紹介患者さんの治療と経過観察。
主訴は、
歯の根の先に病気ができたので治療をお願いしたい
である。
Pre-op Endo Test(2025.1.27)
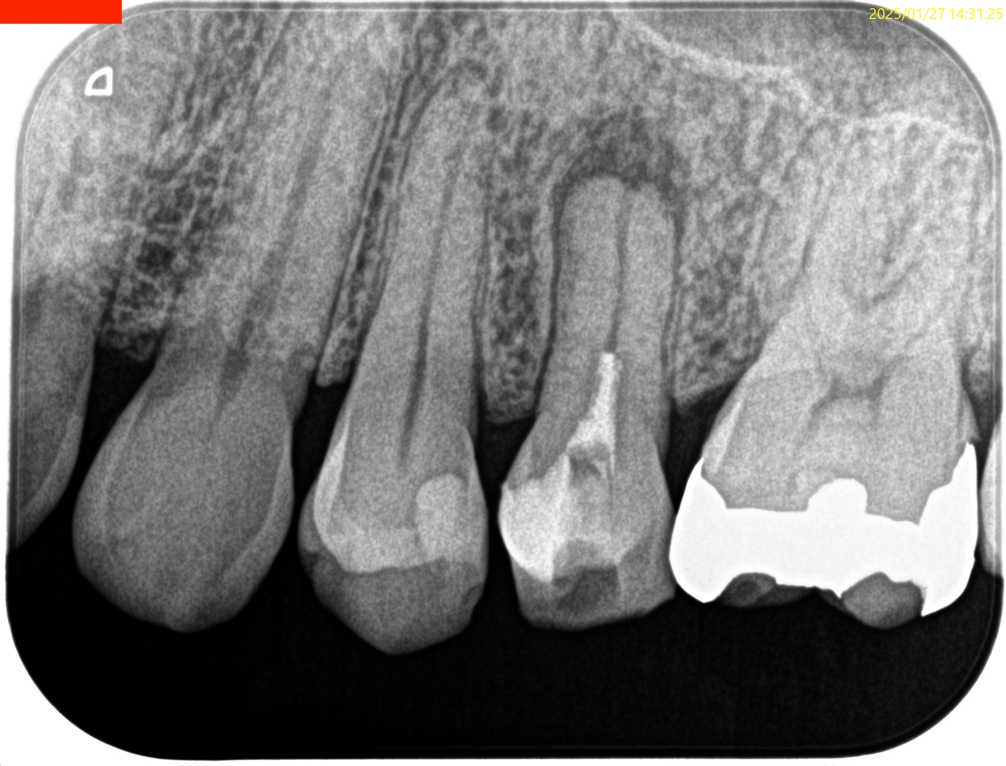
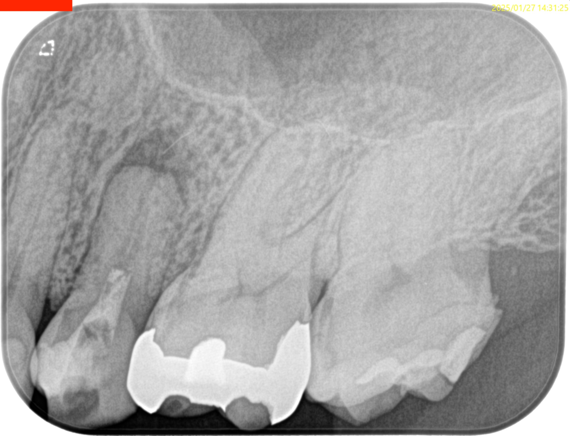
#13 Cold N/A, Perc.(+), Palp.(+), BT(+), Perio Probe(WNL), Mobility(WNL)
ペリオの問題がない歯だが、PAを撮ると


大きな根尖病変が#13のApex周囲にある。
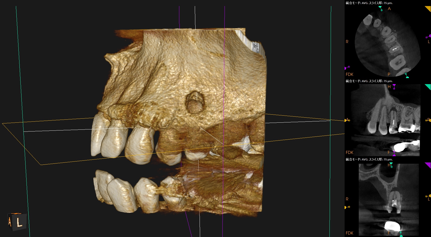
またCBCTを撮影すると、
B

P

B

歯槽骨は溶けて#13のApexが口腔内に露出しかけている。
これが圧痛の原因になるのは間違いないだろう。
が、Sinus tractがないのであればこの歯の治療の成功率は

86%
de Chevigny 2008 Treatment outcome in endodontics: the Toronto study–phase 4: initial treatment
である
ということが処置前にわかる。
術前にその治療の結果を予言できることが歯内療法最大の特徴だ。
処置前に未来が予測できるのである。
患者さんは治療内容に同意され、別日に治療へ移行した。
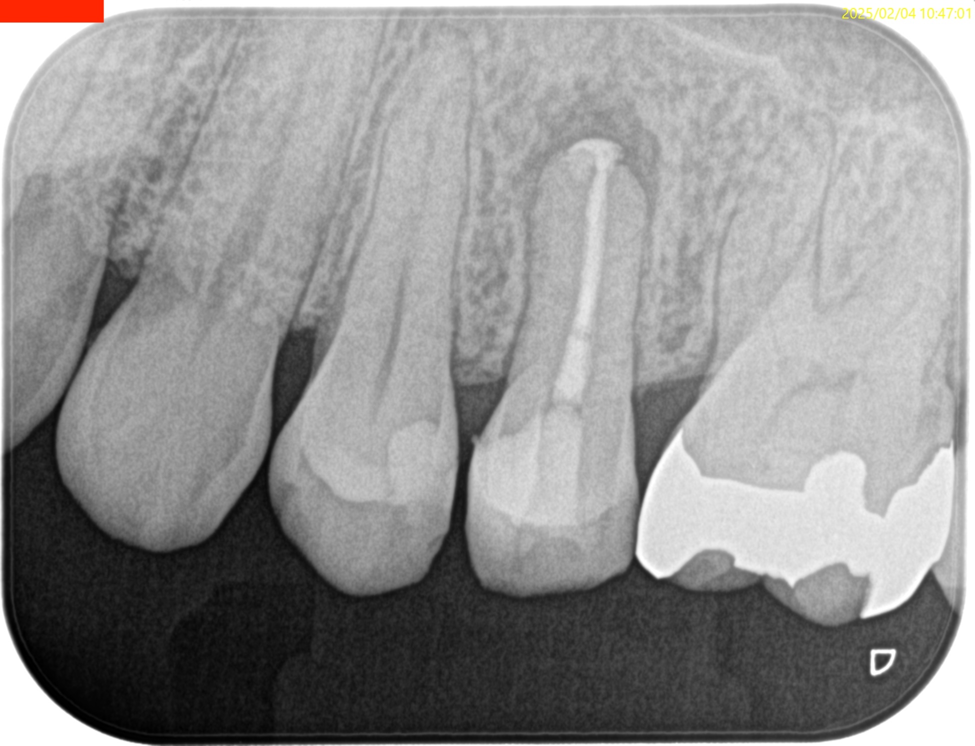
#13 RCT(2025.2.4)
合流地点を確認し以下のように根管形成して

術後にPA, CBCTを撮影した。


B

P

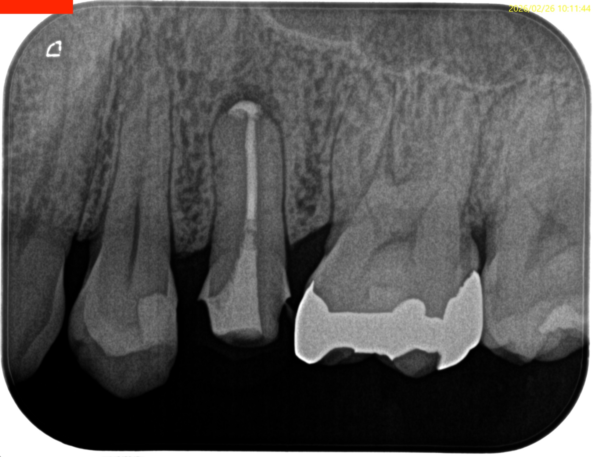
ここから1年が経過した。
#13 RCT 1yr recall(2026.2.26)






1年前と比較した。

根尖病変は大きく縮小し、臨床症状(圧痛)も消失したのでかかりつけ医の先生には最終補綴を依頼した。
次回はさらに1年後である。
またその予後をお伝えしたい。