紹介患者さんの治療。
主訴は、
神経を保護した奥の歯が痛い…
である。
Pre-op Endo test(2026.1.26)
#31 Cold NR/20, Perc.(+), Palp.(-), BT(+), Perio Probe(WNL), Mobility(WNL)

#31 Dに直覆したような痕跡がある。



遠心根管だが、

遠心舌側は既に露髄しているだろう。
これが、痛みの原因だと思われる。
理由はその治療の成功率だ。
成人のDirect Pulp Cappingの成功率は30%しかない。
その話を患者さんにして同日、治療へ移行した。
Pre-op Endo Diagnosis(2026.1.26)
Pulp Dx: Asymptomatic irreversible pulpitis
Periapical Dx: Normal apical tissues
Recommended Tx: RCT
同日、治療が行われた。
☆この後、治療動画が出てきます。不快感を感じる方は視聴をSkipしてください。

露髄すると暗赤色の流血だ。
このことからもDirect Pulp Cappingに益がないことがわかる。
MLとMBは合流根管であるので合流を確認した。


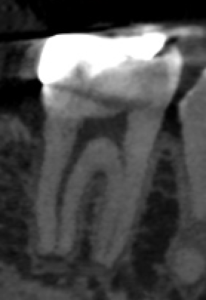
術後にPA, CBCTを撮影した。


MB

ML

D

問題はないだろう。
次回は半年後である。
またその模様をお伝えしたい。