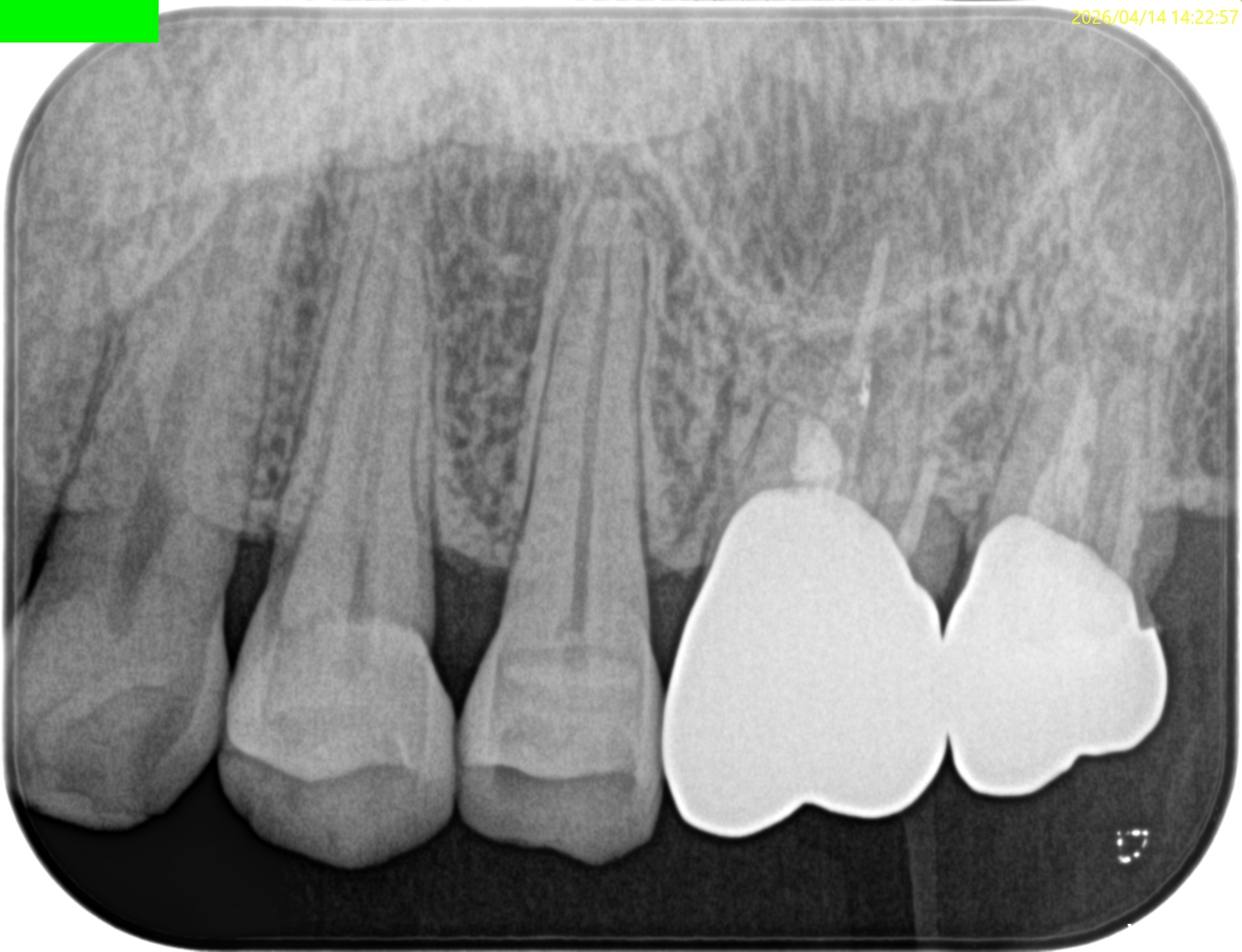
昨日の治療の1年後の予後である。
Retroprepで穿孔させてしまい、即日Retrofill(穿孔封鎖)した#14は治癒しただろうか?
Post-op 1yr recall(2026.4.15)


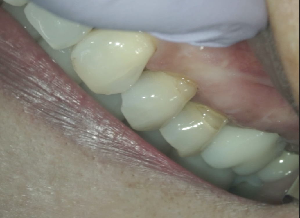
Sinus tract, 臨床症状は消失した。
術後の瘢痕も目立たない。


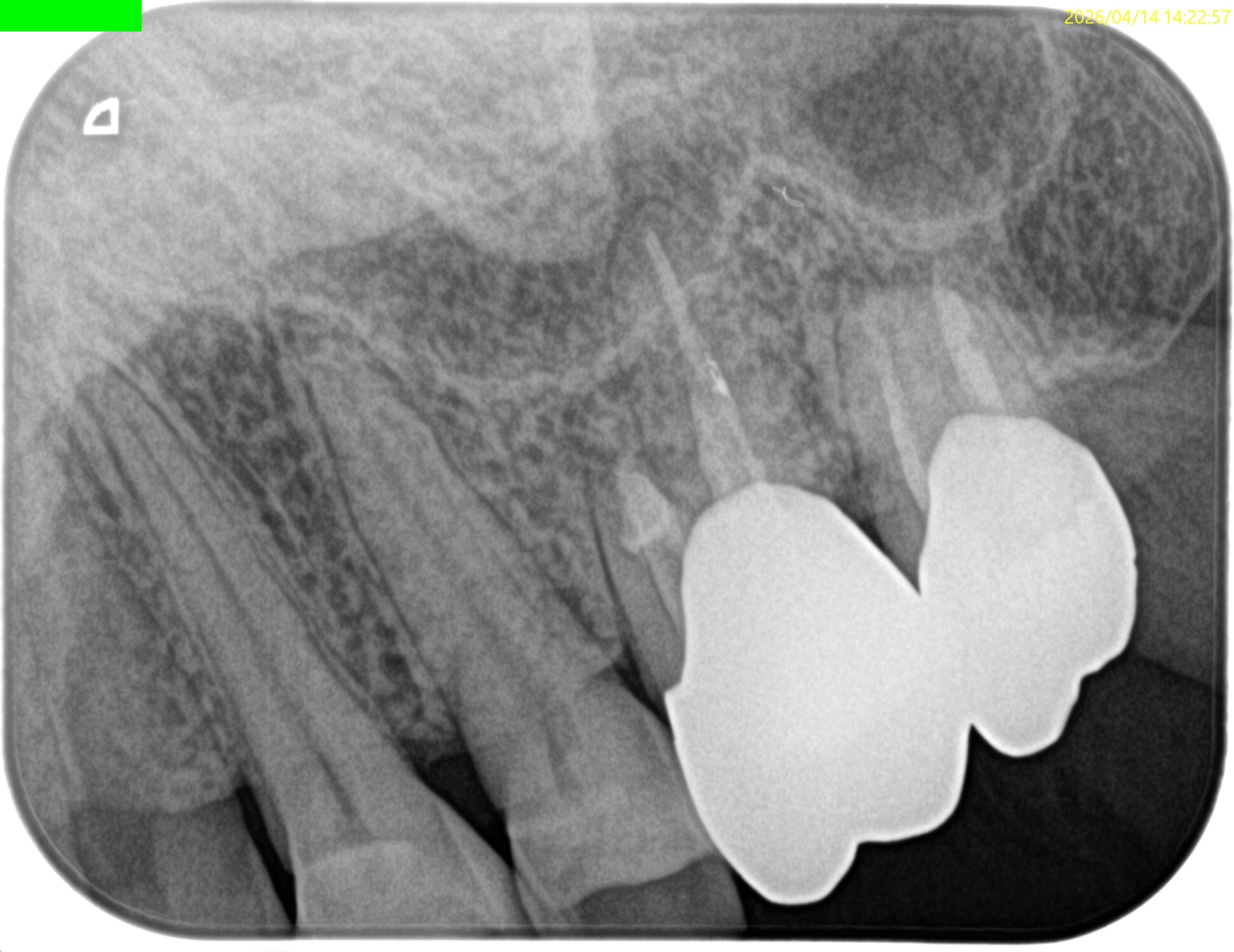
MB

B

1年前と比較した。


臨床症状、骨欠損も完治したのでこの日で終診とさせていただいた。
長い間、お疲れ様でした。
Practice limited to Endodontics and Microsurgery〜福岡市博多区博多駅前3-13-4-2F TEL 092-409-8345 診療日 月〜金 10:00~16:00 休診日 土,日,祝
昨日の治療の1年後の予後である。
Retroprepで穿孔させてしまい、即日Retrofill(穿孔封鎖)した#14は治癒しただろうか?


Sinus tract, 臨床症状は消失した。
術後の瘢痕も目立たない。


MB

B

1年前と比較した。


臨床症状、骨欠損も完治したのでこの日で終診とさせていただいた。
長い間、お疲れ様でした。