紹介患者さんの治療。
主訴は、
治療した歯がすごく痛くて物が噛めない…
である。
歯内療法学的検査(2022.12.19)
#12 Cold+1/1, Perc.(+), Palp.(-), BT(-), Perio Probe(WNL), Mobility(WNL)
#13 Cold+1/23, Perc.(++), Palp.(-), BT(-), Perio Probe(WNL), Mobility(WNL)
#14 Cold++1/32, Perc.(++), Palp.(-), BT(-), Perio Probe(WNL), Mobility(WNL)
受診前に他院で左上の虫歯の治療をしてから歯が沁みるという。
PAを撮影した。
PA(2022.12.19)
#14の遠心のレジン充填、#13の咬合面のレジン充填がほぼ歯髄にかかっている。
CBCT(2023.12.19)
#13
B側の髄角を見てほしい。
少し形成すれば、即、露髄する根管である。
これが、レジン充填による歯髄炎を惹起させたのだろう。
ここから何が言えるか?といえば、
全ての歯科(保存修復)治療は術前にCBCT撮影による治療の分析が必須である
ということがわかる。
#14 MB1
#14 MB2
#14 DB
#14 P

歯内療法学的診断(2023.12.19)
Pulp Dx: Symptomatic irreversible pulpitis
Periapical Dx: Symptomatic apical periodontitis
Recommended Tx: RCT
2本とも抜髄・根管治療である。
文献的には成功率はかなり高い(Sjogren 1990 Factors affecting the long-term results of endodontic treatment)
ことがわかっている。
96%だ。

100人いれば、4人しか失敗しない。
成功率はかなり高い。
以上を説明して治療へ移行した。
⭐︎この後、治療動画が出てきます。不快感を感じる方は視聴をSkipしてください。
#13,14 RCT(2023.12.19)

治療から1年が経過した。
#13,14 RCT 1yr recall(2024.3.22)


#13
#14 MB1
#14 MB2

#14 DB
#14 P

臨床症状も根尖病変もない。
ということで、この日で終診したのだが、1年経過して治療した歯が痛い…と連絡があった。
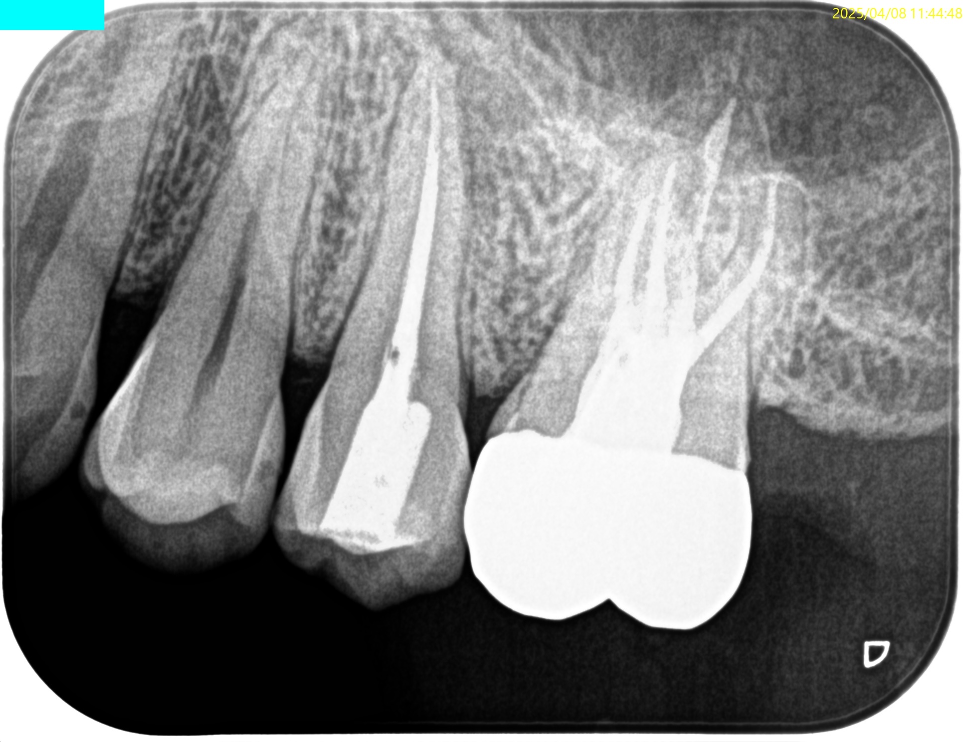
#13,14 RCT 2yr Recall(2025.4.8)

#13に咬合痛がある。


#13の根尖部に病変が見える。
#13

主根管に設定したB根管の根尖部の遠心側に根尖病変がある。
なんと…
96%の成功に入らなかったのだ。
#14 MB1
#14 MB2
#14 DB
#14 P

#14には問題がない。
同じような治療をしたのに、なぜ、問題が起きたのだろうか?
過去治療を振り返ったが、問題がある箇所が見当たらない。
このように、
治療の原則を遵守して治療しても96%に入らないことがある
のである。
この私のなぜ?という疑問に答えてくれるのが文献なのだが、
でも示した通り、
そういうこともあるだけで、なぜそうなのか?明記がないのである。
この分野に関しては私はこれからも注視していきたいと思っている。
では、この結果をどう取り返すか?だが、

私はApicoectomyよりもIntentional Replantationを選択した。
ということで、別日に治療へ移行した。
⭐︎この後、外科動画が出てきます。不快感を感じる方は視聴をSkipしてください。
#13 Intentional Replantation(2025.4.10)
PAを撮影した。

問題はないだろう。
再植した。
術後にPA, CBCTを撮影した。



問題はないだろう。
ということでこの後は1ヶ月後である。
またその模様をお伝えしたい。











