紹介患者さんの治療。
主訴は、
以前治療した歯が死ぬほど痛い…
である。
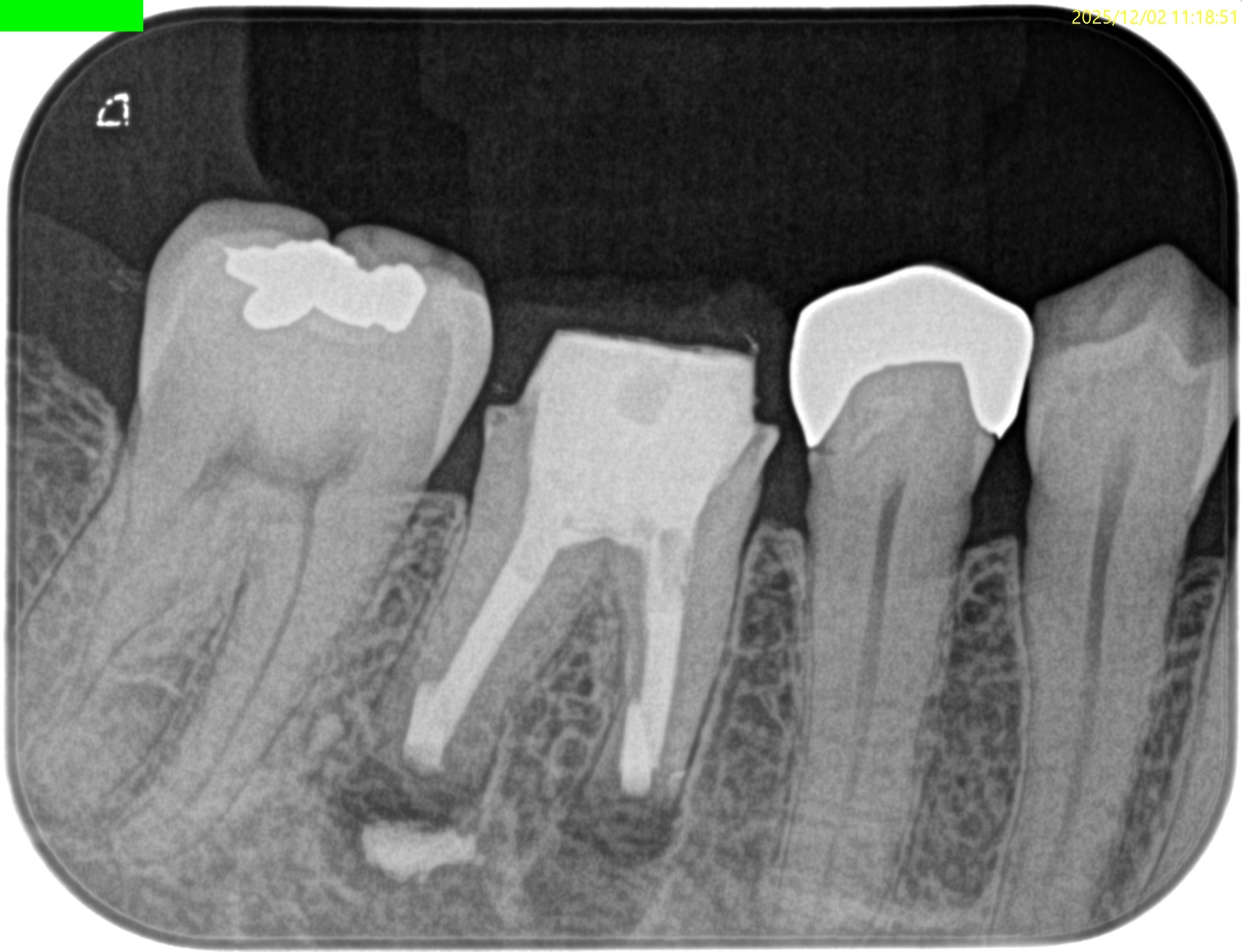
Pre-op Endo test(2025.12.2)
#30 Cold N/A, Perc.(+), Palp.(+), BT(++), Perio Probe(WNL), Mobility(WNL)
#31 Cold+3/1, Perc.(-), Palp.(-), BT(-), Perio Probe(WNL), Mobility(WNL)
#30が患歯のようだ。
PA(2025.12.2)

CBCT(2025.12.2)
MB
ML
D

M,Dの根尖部には病変がある。
またMもDも形成・根充が太くなされているので治療は成功率が低いであろう再根管治療ではなくApicoectomyだ。
その際は、


以上のように治療を行っていく。
Pre-op Endo Diagnosis(2025.12.2)
Pulp Dx: Previously treated
Periapical Dx: Symptomatic apical periodontitis
Recommended Tx: M,D Apicoectomy
☆この後、外科動画が出てきます。不快感を感じる方は視聴をSkipしてください。
#30 M,D Apicoectomy(2025.12.2)
MのApexの位置をCBCTを参考に予想し、Osteotomyをする。
その後、根切した。
根切したら逆根管形成+逆根管充填である。
これでMは終了した。
次にDへ移行する。
DのApexの位置をCBCTを参考に予想し、OsteotomyしRoot resectionした。
逆根管形成し逆根管充填した。
術後にPA, CBCTを撮影した。


M

D

縫合して終了した。
次回は1年後である。
またその模様をお伝えしたい。


