紹介患者さんの治療。
主訴は、
2ヶ月前に左下の奥歯が痛くなり顔の左側半分まで痛い時があった。その影響ではないだろうか…
である。
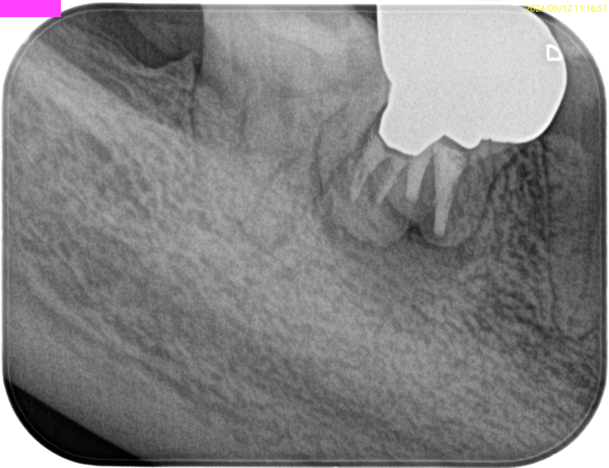
Pre-op Endo test(2024.9.12)

頬側と舌側の2箇所にSinus tractがあった。
この時点で外科が決定的だ。
PA(2024.9.12)

CBCT(2024.9.12)
MB
ML
D

治療はApicoectomyだ。
しかもM,Dともにである。
その際は、

上記のように行っていく。
Pre-op Endo Diagnosis(2024.9.12)
Pulp Dx: Previously treated
Periapical dx: Chronic apical abscess
Recommended tx: Apicoectomy
別日に治療が行われた。
☆この後、外科動画が出てきます。不快感を感じる方は視聴をSkipしてください。
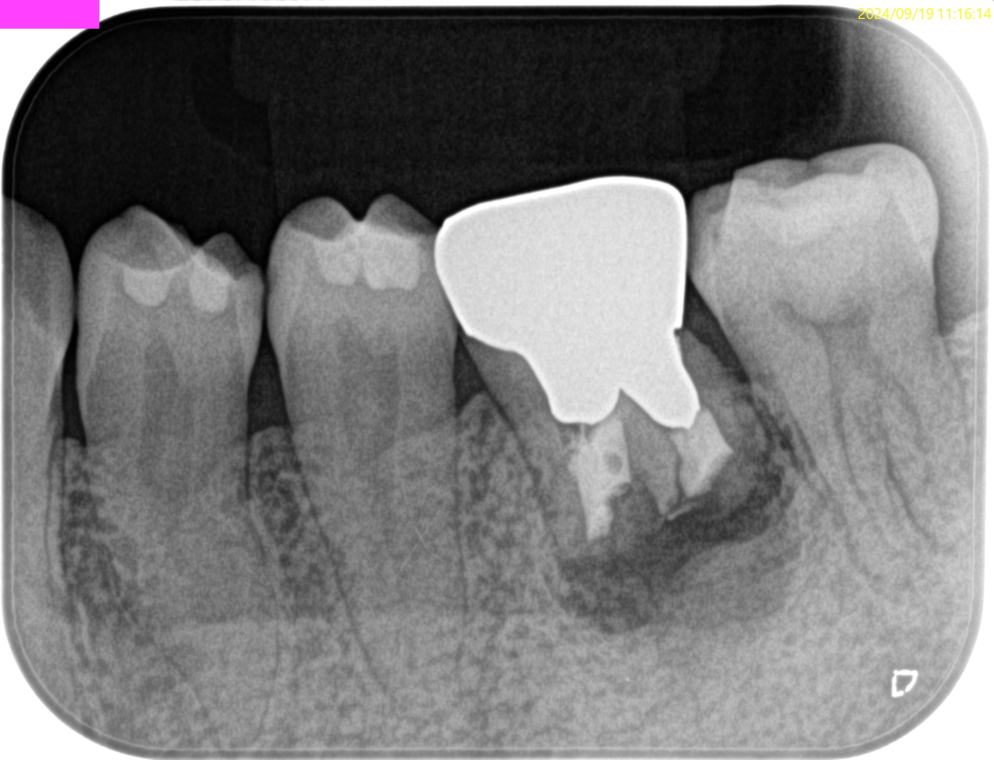
#19 M,D Apicoectomy(2024.9.19)
MのApexはその位置がはっきりと見える。
Apexから3mmを6.7mmの頬舌的な幅で切断し、逆根管形成した。
逆根管充填した。
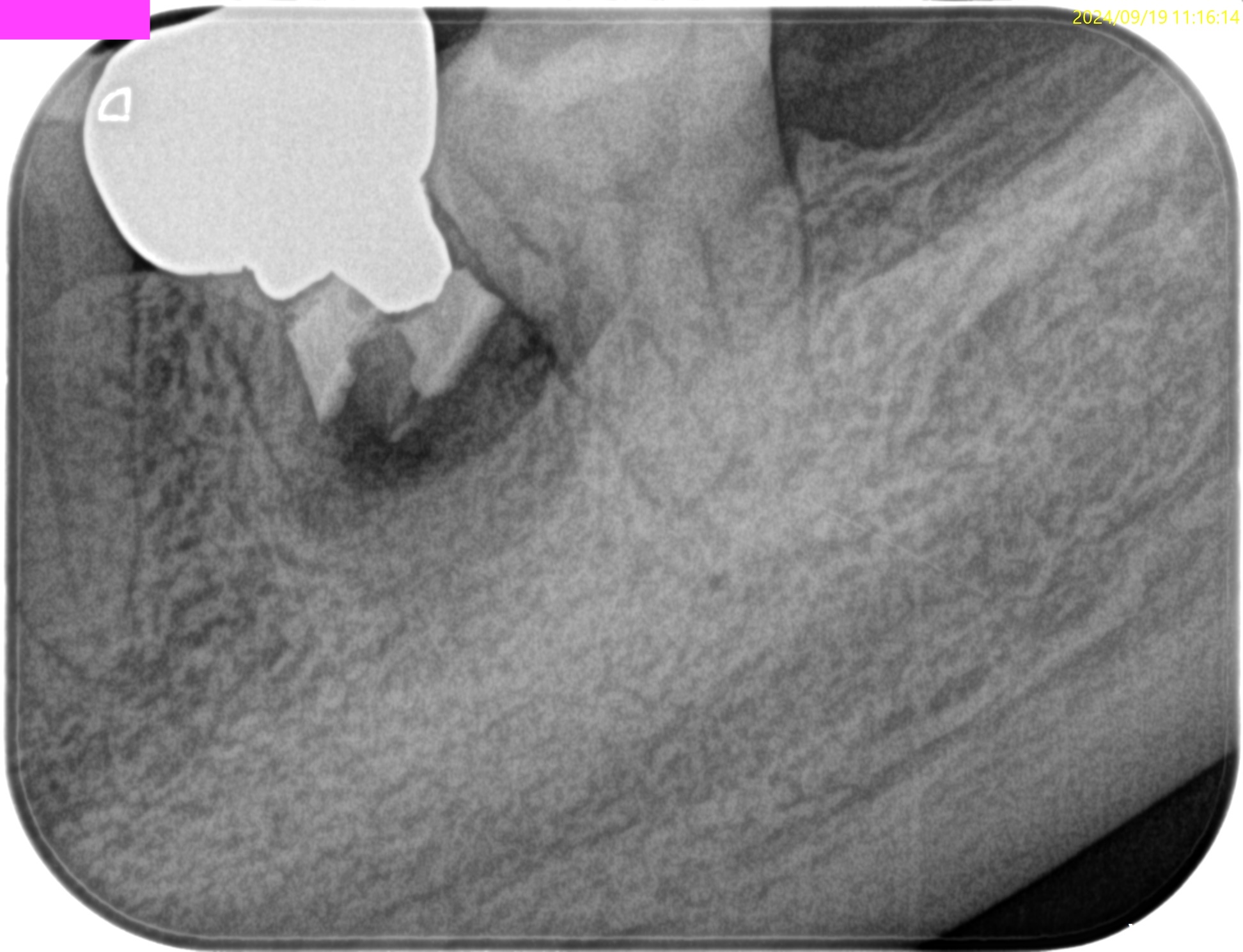
次がDだ。
ここはOsteotomyが必要である。
DのApexを見つけて根切し、逆根管形成、逆根管充填した。
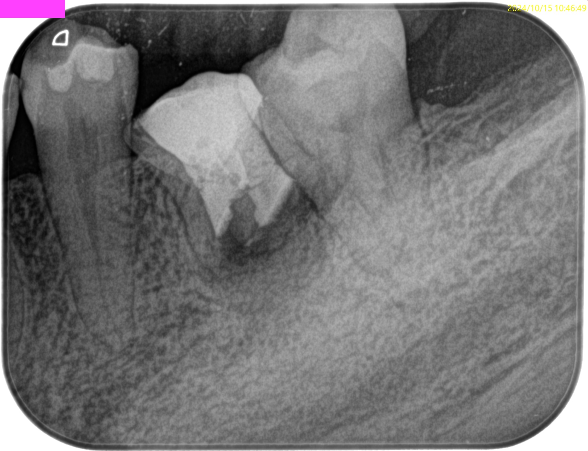
術後にPA, CBCTを撮影した。


M

D

問題はないだろう。
最後に縫合して終了した。
この1ヶ月後に、支台築造のみを行ったが、

Sinus tractはすでに消失していた。
以下のようにPA,CBCTはなった。


M

D

ここから1年が経過した。
#19 M,D Apicoectomy 1yr recall(2025.11.25)

Sinus tractは

B,Lともに消失した。


M

D

術前・術直後と比較した。

90%がた治癒していると言えるだろう。
かかりつけ医の先生には最終補綴を依頼した。
Mがhealing(治癒途中)というところなのでその次の年も経過観察を患者さんには依頼させていただいた。
また1年後にその模様をお伝えしたい。



