過去の治療の経過観察。
マイクロサージェリーライブセミナー2024.3 編〜#14 MB Apicoectomy(MB1,MB2,MB3 Prep & Retrofill)
治療から2年が経過していた。
ここに至るまでの治療歴は、
小学生の時、カリエスでインレ−
大学2年の頃、某大学歯内療法科でで抜髄・根管治療(ラバーダムあり)
大学4年か5年の時、再治療。その際、顔が腫れて、他大学の歯内療法科で再根管治療を完結。
この後、違和感はずっとあり、2020年に友人の歯科医師の先生のオフィスで再再々治療。
そして、2024年に私がApicoectomyしている。
そこから2年が経過していた。
治療した歯はどうなっただろうか?
Basic Course 2026の1回目に患者の先生が来てくれた。
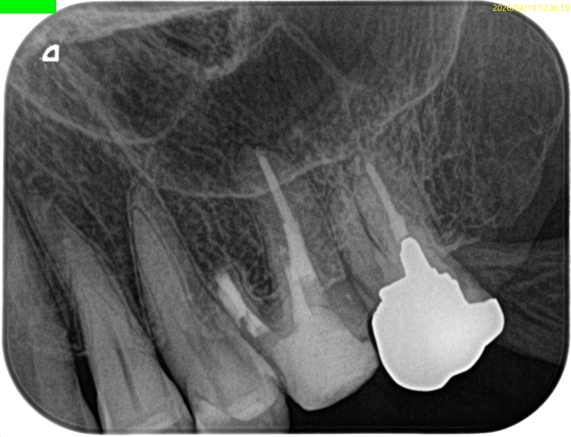
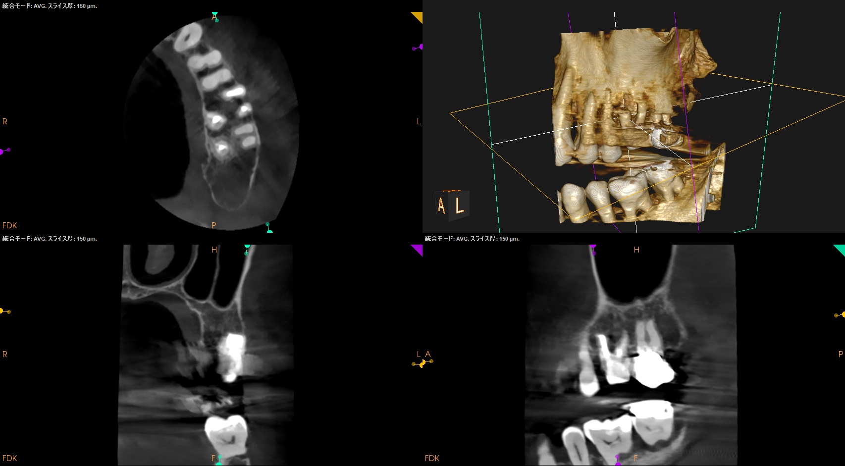
#14 Post-op 2yr recall(2026.4.19)





初診時と比較した。

歯槽骨の欠損は完治した。
術前の臨床症状も消失した。
ということでこれで終診である。
そんな中、この患者の先生から意外な告白を聞くことになる。
旦那さんの都合でアメリカに移住することになったそうだ。
なので、もう日本に戻ることもないそうである。
アメリカに住むなら…
DDSライセンスを取得したり、大学院へ行ったりと身の振り方はいろいろあるだろうが、まずはゆっくりしてください。
彼女は私が人生の窮地に追いやられていた時に, 自ら私が管理者になってもいいですよ、と言ってくれた先生だ。
私の周りの知り合いの歯科医師が全員拒絶したのに、だ。
あの時の恩は生涯忘れないだろう。
いっとき離れることになるが、いつかまたどこかで会うことが必ずあるだろうから, その時までお互い元気で頑張りましょう。
いつまでもお元気で。