紹介患者さんの治療。
主訴は、
前歯に穴が空いていると言われ抜歯する必要があると言われたた…なんとか残せないだろうか?
である。
Pre-op Endo Test(2026.1.28)








#9の頬側に大きな穴がある。が、根尖病変はない。
患者さん曰く、かつて脱落した歯を戻した(再植した)という。
根完成永久歯の再植後に、歯髄のRevascularizationは起きないことから本来は根管治療が必要だが、それがなされていないことからこの病態が発生したのかもあしれない。
さておき治療方法はといえば、
根管治療して、支台築造して、外部吸収のRepairだが、
根管治療すると外部吸収部位が薄皮一枚で交通しているのがネック
だ。
ということは、
とりあえず根管治療をしてみて途中、出血しRoot ZXがピーピー鳴れば、外部吸収のRepairを行うという治療になる可能性がある治療になる
ということがわかる。
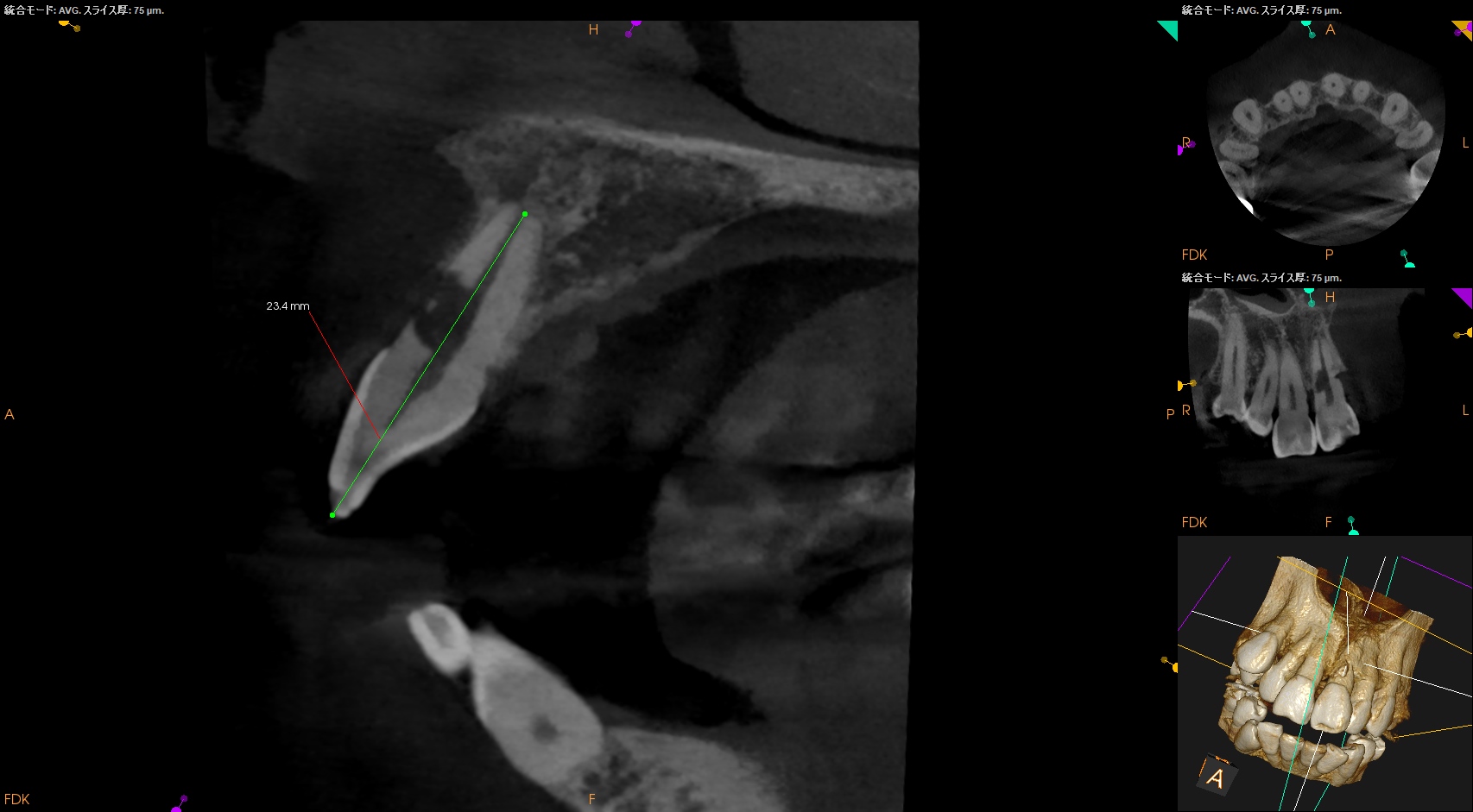
また、CBCTによればそのRIL(Radiographic Instrumentation Length)は23.4mmであるということがわかる。
そこから1mm引いた22.4mm程度が作業長だろう。

このことからもCBCTがなくては治療計画も立てられないということわかるだろう。
さて、話を元に戻そう。
以上を整理すれば、
まず術前には緑のキシロカインは必須だ。
が、止血しても
外部吸収のRepairを行うときに根管までも封鎖してしまう可能性があるのでそこをどう処理するか?が重要だが、このCBCTの絵からはラバーダム防湿しての根管治療はほぼ無理である。
ということはそういう局面になった場合、唾液が極力入らないような環境で処置しなければらないということわかる。
それはこの業界の人間としてあまり気分のいいものではない。
が、非外科的歯内療法が失敗してもApicoectomyを行えばそのカバーもできるのでそれほど気に病むこともない
ということもわかる。
そう。
歯内療法はどれほど非外科的な処置に精通しようとも最終的には外科治療ができなければ自分のケツが拭けない治療なのである。
それに悩むあなた、
Advanced Course 2026

でお待ちしています。
ということで、同日に治療へ移行した。
☆この後、外科動画が出てきます。不快感を感じる方は視聴をSkipしてください。
#9 External Root Resorption Repair, RCT(2026.2.25)
チャンバーオープンし、CBCTから測定した作業長までK Fileを入れてPAを撮影した。
すると…

問題はない位置でFileがストップしている。
CBCTは作業長を求める医療行為にも問題なく使用できるようだ。
この後、#40.04まで根管形成する。
が、穿孔してしまい根管から出血してしまい根管治療が不可能になってしまったのでここから外科治療へ移行した。
外部吸収の封鎖である。
吸収細胞を機械的に除去した。
ここで外部吸収部位をBC Linerで充填し切ってしまうと根管治療ができなくなる。
そこで私はラバーダムをかけてまず根管治療へ移行するという意思決定をした。
Point試適してPAを撮影した。

問題はないだろう。
ということであとは根充だがここで私は道を選ばなければならない。
ラバーダム下で根管充填するか?外部吸収を封鎖する前にラバーダムをかけずに根管充填するか?
である。
ここで根管充填を行うと外部吸収の封鎖がやりづらくなる可能性が高いので、私はラバーダムを外してまず根管充填を行い、その後に外部吸収をBC Linerで封鎖するという選択肢を取ることにした。
ラバーダムしてないじゃないか!という指摘はわかる。
が、
であればどのように行えばいいだろうか?
どなたかヒントがある方は私に教えてください。
外部吸収を封鎖する前にBC sealerを使用してGutta Percha Pointを根管に入れて根管充填し、BC Linerで封鎖した。
研磨し、縫合した。
この1週間後に抜糸であった。
#9 Suture removal(2026.3.4)
ということでこの治療の経過は注意深く観察する必要があるのでこの半年後の予後をまたご報告したい。