紹介患者さんの治療。
主訴は、
虫歯が深く神経を保護した歯に痛みがある…
である。
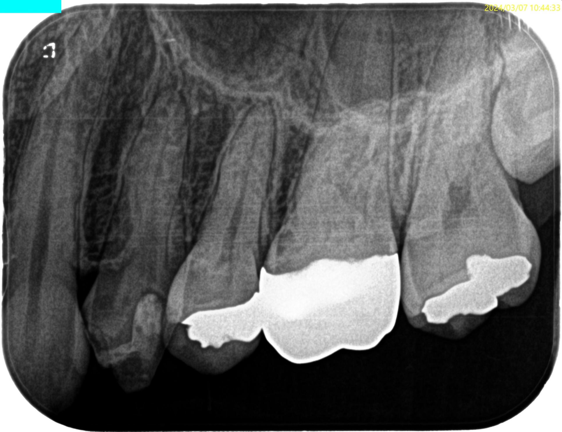
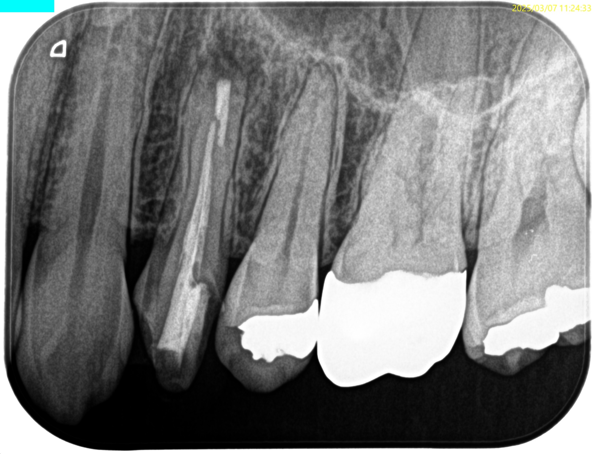
Pre-op Endo Test(2024.3.7)
#12 Cold++1/13, Perc.(+), Palp.(-), BT(-), Perio Probe(WNL), Mobility(WNL)



Pulp Dx: Pulp necrosis
Periapical Dx: Symptomatic apical periodontitis
Recommended Tx: RCT
#12はMTAセメントという魔法の薬で神経を保護したので大丈夫ですよ、と言われたそうだが
大丈夫なのはその人の頭の中だけである。
神経を保護するような治療を行うと、歯髄が石灰化してしまう。
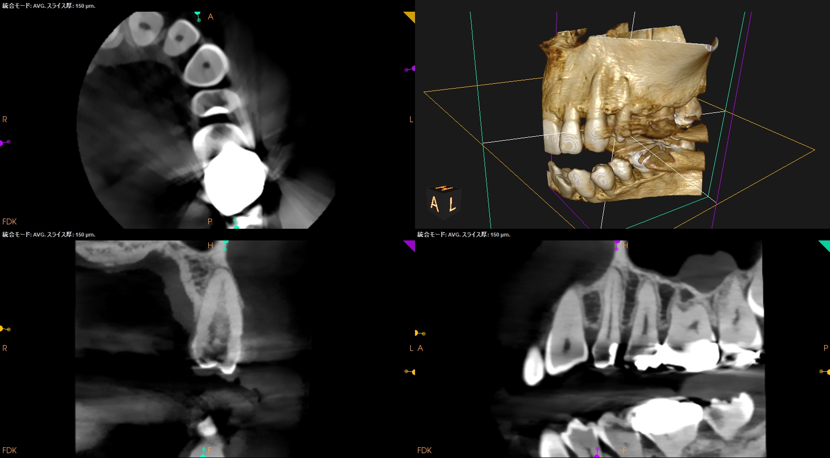
世の中には、それでも、必ず穿通させることができる
という御仁がいる。
以下のようなケースでも可能なのだろうか?
私(当時Resident)も、
その後の二人のEndodontist(“自称”ではなく、“米国歯内療法学会”が認定する“Endodontist”である)も穿通させられなかったのだ。
何が言いたいか?と言えば、
全ての根管が穿通するとは限らない
ということである。
例えPAやCBCTで根管が見えていても、だ。
さておき、同日、治療へ移行した。
⭐︎この後、治療動画が出てきます。不快感を感じる方は視聴をSkipしてください。
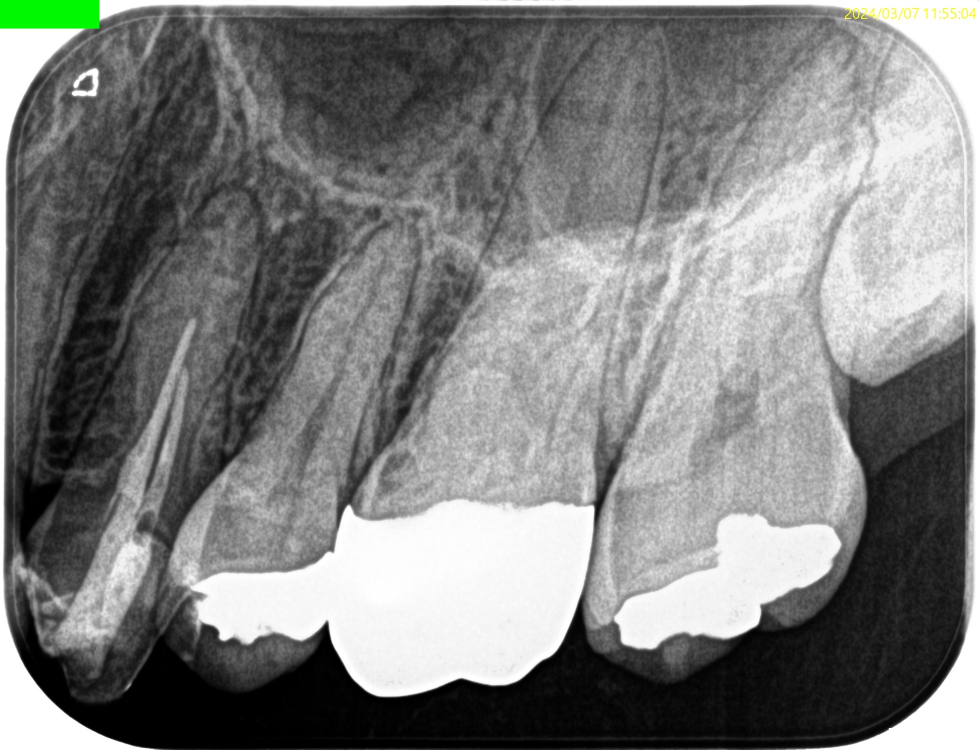
#12 RCT(2024.3.7)




ここから1年が経過した。
#12 RCT 1yr recall(2025.1.7)





根管治療が奏功しなかった。
では、再根管治療か?といえば、初期治療で穿通できなかったのである。
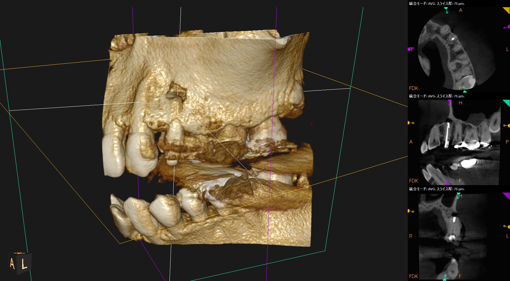
ということは、治療方法はApicoectomy一択だ。
その際は、

それほど難しいApicoectomyではない、とわかる。
CBCTを分析すれば、だ。
はっ?なあなた、
Advanced Course 2026
でお待ちしています。
#12 Apicoectomy(2025.3.7)
Apexの位置のOsteotomyすると、そのApexは容易に発見できた。
根尖を3mm切断し、メチレンブルーで染色した。
問題はない。
逆根管形成し、逆根管充填した。
ペントロンジャパンの
エンドセム MTA クイックペースト R
で逆根管充填した。
いわゆるシーラー逆根管充填(そんな言葉があるのか?)である。
術後にPA, CBCTを撮影した。




縫合して終了した。
ここから1年が経過した。
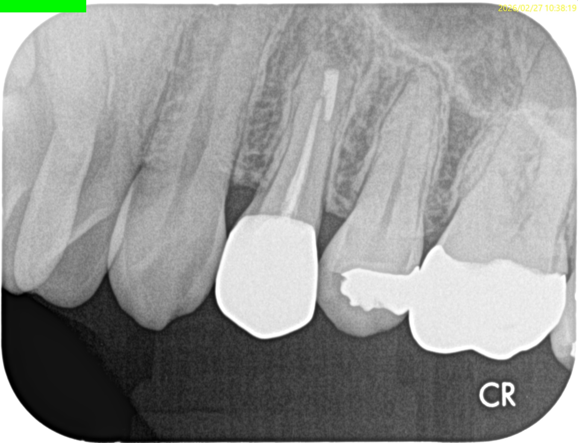
#12 Apicoectomy 1yr recall(2026.2.27)





1年前と比較した。

問題は解決した。
ということでこの日で終診となった。
長い間、お疲れ様でした。

