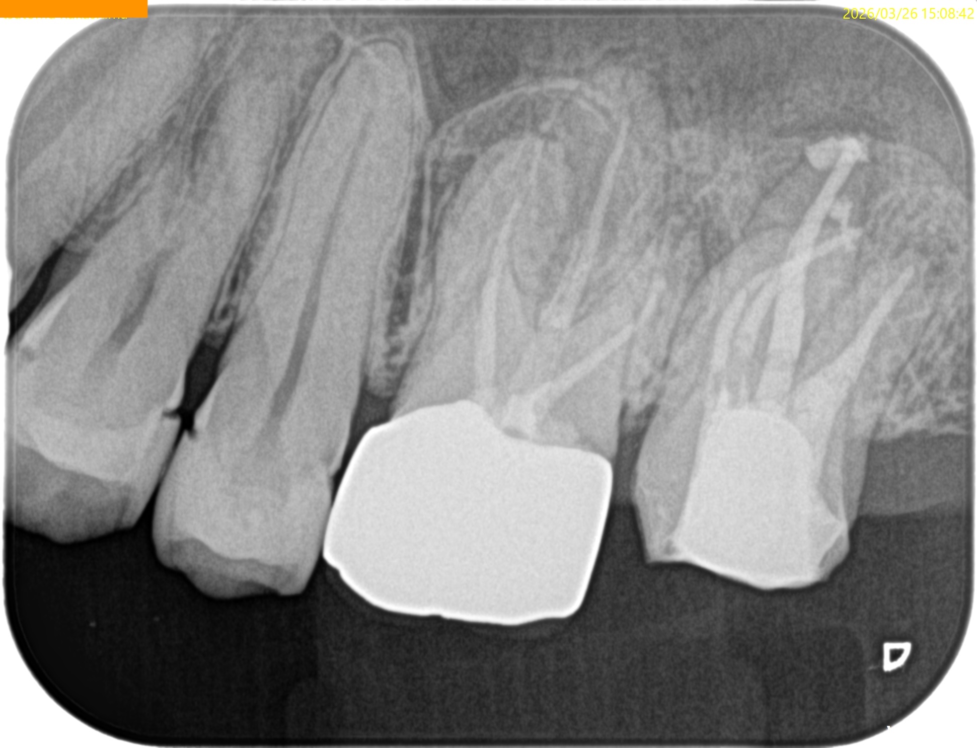
まず第2大臼歯から。


MB

MB2

DB

P

複数根管があるのはMBであるが、


これらの絵だけで合流しているか?否か?がわかるだろうか?
またMB2は見つかるだろうか?
その際は、

この辺りを探索する必要があるだろう。
短針でスカウティングする際に、掴めるポイントは全て突いた方がいいだろう。
どこが本当のMB2の入口か?判別できないからだ。
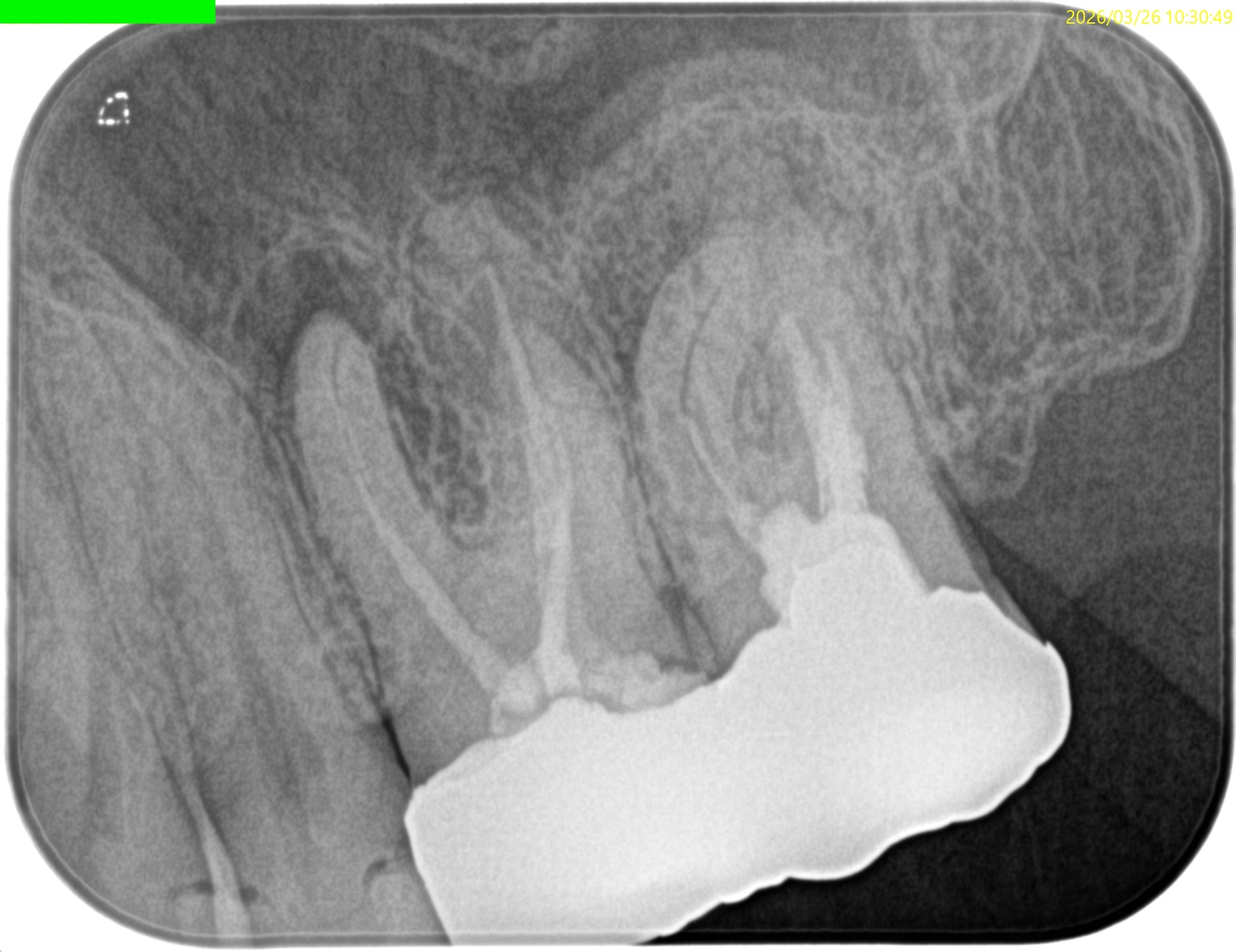
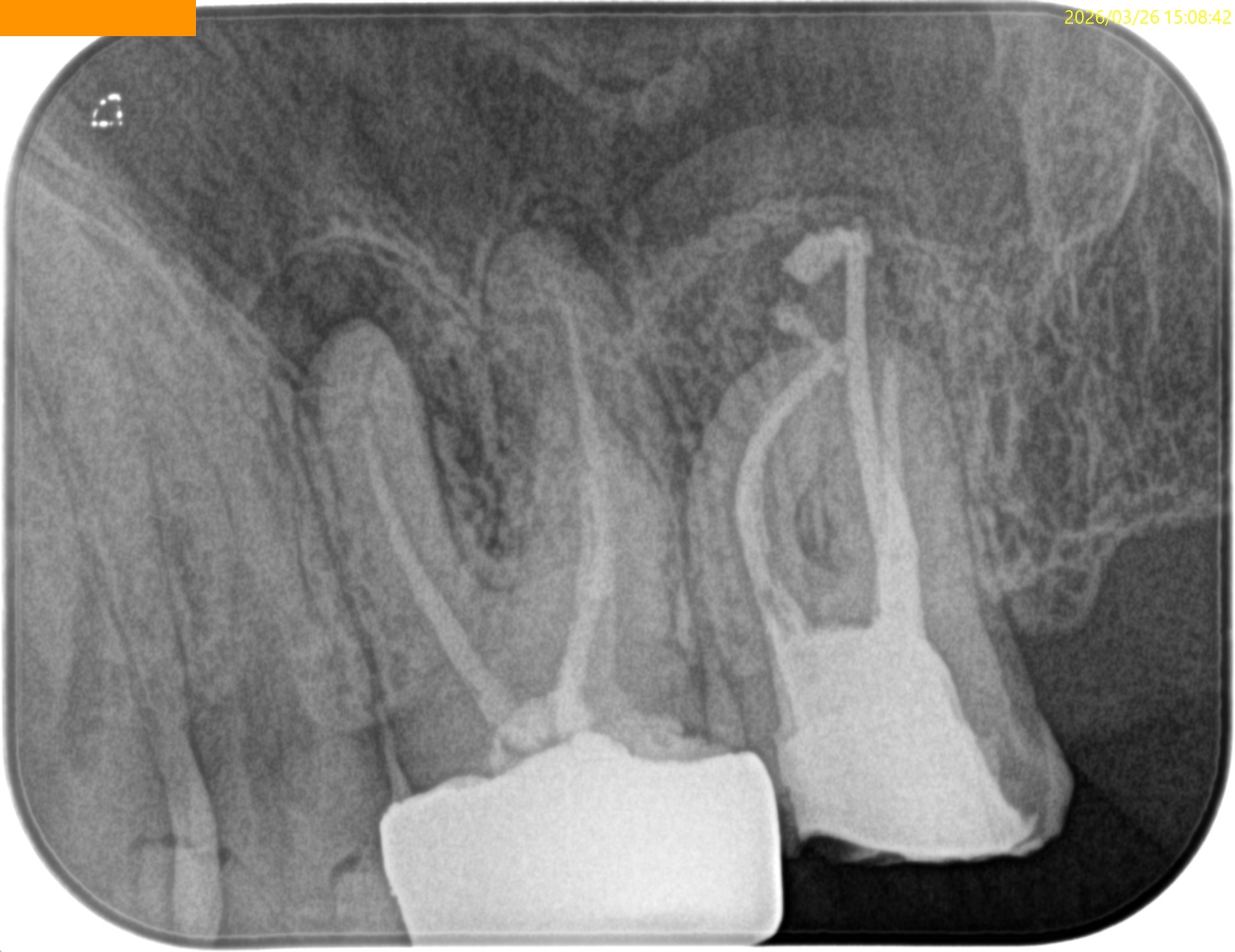
またMB2の多くはMB1と合流するという臨床的事実から形成済みのMB1に当該Gutta Percha Pointを挿入しMB2にFileを入れてグリグリとやってみた。
すると…

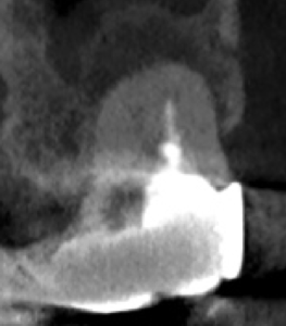
13.5mmの地点に傷がついていることがわかる。
ここが合流地点だろう。
これで以下のように作業を行った。

MB2は狭窄根管だがMB1と合流しているので13.5mmとして形成した。
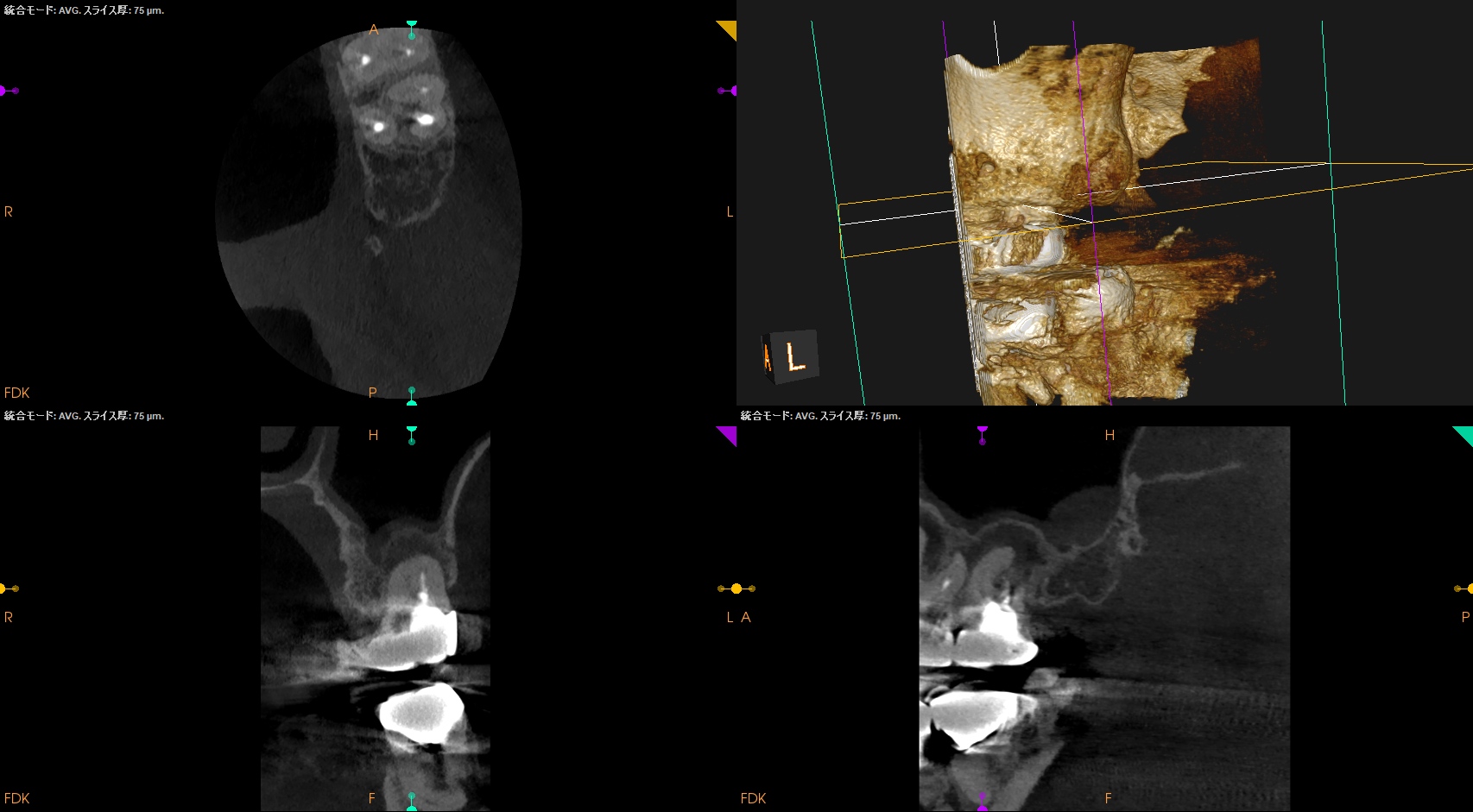
術後のPA, CBCTは以下である。


MB1

MB2

DB

P

問題はないだろう。
ということで今日は上顎第2大臼歯のMB2についてケースを交えて解説してみた。