紹介患者さんの治療。
主訴は、
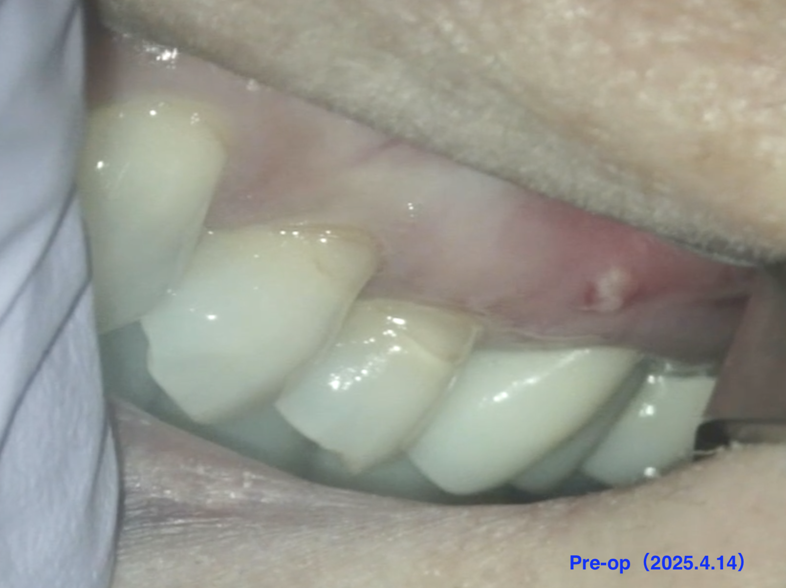
左上奥歯セラミックにした歯が腫れて痛い…セラミックは外したくない。
である。
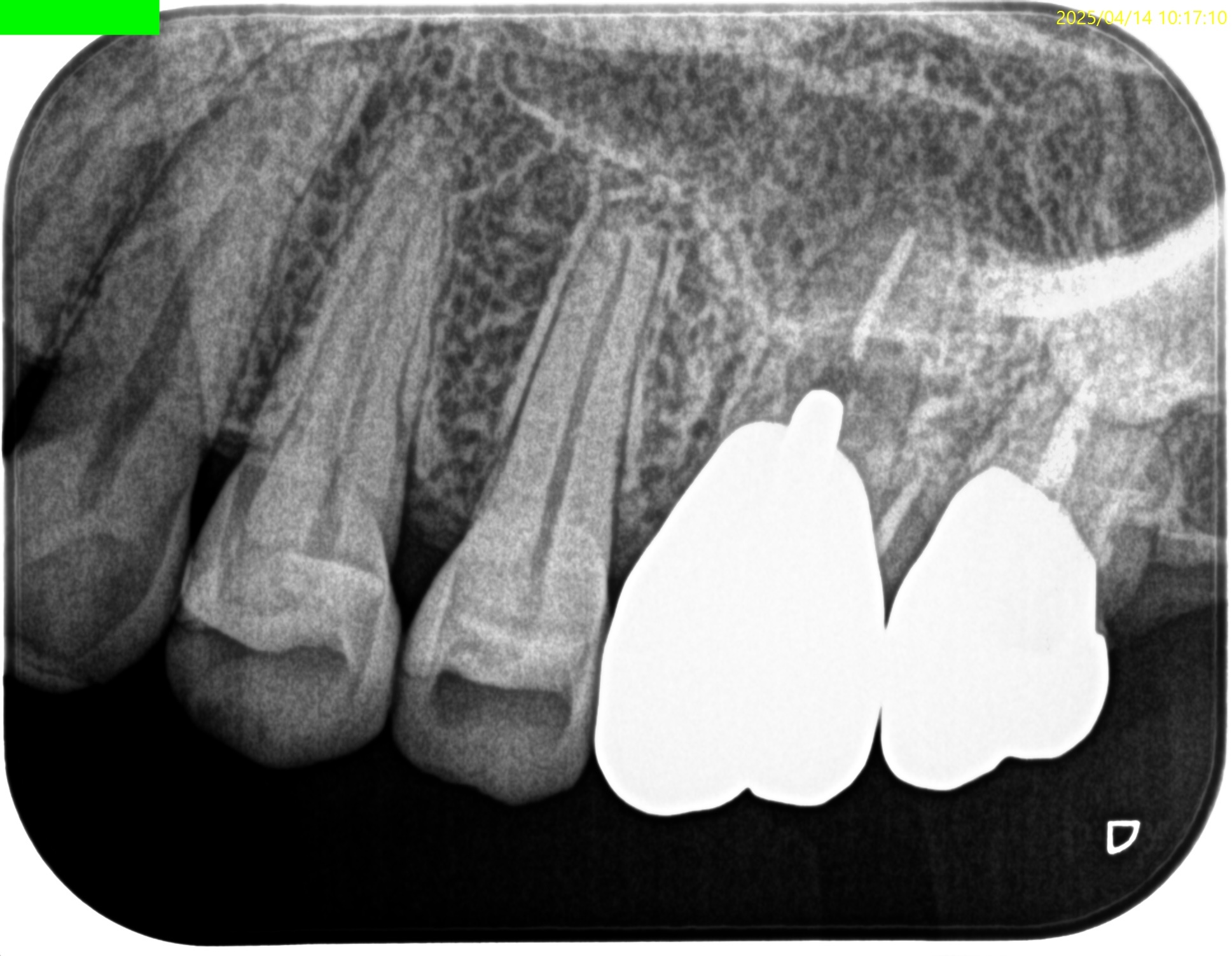
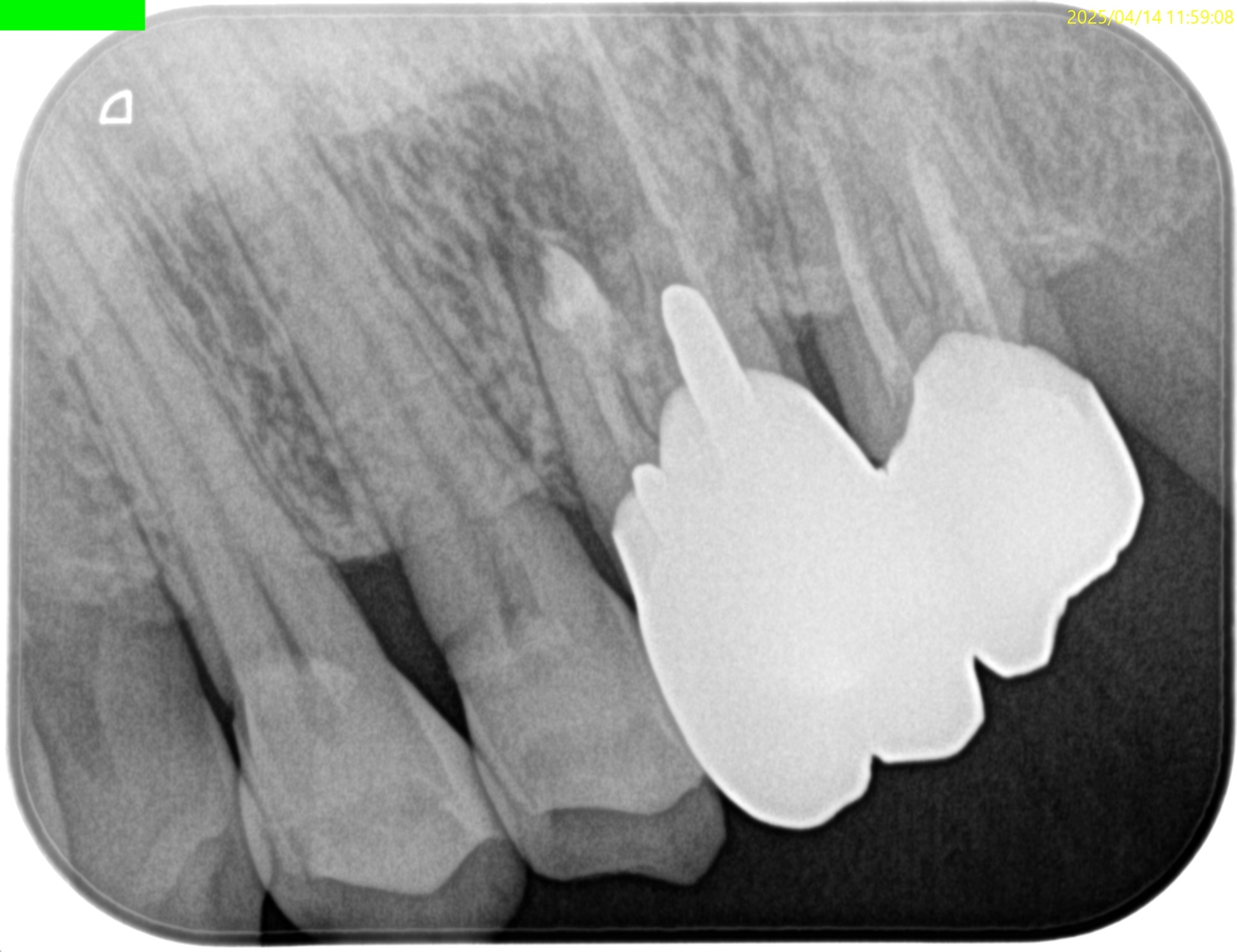
Pre-op Endo test(2025.4.14)




MB

MB2は確実に存在するが石灰化が進み穿通できるか?わからない。
また、Sinus tractが根尖孔外細菌感染の可能性もある。
このことから再根管治療よりも外科治療の方に軍配が上がるだろう。
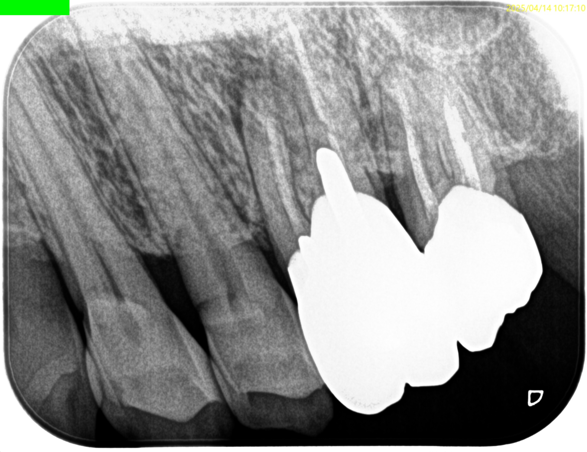
その際は、

DBを巻き込まないようにApicoectomyすべきではあるが、
たとえDBの歯根を傷つけても臨床的には問題にならないだろう。
なぜか?
Advanced Course 2026
の第2回 Intentional Replantationの講義でそれは解説します。
DB

P

Pulp Dx: Previously treated
Periapical Dx: Chronic apical abscess
Recommended Tx: Apicoectomy
ということで、同日にApicoectomyを行った。
☆この後、外科動画が出てきます。不快感を感じる方は視聴をSkipしてください。
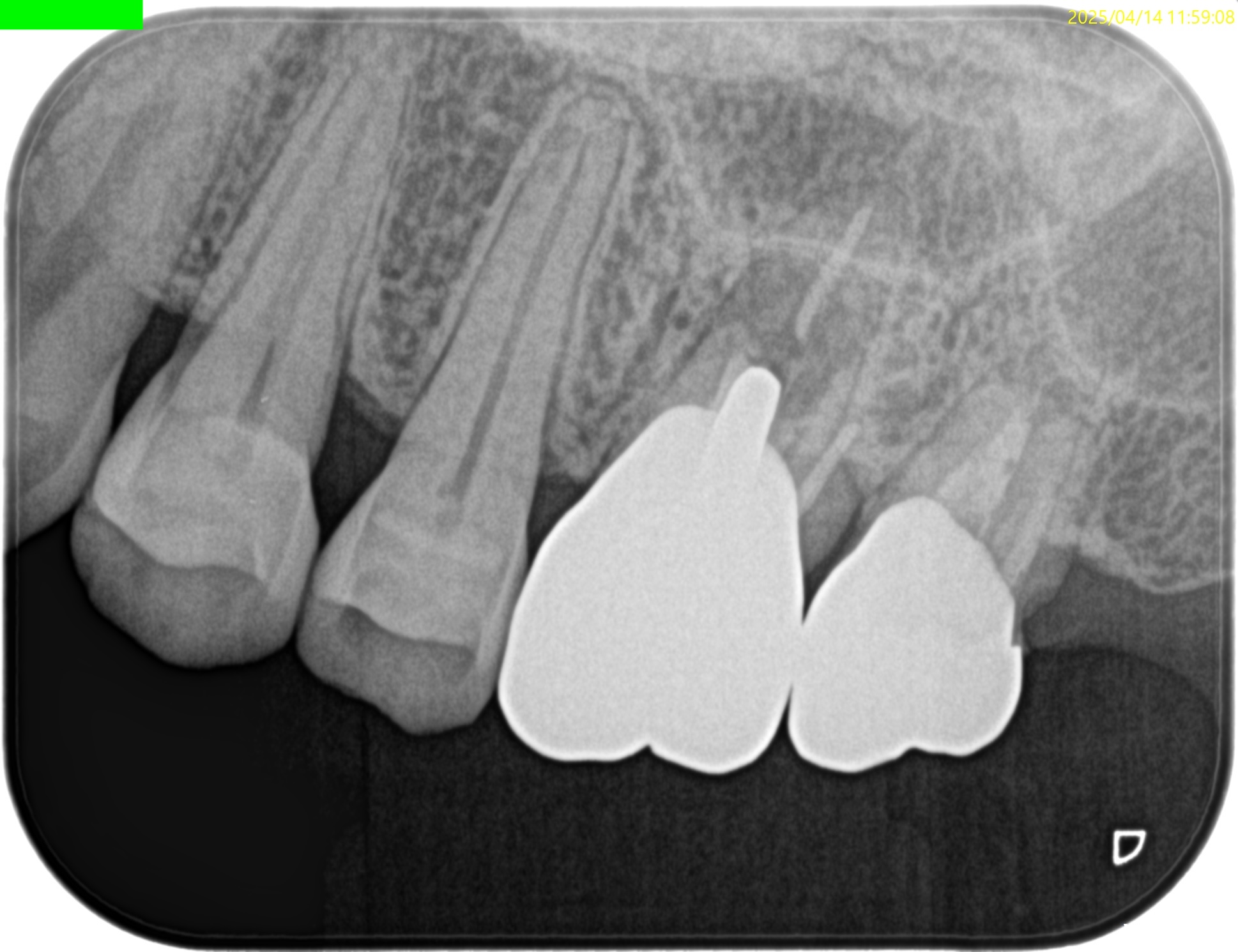
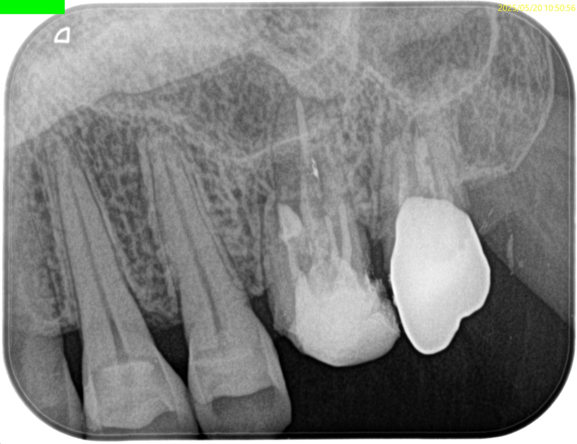
#14 MB Apicoectomy(2025.4.14)
MBのApexを発見した。
ここを3mm切断した。
Retroprep, Retrofillingした。
術後にPA, CBCTを撮影した。


後日、築造するがその後のPAが以下だ。

MB


B

逆根管充填材は逆根管形成で穿孔させたが即日修復=充填しているので問題ないだろう。
最後に縫合して終了した。
ということで、明日はこの1年後の予後を公開したい。
