紹介患者さんの治療。
主訴は、
右上のブリッジ治療をしている時から歯茎が腫れて、歯に穴が空いていると言われたがせっかく入れたばかりのセラミックのブリッジを外したくない。
である。
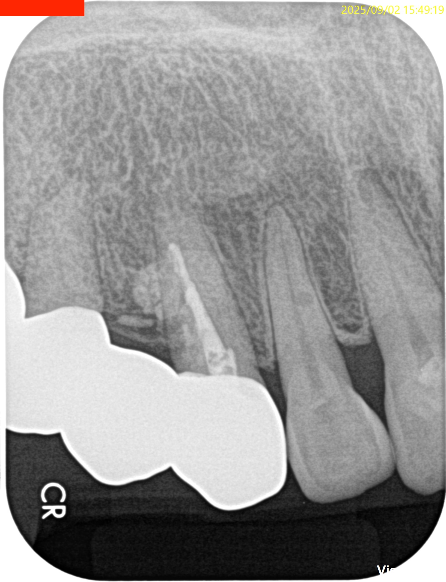
Pre-op Endo test(2025.8.8)






歯牙の表面に外部吸収がある。
学術的には歯髄には及ばないと言われているが画像的には到達済みだろう。
というよりは、根管治療中に出血が起きる可能性が高いだろう。
となれば、根管治療ができない。
その時点で外部吸収のRepairをして根管治療をしなければならない。
が、それが可能だろうか?
不可能であればApicoectomyになる。
どちらも成功率は90%以上の治療なのだから。
また根管治療する際は、

RIL(Radiographic Instrumentation Length)は23mm程度であるが、
クラウンの切端に穴を開けて根管治療をしなければならず、これは現実的には無理だろう。
なぜならば、患者さんはこのブリッジを外す・壊すことに抵抗感が強いからだ。
となれば、根管治療をせずにApicoectomyに移行する可能性はあるだろう。
以上を全て治療の前に患者さんに告げて治療は開始されなければならない。
それが、人の生き死には関わらない医療を提供している我々の最低の術前インフォームドコンセントだろうであるからだ。
Pulp Dx: Chronic apical abscess
Periapical Dx: Symptomatic apical periodontitis
Recommended Tx: Invasive cervical root resorption repair, RCT/Apicoectomy
☆この後、治療動画が出てきます。不快感を感じる方は視聴をSkipしてください。
#6 Invasive cervical root resorption repair, RCT/Apicoectomy(2025.9.2)
Flapを開けてまず外部吸収部位を特定した。
外部吸収部位を90% TCAで科学的に処理した後に
EndoSequence BC Liner
で根管を水酸化カルシウムでカバーして充填し形態修正と研磨をした。
縫合後に、根管治療を試みるが…




とんでもない方向に穿孔していた。
ということでこの時点で非外科的な歯内療法の選択肢が消滅した。
ということで縫合して治療計画を変えることを説明する。
1週間後の抜糸時には以下のようであった。
#6 Apicoectomyの際は、

このように行う必要がある。
ということで、別日に#6 Apicoectomyを行った。
#6 Apicoectomy(2025.10.16)
まず穿孔部を明示する。
外部吸収を封鎖したBC Linerは脱離していない。
その後、Apicoectomyへ移行する。
根を切断後にメチレンブルーで染色し根管を確認した。
この後にRetroprepを行う。
この後に穿孔部も形成した。

この後に両方を充填する。

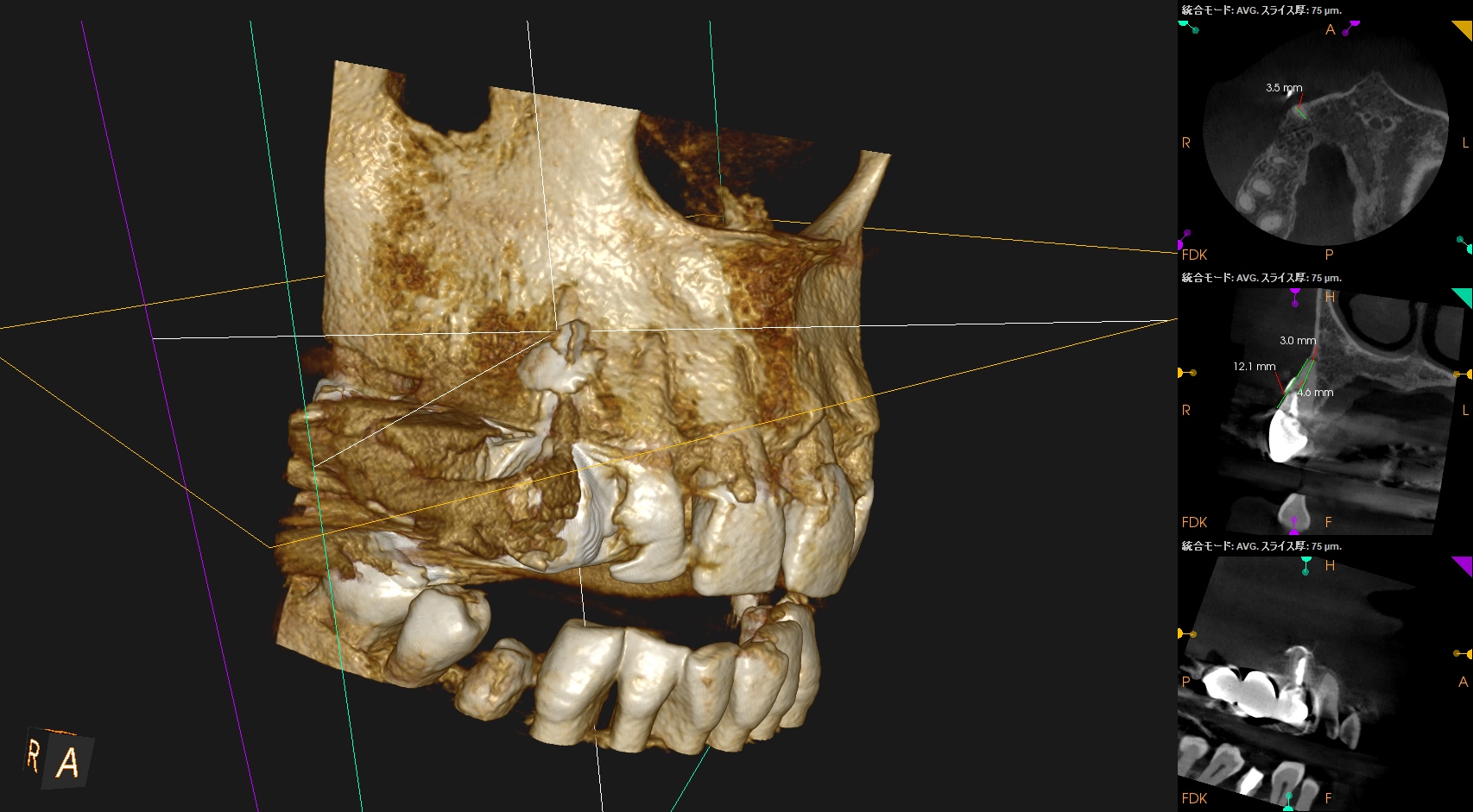
PA, CBCTを撮影した。



しょっぱい逆根管形成になったが主根管は確保されたので縫合して終了した。
ここから時間が4ヶ月経過した。
#6 Invasive Cervical Root Resorption Repair, Apicoectomy 4M recall(2026.2.13)






根切した部分にはだいぶ骨が添加されているし、外部吸収も進展していないようだ。
ということでこの処置にはこれからも定期的な経過観察が必要である。
さて本ケースで私が世間に伝えたかったことは、
クラウンが装着された歯牙の根管治療は極めて難しい
という臨床的事実である。
専門医でも手間取る治療をどうして一般医が難なくこなせるだろうか?
そこで回数が取られれば患者に不信感を与えるだろう。
そういう時はいつでも紹介をお待ちしています。
ということで、また1年後の経過をの模様をいずれお伝えしたい。
